通过前外侧显露远端胫骨关节面,可以对大多数骨折类型进行充分的可视化。这种显露方式适用于某些 C 型 pilon 骨折、前侧和前外侧 B 型 pilon 骨折,以及一些关节外远端胫骨骨折。前外侧显露不适用于伴有内侧粉碎、内侧挤压、关节内侧肩部压缩、内踝节段性损伤或损伤时存在内翻畸形的骨折。该显露方式的优点是能够良好地直视关节面直至胫骨穹顶的内侧肩部,同时避免了胫骨前内侧面的剥离。
如果存在腓骨骨折且在外固定架应用时未进行手术修复,通常在胫骨手术固定之前处理腓骨。通过准确复位腓骨,恢复长度、对线和旋转,可以通过韧带牵张作用以及恢复远端下肢外侧柱来改善胫骨复位。为了最大化前外侧切口与腓骨切口之间的皮桥宽度,使用后外侧手术显露来修复腓骨。腓骨可以使用多种技术修复,包括后外侧接骨板、外侧接骨板或髓内固定,具体取决于骨折类型和术者习惯。
一旦处理了腓骨骨折,如前所述,前外侧切口以踝关节为中心,远端平行于第四跖骨,近端位于胫骨和腓骨之间(图 1)。切口近端延伸超过踝关节 7 厘米以上会破坏前间室肌肉的起点。远端,切口终止于距舟关节稍远侧。需要切口的远端范围来直视穹顶后部和应用通用撑开器。
图 1. (A) 示意图和 (B) 临床照片,显示扩大前外侧显露的切口,以踝关节为中心,远端平行于第四跖骨,近端位于胫骨和腓骨之间。
在解剖皮下组织时应保持全厚皮瓣。腓浅神经很可能在踝关节近端跨越手术区域,应在整个显露过程中识别、游离并加以保护(图 2)。锐性切开远端胫骨前间室和伸肌间室的筋膜,将前间室肌腱全部向内侧牵开。这些肌肉和肌腱通常很容易从下方的胫腓前韧带、远端胫骨骨膜和关节囊上分离出来。
图 2. 前外侧显露中的浅层解剖,显示腓浅神经横跨手术区域。
可以在或接近前外侧骨折线处进行关节切开术,以避免破坏远端胫骨的血供(图 3)。应注意不要切开胫腓前韧带。通过向远端延伸关节切开术至距骨颈,并将关节囊从胫骨远端前部抬起,可以实现对关节骨块的直视。
图 3. (A) 示意图和 (B) 临床照片,显示前外侧入路的深层显露,腓浅神经及前间室肌肉肌腱向内侧牵开,显露胫骨远端关节面。
关节面的可视化和重建可以通过应用基于外侧的通用撑开器进一步得到增强(图 4)。将一根 4 毫米施氏针置于距骨颈。第二根 4 毫米施氏针经前间室上方一个单独的小切口,从外侧置入胫骨近端,预计的接骨板位置近端。这个近端施氏针的置入可能使前神经血管束和/或腓浅神经处于风险之中。通过将螺纹杆置于后外侧,通用撑开器本身不会妨碍复位或成像,并且力矢量将使距骨撑开和跖屈,从而最大化从前到后的关节可视化。
图 4. (A) 示意图详细说明了将通用撑开器应用于胫骨远端外侧,胫骨近端置入施氏针,距骨颈置入施氏针。(B) 如侧位 X 光片所示,允许对关节面进行可视化。
复位技术
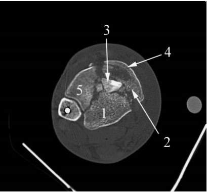
在充分显露关节面直至胫骨远端内侧肩部后,骨折块的复位通常按照从后外侧 > 后内侧 > 中央 > 前侧 > 前外侧的顺序进行(图 5)。通过清除血肿、碎屑和早期骨痂可以进一步改善关节面的可视化。在此过程中应注意不要移除任何关节骨块。通过将前外侧骨块以其韧带附着点为轴向外旋转,可以直接到达关节骨块和干骺端。如果存在一个与后外侧关节骨块相连的较大的后侧皮质棘突,可以将此骨块复位到完整的胫骨上,并用经皮斜行从前侧胫骨置入后外侧骨块的克氏针固定。假设可以获得并维持足够的后侧复位,则关节面可以基于此后外侧骨块进行重建。然而,如果无法实现后侧复位或复位不准确,将导致关节复位不良。在这些情况下,应首先重建关节面,然后非常小心地将其固定到剩余的胫骨上,以维持矢状面对线。
图 5. 轴向计算机断层扫描图像,数字表示通过前外侧显露进行关节骨块复位的顺序:(1) 后外侧;(2) 后内侧;(3) 中央;(4) 前侧;和 (5) 前外侧。
有多种技术可用于控制和复位后外侧关节骨块,包括使用从前向后直接置入前侧松质表面的操控杆,或使用置于腓骨后方并卡在胫骨后外侧的大型尖端复位钳(图 6)。或者,可以将尖端复位钳的一个尖或一个肩钩小心地穿过下胫腓联合,以勾住后外侧骨块的近端延伸部分。最准确的复位可能是通过一个单独的后侧入路到达后侧骨块。然而,这可能需要在患者俯卧位进行单独的手术。无论如何,后外侧骨块的复位决定了剩余关节骨块以及整个关节的冠状面和矢状面复位。因此,准确恢复此骨块至关重要。常见的需要进一步复位的后外侧骨块持续性旋转异常是背屈。
