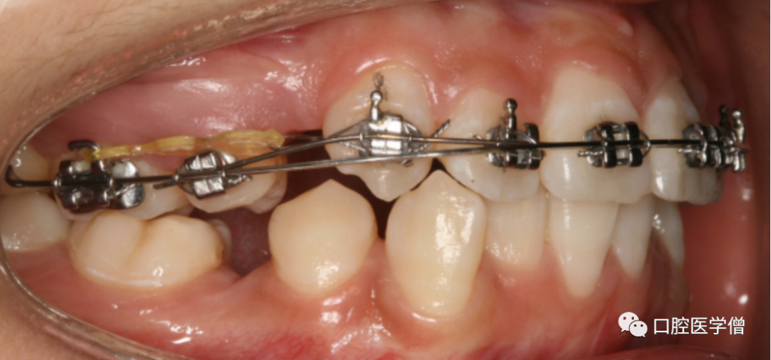
尖牙向后结扎是传统直丝弓矫正器在排齐阶段建议使用的方法之一,其初衷是为了防止排齐时尖牙近中移动,因为很多错合畸形患者的尖牙都比较直立,没有正常冠近中倾斜度,而直丝弓托槽槽沟含有恢复尖牙倾斜度的角度,在排齐阶段弓丝对尖牙有冠近中移动、根远中移动的力,又因为冠的移动比根的移动容易实现,如果没有任何控制,就表现为尖牙冠的近中移动,导致前牙唇倾,突度增大,覆合加深等不良后果。
尖牙后结扎限制了尖牙冠的近中移动,只能通过根远中移动(控根移动)实现尖牙轴倾度的矫正,临床上还可能有尖牙远中移动的现象,对前牙的内收似乎是有利的。然而,如果尖牙出现远中移动,就更难以表达托槽槽沟所设计的正常牙冠近中倾斜度了。
尖牙远中结扎的力(使尖牙远移)和弓丝的力(使牙冠近中、牙根远中移动)在排齐阶段对尖牙是作用相反的力,随着弓丝加粗,力量增大,轴倾度得到逐步表达时,尖牙冠受到近中移动的力,通过尖牙后结扎的传递,就对后牙产生近中移动的趋势,有后牙支抗丢失的可能,这时最好要有加强后牙支抗的措施。
临床上常看到二类错合患者矫正初期用尖牙后结扎使上颌尖牙远中移动,但到矫正中期尖牙无法持续远中移动,这时更要注意在尖牙轴倾度表达过程中可能导致的磨牙支抗丢失。也就是说尖牙后结扎也要根据病人具体情况,特别是对磨牙支抗的要求选择性实施。
声明:本文转载于<口腔医学僧>,仅用于学习交流,如有违规侵权,请立即联系我们。内容仅代表作者个人观点,望大家理性判断及应用。









