锁骨骨折是锁骨完整性和连续性遭到破坏的一种骨折,根据骨折部位和形态,锁骨骨折可分为多种类型,如横断骨折,斜形骨折、粉碎性骨折等。最常见的骨折部位是锁骨骨干,在成人中占 67–69%,在儿童中甚至高达 90%。锁骨外侧端受累约占 28–30%,内侧端仅占 3% 。作为肩部与躯干唯一的骨性连接,锁骨在传导应力、保护神经血管方面具有关键作用,因此根据骨折类型和适应证选择恰当的治疗方式,实现解剖复位,对恢复肩关节功能具有重要意义。
发病原因及机制
-
如撞击、跌倒时肩部着地等,直接作用于锁骨导致骨折。
-
如跌倒时手掌着地,力量通过上肢传导至锁骨,引起骨折。
-
如剧烈咳嗽、打喷嚏等导致胸锁乳突肌强烈收缩,可造成锁骨骨折。
解剖特点
-
锁骨是人体最先发生骨化的一长管状骨,在发育过程中形成两个生理弯曲,外侧段后凸,内侧段前凸,形似横S卧于胸廓顶部前方。
-
外1/3呈扁平状(前方较平坦),内1/3近似三棱形(上方较平坦),(力学薄弱点)。全长位于皮下,近端与胸骨柄形成胸锁关节,远端与肩峰形成肩锁关节。是连接肩胛带和胸骨的唯一骨性结构。


临床表现
-
主要表现为局部肿胀、皮下瘀血、压痛或有畸形,畸形处可触到移位的骨折断端,如骨折移位并有重叠,肩峰与胸骨柄间距离变短。伤侧肢体功能受限,肩部下垂,臂贴胸不敢活动,并用健手托扶患肘,以缓解因胸锁乳突肌牵拉引起的疼痛。
-
触诊时骨折部位压痛,可触及骨擦音及锁骨的异常活动。幼儿青枝骨折畸形多不明显,且常不能自诉疼痛部位,但其头多向患侧偏斜、颌部转向健侧,此特点有助于临床诊断。有时直接暴力引起的骨折可刺破胸膜发生气胸,或损伤锁骨下血管和神经出现相应症状和体征。
临床检查
锁骨骨折视诊时,由于锁骨的浅表位置和相应的病史,可见典型姿态,可快速诊断。进一步的临床检查可通过视诊和触诊确定骨折部位。必须评估皮肤被刺穿的风险以及骨碎片导致血液循环障碍的风险。
由于疼痛症状,功能检查无法进行或明显受限,非必须进行。必须检查外周血液循环、运动功能和感觉功能,这可能提示伴随损伤。尤其在高速创伤情况下,应进行完整的体格检查。肺部听诊排除气胸。
伴随损伤:相邻的胸锁关节和肩锁关节也必须进行临床检查。外周脉搏质量、皮肤颜色或血肿的检查可能提示动脉或静脉血管损伤。与锁骨相关的血管损伤少见,但具有潜在的致命性。预计 1–3% 的锁骨骨折患者伴有血胸或气胸。其他相关损伤涉及胸锁关节、肩锁关节和颈椎。罕见情况下,也会出现锁骨下动、静脉和臂丛神经损伤。在高速和极高速创伤中,伴随损伤可能性大,所有骨折都必须进行伴随损伤检查。多项研究表明,外侧三分之一骨折可导致肩袖损伤,尤其部分撕裂(如下图)。此外,还可能发生肱二头肌长头腱损伤,例如滑车损伤或上盂唇从前到后损伤 。

