锁骨骨折是成人最常见的骨折之一,占全身所有骨折的2.6%-4%,可见于交通事故、高处坠落、正常跌倒等各种外力引起的肩部损伤。目前主流观点认为,锁骨骨折的保守治疗更可能与骨不连、畸形愈合和肩关节功能不佳有关。保守治疗的锁骨骨折不愈合率可达15%。因此,对于明显移位或粉碎的锁骨骨折,通常建议使用髓内针或钢板进行内固定。随着锁骨骨折手术数量的增加,有报道称拆除内固定后发生锁骨骨折。相关研究报道,锁骨骨折愈合和内固定移除后折骨折的发生率在1%-5%之间。
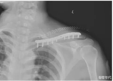
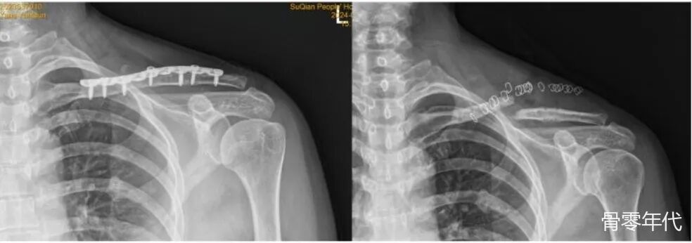
患者,女,47岁,她因骑自行车时摔倒导致左锁骨中段骨折,被归类为AO/OTA13B型,接受了“切开复位和锁板内固定”,术后17个月,患者来到我院要求拆除内固定。术前X线片显示骨折完全愈合,因此进行了锁骨内固定的移除。手术顺利,手术过程中未发现明显异常。术后第5天,患者主诉锁骨区域明显疼痛,没有任何外力,复查X线片显示锁骨骨折,在螺钉固定所在的位置。患者家属依从性强,与患者及家属深入沟通后,同意再次接受手术。手术中,清洗骨折末端后,再次进行锁板内固定,并进行自体髂骨移植。
术前X线检查提示左锁骨中段骨折,移位明显。术后X线:显示内固定到位,骨折对位良好。术后4个月X线片:骨折线仍清晰可见,提示骨折愈合延迟。术后11个月X光片:骨折线仍然清晰可见,这可能表明骨折尚未完全愈合或愈合过程停滞。术后17个月X光片:未见明显骨折线,通常表示骨折已愈合。拆除内固定后:骨折端移位,这意味着发生了骨折。切开复位和骨移植内固定后的X射线。
骨折愈合和拆除内固定后再骨折是一种罕见的并发症,偶尔见于锁骨、前臂和股骨等长骨。骨折发生一般无明显剧烈因素,以损伤部位突然剧烈疼痛为特征,通常需要再次手术进行内固定和骨折末端植骨,往往效果良好。此前有研究报道,锁骨中段骨折拆除内固定后,折骨折位多在原骨折部位,一小部分发生在用于固定骨碎片的螺钉孔处。在这项研究中,折射的位置在皮质螺钉孔处。至于钢板移除和再骨折的间隔时间,不同研究报道的间隔时间各不相同,Tsai等报告平均为23.9 d,Zhu等报告了25.6 d。本报告中的患者与上述研究不同,因为骨折发生在住院期间,间隔时间仅为5天。锁骨中段骨折拆除内固定后折骨折的相关因素包括:1.骨折的粉碎程度、复位质量、分类。在ZHU等的研究中,2B2型患者的骨折率是2A型的7.9倍,复位不良患者的折断率是复位良好的患者的15.8倍,性别和BMI,BMI低的女性发病率较高。
参考文献
Jin, Yin,Guanghui, Yang,Refracture after plate removal of midshaft clavicle fracture after bone union during the hospital stay: A case report.[J] .Trauma Case Rep, 2025, 59: 101100.
-END-
声明:本文转载自<骨零年代>,版权归原作者所有,仅用于学习交流,如有侵权请联系删除