牙根纵裂(简称根裂)是指起始于牙根任何水平的不完全或完全性纵行折裂,不累及牙冠部,通常为颊舌向,好发于根管治疗后牙齿。对于早期根裂,包括不完全根裂以及折裂片尚未发生明显移位的根裂,诊断困难。一些典型的阳性体征提示有根裂的可能性,如存在窄而深的牙周袋、窦道位置近冠方、根尖片显示根周“L”或“J”形透射影。然而,其准确性和特异性较差,易发生误诊和漏诊。
具有较高分辨率并可以三维成像的锥形束CT(CBCT)的出现似乎为根裂的诊断提供了良好依据。但是,研究表明,高密度根充材料的伪影干扰以及CBCT分辨率的限制,影响了根裂的确诊。因此,对于根管治疗后牙齿,CBCT不是诊断根裂的一种可靠检测方法。对于早期根裂,需通过翻瓣探查或者微创拔出,显微镜下确诊。
对于贯穿牙根全长的根裂线,翻瓣或者微创拔出后,亚甲蓝溶液染色后显微镜高倍放大下探查,比较容易发现,诊断要点为:可着色、显微探针可探及、相应处牙槽骨破坏(图1、图2)。对于不完全根裂,如冠根向局限于根尖段、水平向仅位于唇颊侧或舌腭侧,诊断较为困难。因为根裂通常表现为通过根管并延伸至牙根表面的不规则折裂面,可以先行根尖切除染色探查根切断面和根面。当仍不能确诊而牙根有足够长度或者是多根牙时,可以继续行根尖切除至可疑根裂线完全消失。
图1 右下颌第一磨牙近中根根裂。A为口内像示右下颌第一磨牙颊侧根尖区窦道;B为根尖片,示近中根根管充填良好,根周透射影;C为CBCT失状位;D为CBCT冠状位;E为CBCT水平位,示近中根根尖以及根周骨质破坏、颊侧骨板缺损;F为右下颌第一磨牙行显微根尖外科手术,切开翻瓣牵拉,见近中根颊侧骨板缺损;G为染色探查,近中根见贯穿牙根全长的颊舌向根裂线