左侧锁骨骨干骨折伴多发性肋骨骨折作为伴随损伤
影像学检查
X线
正位X线片:
显示锁骨全长及骨折部位,可观察骨折线形态、移位情况。

侧位X线片:辅助判断骨折端前后移位情况。

应力X线片:在患者疼痛可耐受情况下进行,有助于发现不完全性骨折或隐匿性骨折。

CT检查:清晰显示锁骨骨折部位、骨折线形态及移位情况,可发现X线平片难以诊断的隐匿性骨折。
三维重建:立体展示锁骨骨折形态,有助于手术方案的制定。

MRI检查
MRI成像对软组织分辨率高,可清晰显示锁骨周围软组织损伤情况,如肌肉、韧带等损伤。
分型
AO 分型
AO 分型区分内侧(AO 15.1)、骨干(AO 15.2)和外侧(AO 15.3)骨折。AO 的目标是实现全球标准化的分类。
Allman 分型
Allman 分型根据骨折部位进行分类 :
-
I 型:中三分之一骨折,约占所有锁骨骨折的80%
-
II 型:外三分之一骨折,外 1/3 骨折,约占15%
-
III 型:内三分之一骨折,内 1/3 骨折,约占5%
Neer 分型
Neer分型将锁骨远端骨折分为三种类型:
-
Ⅰ型: 为韧带间骨折,稳定, 无须手术; 该骨折的近折段与喙锁韧带的联结未受损坏,骨折无移位。其中包括锁骨的经肩锁关节面的骨折;
-
Ⅱ型: 骨折为喙锁韧带与锁骨近折端之间的连续性丧失, 常需手术; 该型骨折的近折段与喙锁韧带的联结遭到破坏,骨折明显移位,
Ⅱ型骨折虽只约占外侧端骨折的1/4,但骨折不愈合率极高(骨不连: 22%~44%,延迟愈合: 45%)
-
Ⅲ型: 骨折伤及肩锁关节,可能出现创伤性关节炎,需二期切除锁骨远端以解除疼痛。

Jäger 和 Breitner 分型
Jäger 和 Breiter 对 Neer 分型进行了修改。Jäger 和 Breitner 分型的 I 型与 Neer 分型相同。II 型细分为喙锁韧带中锥状韧带区域的病变(IIa)和斜方韧带断裂(IIb)。III 型骨折位于喙锁韧带内侧。IV 型描述了一种罕见的、主要发生于儿童的病变。该分型的优点是可以推断骨折的稳定性,因此可用于治疗决策。

Craig 分型:
Craig在Allman的分类基础上进行细化:
①第一组:中1/3(占锁骨骨折的75%以上)。
②第二组:外1/3(占15%左右)。
Ⅰ型:轻度移位骨折(韧带间骨折);
Ⅱ型:喙锁韧带内侧骨折,继发移位:
A:锥形韧带和斜方韧带均完整,附着远侧骨折端
B:锥形韧带断裂,斜方韧带附着于远侧骨折端
Ⅲ型:锁骨远端关节面骨折;
Ⅳ型:喙锁韧带与锁骨骨膜相连,近侧骨折端向上移位;
Ⅴ型:粉碎骨折,喙锁韧带与骨折两端均不相连,而与碎骨块相连。
③第三组:内1/3骨折 占锁骨骨折的5%~6%
Ⅰ型:轻度移位骨折;
Ⅱ型:明显移位骨折;
Ⅲ型:胸锁关节内骨折;
Ⅳ型:骨骺分离,见于儿童和青少年;
Ⅴ型:粉碎性骨折。

Robinson 分型
Robinson 分型是唯一能够对骨折进行细分以提出治疗建议和预后判断,并进行科学评估的分型。锁骨分为内侧端、骨干和外侧端,每个部位描述了 4 种不同类型。特别关注移位是否超过或小于一个骨干宽度。对于内侧端或外侧端骨折,还需区分骨折线是否累及关节。对于骨干骨折,还需对粉碎区域的程度进行分类。

治疗
非手术治疗
闭合复位:对于无明显移位的锁骨骨折,可采用闭合复位的方法,利用绷带或石膏固定。
药物治疗:给予患者非甾体类抗炎药、钙剂等药物,以缓解疼痛、促进骨折愈合。
定期复查:非手术治疗期间,需定期复查X线片,观察骨折愈合情况,及时调整治疗方案。
手术治疗
一. 钢板内固定
-
能起到张力带固定效应。
-
可防止旋转移位。
-
固定牢固,可早期功能活动。
-
切口暴露大,影响美观。
-
骨膜剥离较多,影响骨折愈合速度,甚至出现骨不连。
-
感染率较高。
钢板和螺钉固定

