
导读:在口腔修复学中,最常见的问题之一是如何管理年轻患者的广泛I类修复。我可以保存组织吗?在清洁过程中我能做到微创?我能从解剖学上恢复牙齿吗?这些都是需要重点考虑的问题。
当牙齿解剖结构保存完好,但裂隙非常深和色素沉着时,一些专业人士使用大直径的车针来积极去除结构,而另一些专业人士选择小车针来尽量减少创伤。
然而,一种微创的腐烂组织去除方法往往会阻止适当的咬合塑形,从而难以维持尖牙的自然形态。如果需要打开一个较大的窝洞,有两种选择:
1、了解牙齿的解剖结构,并对其进行塑形。
2、复制解剖,再现,恢复牙齿的原始形态。

图 1:在这个病例中,这位年轻患者的 36 号和 37 号牙齿上有很深且变色的窝沟。很明显,去除龋坏组织是必不可少的。

图 2:在口腔修复学中,应始终使用橡皮障,尤其是在窝洞清理阶段。

图 3:为了确保修复准确,我选择复制牙齿最初的解剖结构,以重现患者牙齿原本的咬合形态。我在咬合面涂上了液体橡皮障,确保它覆盖了窝洞清理阶段涉及的整个区域。

图 4:在这个病例中,在聚合之前,我决定将 Gengiva 器械尖端的形状印在树脂上。选择形状独特的尖端便于日后正确复位。

图 5:窝洞制备完成后,我们确保彻底清除了感染的牙本质。用龋齿指示剂检查颜色较深的牙本质,以确认龋坏已被彻底清除。

图 6:清理完窝洞后,我先进行了选择性釉质酸蚀,然后使用 iBOND 通用型粘接剂进行粘接操作。

图 7:为了方便操作,我从最靠后的牙齿 37 号牙开始。在窝洞底部涂抹 Venus Bulk Flow ONE 以修整洞缘后,我进行了最后的复合树脂层填充。在这个病例中,我在咬合面的最后 2 毫米处使用了 Venus Pure Pearl MEDIUM 复合树脂,这样可以用印模准确塑形。
在这一步骤中,涂抹适量的复合树脂至关重要。复合树脂用量过多可能会导致在印模后材料溢出过多,使咬合调整更加困难;而复合树脂用量过少则可能导致印模无法准确转移牙沟和牙尖的细节。

图 8:在牙齿上放置少量聚四氟乙烯(TEFLON),然后重新放置印模。我通常喜欢之后小心地去除聚四氟乙烯,以便更好地处理牙齿的解剖结构,并去除边缘嵴上多余的复合树脂。在牙齿的解剖结构得到适当修整后,我进行了聚合操作。

图 9:带有树脂印模的 Gengiva 器械。

图 10:完成 37 号牙的修复后,我对 36 号牙采用了相同的技术和材料。这张图片展示了应超出聚四氟乙烯(36 号牙远中侧)挤出的适量复合树脂。在去除聚四氟乙烯之前,要先去除这些多余的材料。
去除聚四氟乙烯后,再去除额外的多余材料,并在光固化之前对复合树脂进行最终塑形。

图 11:为了进一步修整,我选择使用尖端精细的器械来突出牙沟。对于 36 号牙,我使用了 LM Arte 公司的 Fissura 器械。
Gengiva 工具非常适合这项操作,因为它握持感好,并且可以控制施加的压力,以确保准确地转移印模。

图 12:完成两颗 Ⅰ 类洞的修复后,我接着处理 36 号牙近中的 Ⅱ 类洞修复。为了简化操作过程,我将该步骤分为两个独立的步骤。
对于这次修复,我使用了 Quickmat 成型片和 Polydentia 成型圈。复合树脂仍然使用的是 Kulzer 公司的 Venus Pure Pearl MEDIUM。

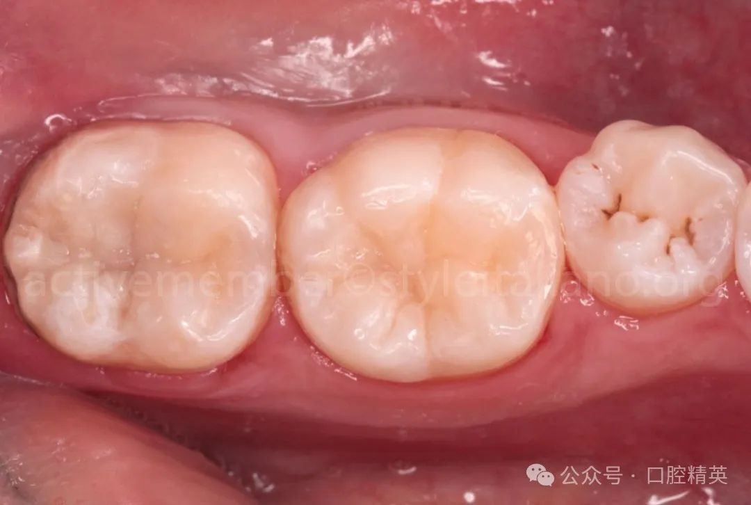
图 13:最终的修复效果显示,复合树脂在颜色和解剖结构方面都实现了出色的融合。

图 14:一周后,复合树脂与周围的牙体组织仍然结合良好,保持了牙齿原本的解剖形态。
小结
在口腔修复中,特别是在年轻患者中,临床医生必须对牙体解剖结构有很强的了解,并努力尽可能地保存。
当技术允许精确复制牙齿的原始形态时,应尽可能采用这些技术。当预先存在的解剖结构保存完好时,印模技术尤为有效。
临床医生也应选择具有良好成型性和尺寸稳定性的材料。在这种情况下,所使用的复合材料被证明是一种理想的选择。它的中色调与后牙完美融合,其可塑性使得能够准确地进行印模操作,并对窝沟和牙尖进行细致的塑形。
-END-
声明:本文转载自<口腔精英>,仅用于学习交流,如有侵权,请立即联系我们处理。内容仅代表作者个人观点,望大家理性判断及应用。