图2 左下颌第二磨牙根裂。A为术前根尖片,见根管充填良好,根周透射影;B为左下颌第二磨牙行显微意向再植术,微创拔出后见颊舌向贯穿牙根全长的根裂线;C为染色后确认根裂,手术终止
导致根旁牙槽骨破坏的可能病因有根裂、侧支根管、根折、根旁囊肿、牙骨质撕裂等。当根管侧支位于牙根中段时,感染破坏根周牙槽骨,可形成类似根裂的影像学特点,如图3所示,A为口内像颊侧面观,示左下颌第一磨牙近中近龈缘处牙龈窦道(箭头);B为根尖片示根管充填良好,近中根根尖以及根周大范围透射影,波及根分叉区;C为CBCT矢状位;D为CBCT冠状位;E为CBCT水平位,近中根根尖、根周以及根分叉区骨质破坏;F为左下颌第一牙行显微根尖外科手术,切开翻瓣牵拉 ;G为根尖周刮治和根尖切除;H为探查,近中根未见根裂线,近中面中段见根管侧支(箭头);I为主根管和根管侧支逆行预备和充填;J为术后根尖片,可见根管侧支(箭头);K为术后2个月随访根尖片;L为术后4个月随访根尖片;M为术后7个月随访根尖片;N为术后24个月随访根尖片,根周和根尖周完全愈合。
根管侧支的直径通常小于100 mm,因此术前影像学诊断比较困难。当侧支比较粗大时,有可能在CBCT上清晰呈现,如图4所示,A为口内像颊侧面观,示左上颌中切牙根尖周窦道;B为根尖片,示根管充填良好,根尖周透射影;C为CBCT状位;D为CBCT冠状位,示根管侧支(箭头示);E为CBCT水平位,示根管侧支(箭头示);F为根尖周刮治后染色探查,见根管侧支2处(箭头示);G为根尖切除后染色探查见根管侧支3处(箭头示,左上角2处箭头为显微口镜镜像拍摄);H为根管和侧支逆行预备(近中近根尖段2处侧支融合);I为根管和侧支逆行充填(箭头示);J为术后根尖片;K为术后26个月随访根尖片,示根尖周完全愈合。