A.锁骨骨折, B.前方钢板固定

双微型碎片钢板
锁骨骨折的切开复位内固定
( Collinge等改良)
前下方钢板和螺钉固定
-
患者取仰卧位,肩胛骨之间放置一个大的垫子,使受伤的肩胛带向后下降,这有助于恢复锁骨的长度和显露。
-
自胸骨切迹至肩峰前缘以骨折为中心做一个切口。

切口
-
松解横向的颈阔肌并确认锁骨上神经穿过锁骨前方。
-
沿锁胸筋膜在锁骨前方的附着处将其切开并仔细向下分离。
-
先沿内侧骨折块仔细分离,这里通常远离至关重要的锁骨下血管结构。对于急性骨折,只有少量软组织需要剥离。
-
复位骨折并用复位钳维持。
-
如果可能,使用拉力螺钉进行临时固定;可以考虑选择小的骨块螺钉进行临时固定,以确保钢板的良好贴附。
-
预弯3.5mm的钢板使其贴附于锁骨前下边缘。通常情况下,将一个8孔的钢板预弯成S形就能很好地贴附于锁骨边缘。

钢板依照解剖形态塑形
-
向后上依次固定螺钉。如果是斜行骨折,可将拉力螺钉通过内固定板或直接固定骨折放置,与骨折线大致成90°角。

螺钉向后向上 Acr.肩峰;SN.胸骨切迹
上方固定
-
对于上方固定,进行钢板塑形以适应锁骨上缘。从上向下依次固定螺钉,仔细检查,以避免损伤神经血管结构。

上部钢板固定
术后处理
-
手术侧肢体用吊带悬吊,告诉患者行钟摆和“画圆”练习,鼓励患者使用患肢但避免负重上举和牵拉。
-
患者通常在2~3个月骨折愈合出现时可恢复术前运动。
二. 髓内固定
-
手术操作简便;
-
内固定撤除方便;
-
固定不牢固,不能控制骨折断端旋转活动;
-
无断端间的加压作用;
-
容易发生骨不连;骨折畸形愈合;
-
易导致克氏针疲劳性折断(剪力);
-
常有克氏针松动、滑移或游走的报道。

A. 锁骨骨折, B髓内钉治疗
使用带尾帽远端有螺纹的髓内钉固定(Rockwood 锁骨钉)
-
患者半坐位于可透视x线手术台上,将放射增强器放在同侧,通过将x线透视机置于与头和足平面成45°可获得锁骨的正位像。
-
于肩锁关节以内 2~3cm 处锁骨的后外侧部做一个2~3cm 的切口。由于此处皮下脂肪较薄,应仔细操作,避免损伤其深部的颈阔肌。
-
使用剪刀将颈阔肌与其上方的皮肤分离开,并按照肌肉走向劈开肌纤维,应仔细操作,避免损伤锁骨上神经的中间支,该神经在锁骨中部直接位于颈阔肌深面,识别并牵开神经。
-
经切口使用巾钳将内侧锁骨的远端抬高。

提起锁骨内侧端
-
使用带有T形把手的、大小合适的钻钻通髓腔时,应小心不要钻透前方皮质 。

钻通近端髓腔
-
从锁骨内侧部将钻取出后,使用带有T形把手的大小合适的丝锥进行攻丝,直至达到前方皮质为止。推荐手动进行攻丝,尤其是对于身高矮的患者及直径较小的锁骨钉。

用丝锥进行髓内腔攻丝
-
经切口将锁骨外侧端抬高,并外旋手臂和肩关节帮助显露。
-
使用大小相同的、带有T形把手的钻钻通髓腔。

髓腔内攻丝
-
在C形臂x线机透视的指引下,钻透锁骨的后外侧皮质。钻位于肩锁关节的后内侧、喙突水平处,并于不高于锁骨后外侧中部的位置穿出。

钻通远端髓腔
-
从锁骨外侧部将钻取出后,使用带有T形把手的、大小合适的丝锥进行攻丝,以便大的螺纹能够完全进入髓腔。如果攻丝过紧,可考虑使用大一号的钻再次钻孔。同样,推荐手动进行攻丝。

