早期的镍钛器械也沿用了传统的逐步后退法的理念,总结起来,多采用冠部扩大结合根管中部至尖部的逐步后退法。最具代表的是:Lightspeed 和VDW的Mtwo。
冠向下法自问世以来,已被大多数的牙医所接受。现在主流的镍钛器械多采用冠向下法进行根管预备。
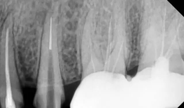
在临床治疗中,牙医难免会遇到镍钛根管锉折断的情况,今天就来学习下镍钛根管锉折断的原因分析与对策。
镍钛器械的分离大体上可以分为两种方式,即扭力折断( torsional fracture)和旋转疲劳( cyclic fatigue)折断。
扭力折断是指器械的尖端或任何一部分卡在根管的狭窄处,其柄部仍在旋转,超过镍钛合金的最大弹性形变限度而造成的器械折断。
这种折断多发生于小号器械和器械的尖端,因为小号器械多用于根尖弯曲部位的预备,易被卡住而发生折断。发生扭力折断的器械表面常有可见的变形,如解螺旋、螺纹不规则或反向紧致等。
疲劳折断系金属弯曲疲劳所致,器械在根管内虽未被卡住,但在弯曲部位反复旋转的过程中不断地被拉伸和压缩产生金属疲劳,从而在远小于器械本身弹性极限的情况下折断。此类型的器械折断常常在没有任何征兆的情况下发生,被认为是机用镍钛器械折断的一个重要因素。
1.根管弯曲角度和半径
器械在根管内的应力与根管的弯曲角度呈正相关,弯曲角度越大,应力越大,器械越容易发生疲劳折断。研究表明机用镍钛器械在预备弯曲度>30°的根管时,则有12.5%的折断率,且均发生在根管的根尖区。
弯曲半径代表根管弯曲的陡峭程度,半径越小,根管就越弯曲。当弯曲半径减小时,器械的应力和扭力增加,疲劳周期缩短,易发生折断。
2.器械的直径和锥度
根管扩大用小号锉,在根管预备过程中近尖端容易束缚在根管内,发生扭转折断。在弯曲形态根管中,大号的器械承受的应力大,更容易遭受弯曲疲劳,比小号器械的疲劳周期短。
当锉的横截面一样时,锥度越大,抗扭力折断能力强,但柔韧性差,抗旋转疲劳的能力差。
3.手机的转速
不同品牌的机用镍钛器械,厂家推荐的转速不一样。较高的转速会缩短器械的使用寿命,发生器械折断的几率要高。
有学者利用3种不同转速(150r/min、250r/min、350r/min)的ProTaper进行根管预备,结果表明,350r/min组要比前两组更容易发生器械折断。较低转速会降低器械的操作效率,但会减少器械折断的发生率,建议在厂家推荐的转速范围内选择较低转速,因为预防折断与提高效率相比,防折断更重要。
4.器械的设计和金属面处理
镍钛器械其淬火应变带很窄,即镍钛器械可在没有觉察到陈旧变形时就折断,而这种形变恰恰是警告临床医师的唯一指征。镍钛器械没有形变亦可以折断。
5.操作者的经验和器械使用方式
调查发现经验较少者发生较多的器械折断。另外,操作者使用不当,暴力操作、用力过大也是临床上发生器械折断的一个重要原因。因此应避免根尖向加力,采用被动式进入根管,尽量按说明书进行规范操作。
6.器械的使用次数
器械折断直接受使用次数的影响,使用次数越多越易产生疲劳,抗折能力就越差,因此记录器械的使用次数显得尤其必要。计数使用镍钛器械成为临床医师既节约成本又减低折断风险的重要方法。
机用镍钛器械安全使用次数及应用时间目前尚无定论。建议预备5~6颗牙即丢弃,也有学者用到10颗患牙,前牙使用次数会多一些,后牙少一些,但在预备重度弯曲或形态复杂根管时,建议一次性使用。
7.高压灭菌和冲洗液的影响
研究发现,高压灭菌大大增加了镍钛器械的抗疲劳性能,可以对镍钛器械起到保护作用。
-END-
声明:本文转载于<牙医帮>,,仅用于学习交流,如有违规侵权,请立即联系我们。内容仅代表作者个人观点,望大家理性判断及应用。