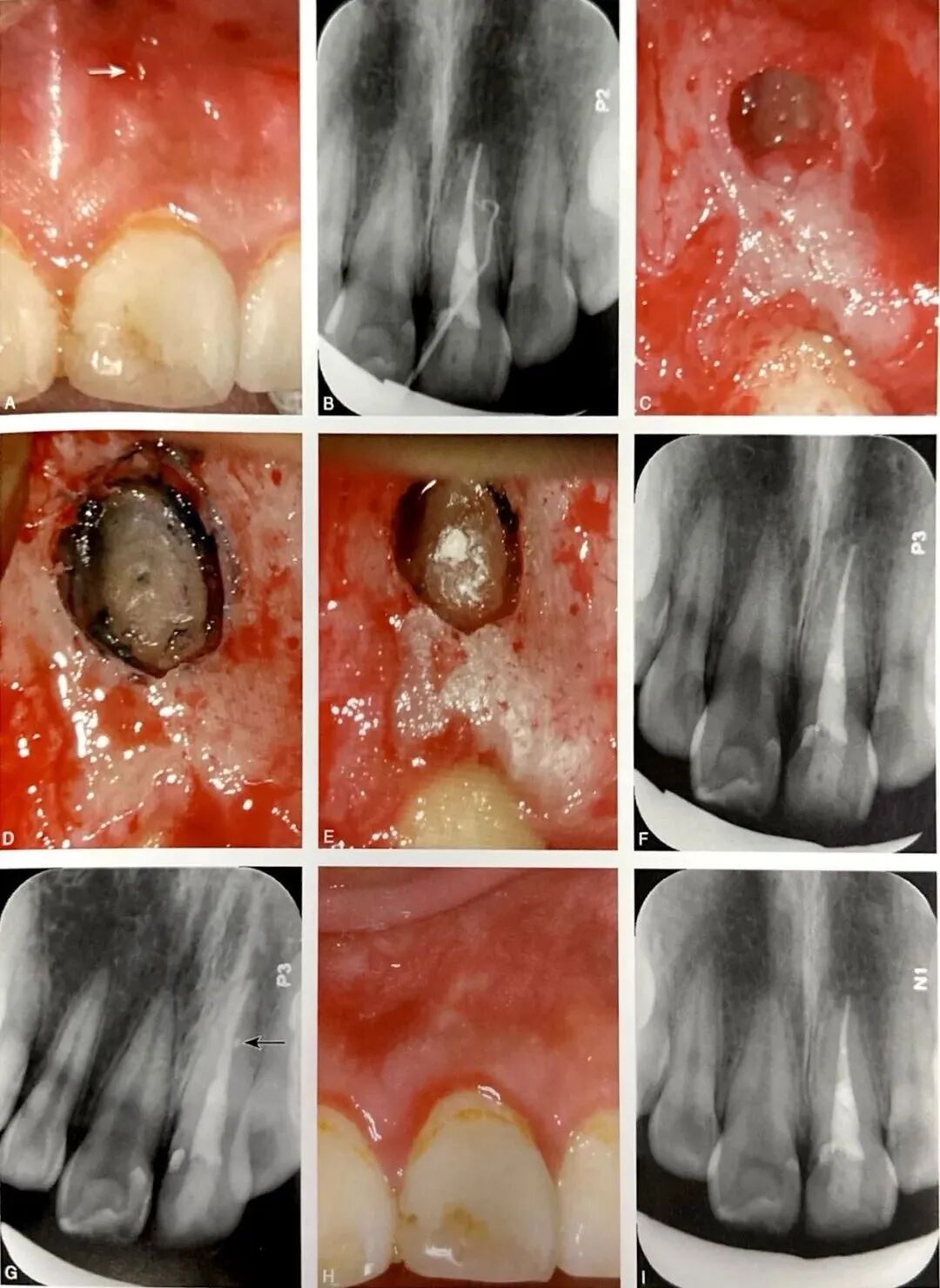
根管侧支通常位于根尖区,少数位于根中段。根尖区以及根中段唇颊侧的根管侧支易诊断,如图5所示,A为口内像颊侧面观示左上中切牙根中段窦道(箭头);B为牙胶示踪根尖片,示窦道来源于牙根中段远中;C为左上颌中切牙行显微根尖外科手术,切开翻瓣牵拉见颊侧根中段骨质缺损;D为刮治后染色见根管侧支;E为根管侧支逆行预备和充填;F为术后根尖片;G为偏角投照根尖片示充填后侧支(箭头);H为术后4个月随访口内像示牙龈和牙槽黏膜正常根尖片,可见根尖周和根周正常;根中段近远中侧或者舌腭侧的根管侧支易漏诊,应使用显微口镜反射观察,必要时行意向再植术,患牙微创完整拔出后在体外全面探查。探查时,根管侧支可有不同着色,蓝黑色(未充填)最为常见,其他有白色(糊剂充填)和黄色、红色、蓝色等(牙胶充填)。
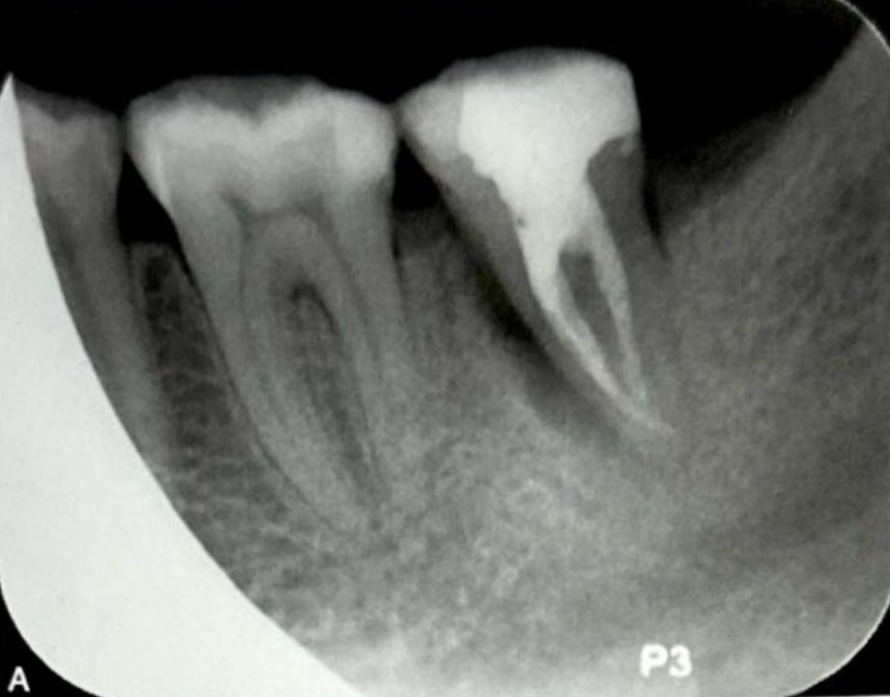
牙裂的鉴别诊断还有管间峡区。下颌第一牙近中根通常存在峡区,也是根裂的好发部位。下颌第一磨牙慢性根尖周炎时,若管间峡区比较宽大,根尖片可呈现类似根裂的影像学特点,需要鉴别诊断。根管治疗术中见到如下情况需怀疑根裂可能性:显微镜下经髓室直视探查见根管内隐裂线、根尖定位仪测量工作长度异常、封药或根充影像异常等。
-END-
声明:本文转载自<口腔学术在线>,仅用于学习交流,如有违规侵权,请立即联系我们。内容仅代表作者个人观点,望大家理性判断及应用。