钻穿远端锁骨的后外侧皮质;
-
当使用持骨钳固定住锁骨远端后,去除导针前端的螺纹,将导针自骨折端插入至锁骨远端髓腔,从锁骨远端后外侧皮质先前钻孔处穿出。
-
一旦导针穿出锁骨,即可在皮下触到导针尖端。在触到导针尖端处做一个小切口,并使用止血钳分离皮下组织。将止血钳的头端置于导针尖端的下方,以便导针从切口处穿出,然后将导针钻出直到内侧螺纹进入皮质。

髓内钉顶端切口
-
使用巾钳固定锁骨远端,使用T形手柄旋入螺钉(注意把持部位不要在螺纹处),小心使螺钉旋入位置。确保插入正确。

牵引髓内钉复位骨折块
-
复位骨折并将导针钻入锁骨内侧端,直至所有的内侧螺纹均穿过骨折部。由于重力的缘故,通常会将手臂向下拉,抬高肩关节有助于导针钻入锁骨内侧端。
-
将内侧螺母拧在导针一段,然后拧上外侧螺母。通过钳子或改锥将这两个螺母锁定在一起。用T形扳手转动外侧螺母,使导针向内侧行进,直到其与前侧皮质接触。术中x线透视确定导针位置。
-
用改锥或扳手将两个固定的螺母拆卸下来。继续向前推进内侧的螺母,直到其接触锁骨外侧皮质。拧紧外侧螺母,直到其与内侧螺母结合。

髓内钉最终的置入位置
-
用普通扳手使导针后退1cm,以便从软组织中显露螺母。确定锁骨针仍然固定在内侧骨块的皮质内。
-
用切针器切断导针,切断时尽量靠近外侧螺母的位置。用外侧螺栓钳再次将锁骨髓内钉推向前。
术后处理
将手臂放置在一个标准的吊带中,早期可进行轻柔的钟摆练习。10~14d拆除缝线,如果X线片上看到愈合,终止使用吊带; 可以不受限制地运动。但不允许进行力量练习、抗阻力运动或体育运动。如果影像学证实术后6周骨折愈合,则可以进行抗阻力和力量练习。手术后12周,应避免接触性体育项目(如足球、曲棍球)。术后12周骨折愈合时,可以取出髓内钉。
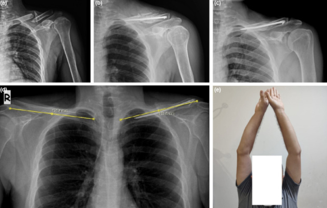
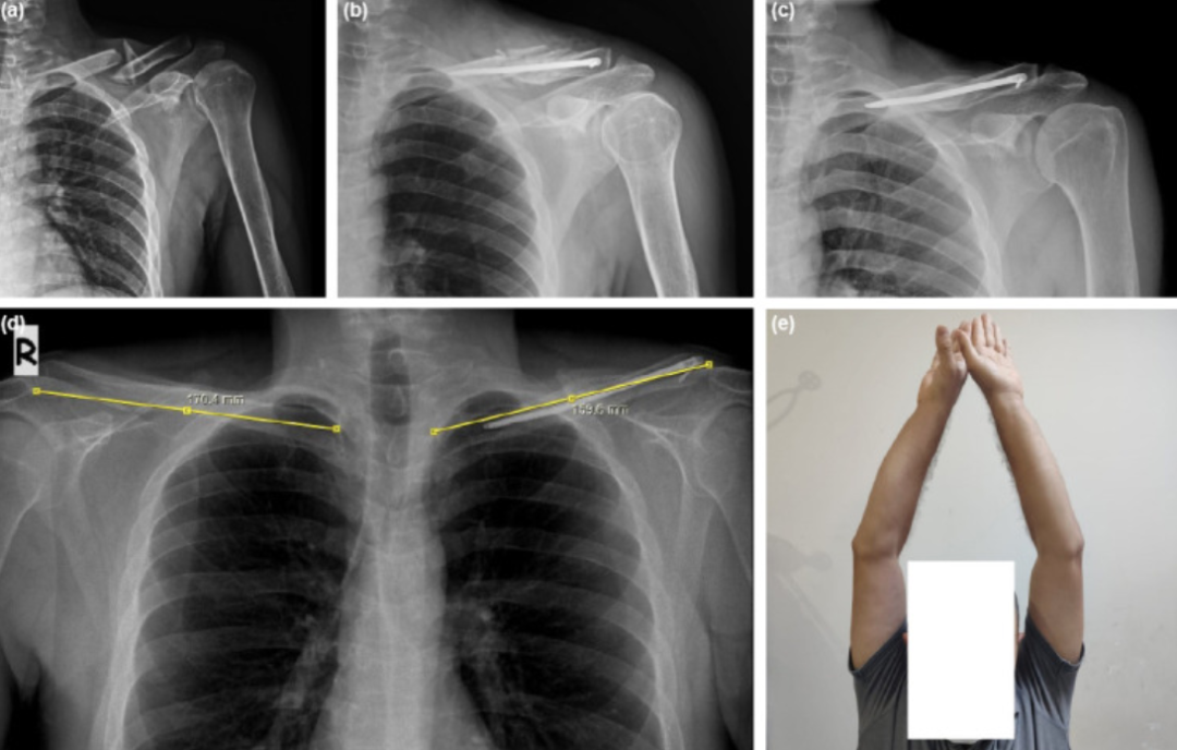
髓内钉固定改良版(锁骨中段骨折)
1、交锁髓内钉固定
半沙滩椅位,从骨折线外侧切开一个5-7cm切口,显露骨折线后扩髓。使用t型手柄,通过后外侧孔旋转插入直径最大且长度合适的钉子。用2.5 mm的钻头将导杆固定在钉的外侧锁孔上。