图 6. 通过一个小的后外侧切口 (A) 放置大型尖端复位钳,以促进后外侧关节骨块与完整胫骨 (B) 的复位。
在后外侧骨块复位后,内侧骨块可以用多根克氏针复位和稳定。此骨块的复位参照通常是分离内侧骨块与后外侧骨块的矢状面关节骨折线。经皮置入内侧骨块的克氏针可以帮助进行这个困难的复位。
在后外侧和内侧穹顶复位并稳定后,可以使用牙科刮匙或克氏针撬拨来处理中央压缩骨块和骨软骨碎片。正是这些中央压缩的骨折类型通常会在干骺端留下空隙,需要植骨或骨移植替代物提供结构性支撑。我们的偏好是在获得准确复位并稳定后,将压碎的松质同种异体骨填充到空隙中。一旦用克氏针复位和稳定,中央关节面可以用策略性放置的克氏针或确定性的微型接骨板螺钉(1.5、2.0 或 2.4 毫米)进行复位和固定。如果未使用微型接骨板螺钉,中央骨软骨碎片中的前后向克氏针应更换为内侧到外侧或外侧到内侧的克氏针,以便随后复位前侧关节骨块。
最后,将前外侧骨块内旋并复位到剩余的远端胫骨上。在此前外侧骨块复位后,可以确认整个穹顶复位,因为它应该与内侧骨块的关节外皮质参照以及所有关节面对线参照精确匹配。应复位胫骨远端前侧皮质骨块,以确保胫骨前侧长度的准确整体重建。然后可以通过直视和透视确认整体复位。
在初次手术中评估关节骨块的矢状面对线以及整个关节骨块与胫骨远端干骺端的关系很困难。
手术稳定
内植物的选择和位置应基于符合基本骨折固定原则的术前计划。通常,原始损伤 X 光片以及临时外固定后进行的计算机断层扫描最具价值。所用内植物的类型取决于多种因素,包括皮质连续性程度、骨质量、胫骨远端初始失效方向、软组织缺损以及远端关节骨块的大小。内植物选项范围从非锁定到可变角度锁定再到固定角度锁定接骨板。此外,还有许多预塑形的胫骨远端关节周围内植物可供使用,或者术者可以对标准内植物进行塑形。
可以通过前外侧显露实现从关节骨块前部延伸至胫骨近端外侧的骨膜下接骨板放置。在置入接骨板之前通常需要移除通用撑开器。可以用一个小剥离子或接骨板的前缘来创建一个放置接骨板的平面。通常,维持关节复位的多根克氏针或微型接骨板螺钉可能使螺钉放置具有挑战性。需要在远端骨块获得多个固定点,螺钉的位置取决于关节骨块的数量和位置(图 7)。应首先固定接骨板远端,以确保其贴合穹顶,并且螺钉处理关节部分。一旦接骨板远端固定,即可进行近端固定。在远端螺钉固定时,接骨板的平衡至关重要。此外,在严重关节粉碎或无法放置小或微型接骨板固定来支撑关节面的情况下,可以保留克氏针来维持复位。重要的是将克氏针弯曲在所应用的接骨板下方固定,以防止其移位。
图 7. 示意图 (A)、前后位 (B) 和侧位 (C) 影像显示通过前外侧显露应用前外侧接骨板,并采用经皮近端螺钉固定。
根据原始胫骨损伤时的畸形、粉碎程度和稳定性评估,可以额外放置一个皮下前内侧接骨板。该接骨板通过内踝尖近端一个 2 厘米的切口插入。前内侧内植物可以起到两个作用:作为防滑移内植物以防止继发性内翻畸形,或作为内侧张力带内植物以防止继发性外翻畸形(图 8)。所用内侧内植物的类型(例如,三分之一管形接骨板、小接骨板、预塑形、固定角度)取决于预期功能。然而,根据我们的经验,在考虑维持复位与减少内植物突出之间的平衡时,具有一定柔韧性的内植物最为有用。通过使用半柔韧内植物,我们能够在初次应用时过度塑形接骨板,然后在干骺端扩大的近端放置一颗螺钉,使柔韧的接骨板自动塑形贴合胫骨内侧。这最适用于没有明显内侧挤压的骨折模式,无论是接骨板应用还是前外侧显露。接骨板应用策略包括使用更长的接骨板以增加抗扭转刚度,将主要螺钉置于内侧骨折出口点近端,以及使用经皮技术置入近端螺钉。内侧软组织条件不佳可能妨碍内侧接骨板放置,在这种情况下,可以通过内踝将螺钉置入近端骨块。一旦 pilon 骨折得到手术稳定和修复,并在软组织闭合之前,需评估下胫腓联合以确定是否存在损伤。评估包括使用影像增强器和应力外旋试验或 Cotton 试验。
修复伸肌支持带对于防止肌腱弓弦样粘连至关重要。这通常可以用 3-0 单丝缝线连续缝合来完成。皮肤使用 3-0 尼龙缝线,采用 Donati 法的 Allgöwer 改良方式间断缝合。早期抬高患肢对于减少皮肤缝合的张力很重要。鼓励早期踝关节活动范围锻炼。限制负重 12 周。
-END-
声明:本文转载自<骨创伤笔记>,版权归原作者所有,仅用于学习交流,如有侵权请联系删除。









