具有独特的临床挑战性。C形根管常见于下颌第二磨牙,由于难以对根管进行彻底的清理、消毒和充填,再治疗的难度显著增加。
治疗失败的相关原因包括:遗漏根管、清创不彻底以及C形解剖结构的充填密封效果不佳。成功的再治疗需借助先进的诊断工具(如锥形束计算机断层扫描)、牙科手术显微镜提升术野可视性,并采用专用的根管探查与消毒技术。
图1
初始状态可见永久性修复体质量欠佳、充填不完善且欠填,伴根尖区透射影。
图2
彻底去除原有充填物并完成根管清理后,根管充填试尖的影像学表现如图所示。
图3
显微镜下可见C形根管的形态走行。
图4
充填后即刻显微镜下影像,可见C形根管的充填形态。
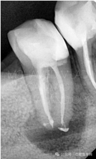
图5
根管充填完成,可见侧支根管显影。
图6
A. 术前影像
B. 术后1年随访影像
对于伴根尖区透射影的下颌第二磨牙C形根管再治疗,需通过锥形束计算机断层扫描明确诊断,并配合放大设备及超声器械开展操作。
采用次氯酸钠冲洗联合氢氧化钙封药的强效消毒方案,可提高根尖周组织的愈合概率。热塑牙胶充填或生物陶瓷封闭剂等充填技术,有助于实现根管的三维密闭充填。
即使是解剖结构高度复杂的C形根管病例,也可通过成功的再治疗保留患牙并恢复其功能,治疗后需对患者进行定期随访。
参考文献
1. Fan, B., Cheung, G. S., Fan, M., Gutmann, J. L., & Bian, Z. (2004). C-shaped canal system in mandibular second molars: Part I—Anatomical features. Journal of Endodontics, 30(12), 899-903.
2. Jin, G. C., Lee, S. J., & Roh, B. D. (2006). Anatomical study of C-shaped canals in mandibular second molars by analysis of computed tomography. Journal of Endodontics, 32(1), 10-13.
3. Mauger, M. J., Schindler, W. G., & Walker, W. A. (1998).An evaluation of canal morphology at different levels of root resection in mandibular first molars. Journal of Endodontics, 24(9), 607-609.
4. Zhang, R., Yang, H., Yu, X., Wang, H., Hu, T., & Dummer, P. M. (2011).Use of CBCT to identify the morphology of mandibular permanent molar teeth in a Chinese subpopulation. International Endodontic Journal, 44(2), 162-169.
5. Gutmann, J. L., & Gao, Y. (2012).Alteration in the inherent metallic and surface properties of nickel-titanium root canal instruments to enhance performance, durability, and safety: A focused review. International Endodontic Journal, 45(2), 113-128.
-END-
声明:本文转载于<口腔视频>,,仅用于学习交流,如有违规侵权,请立即联系我们。内容仅代表作者个人观点,望大家理性判断及应用。