手术器械

(a, b)一名38岁男性左侧锁骨粉碎性骨折术前及术后8周前后位X光片;(c, d)术后2年骨折愈合后前后位X光片,显示创伤后短缩6.3%;(e)同一患者的临床图像。
2、OBS髓内固定技术
桥接组合式内固定系统(OBS)作为新型内固定器,在传统髓内固定系统技术上,增加了螺钉固定,避免了传统髓内克氏针固定并发症,来自遵义医学院第五附属医院的学者,采用此技术治疗锁骨中段骨折。

手术器械
经骨折断端处作长约2cm切口,暴露并清理骨折断端,将直径3mm的斯氏针从骨折端分别扩髓,近端扩至锁骨近端1/5(下图a)。同法翘起外侧骨折端后,将斯氏针向前方扩大穿出,直至斯氏针贯穿锁骨肩峰端背外侧皮质(下图b)。在克氏针穿出皮肤处做1-2cm切口,显露锁骨远端的背侧开口后拔除克氏针。根据锁骨形态,将预弯的连接杆从肩峰端开口置入锁骨远端髓腔(下图c)。将连接杆逆行穿过骨折端进入近端髓腔(注意避免穿出近端皮质)。最后将肩峰端连接杆尾部折弯贴附皮质,安装1-2枚固定块及螺钉完成固定(下图d、e)。对于骨折端存在明显移位骨块者,采用缝线捆扎或张力螺钉辅助复位固定至原位。如下示意图:

三、8字钢丝内固定
-
操作简便,切口小,暴露及手术损伤均较小。
-
术中扭结时即在两骨折端间产生挤压作用,起到牢固的内固定作用。
-
对粉碎性骨折无法做到对游离骨片的满意固定。
-
此方法最佳适应症应为横断形或短斜形骨折。

无论采取哪种手术方式,均应注意保护锁骨上神经(C2~3,分为前、中、后3支)、锁骨下神经及血管。
参考:
1、《坎贝尔骨科手术学》第14版 创伤骨科卷.
2、Klavikulafrakturen.
3、New interlocking intramedullary nail for treating acute midshaft clavicular fractures in adults: A retrospective study.
4、Efficacy of intramedullary bridge fixation for midshaft clavicle fractures: a retrospective analysis of a novel technique.
-END-
声明:本文为原创内容,作者<Perry>,版权归原作者所有,仅用于学习交!









