牛牙症(taurodontism)是一种特殊的牙体及牙髓腔形态异常,其临床牙冠形态与正常牙冠部没有明显差异,但通过X线片可发现牙体部较长而牙根部短小,釉牙骨质界水平处缺乏明显的收缩,对应牙髓系统则表现为髓底向根方移位、髓腔高度增加。可单侧或者双侧发生,或者多发于同一象限的多个牙齿。
牛牙症的发病率较低,据报道全世界发病率在0.1%~11.3%之间。发病率的差异因不同种群、不同的诊断标准而有所不同。其发生一般没有性别的差异,但有报道称在中国女性有更高的发生率。
高达 26. 7%的牛牙症患牙存在不同程度的髓石及根管钙化, 伴随其特殊的髓腔形态给根管治疗造成很大的困难,故牛牙症患牙根管治疗时,定位根管口、清理成形和严密封闭是一种挑战。
根管治疗前,在X线根尖片初步诊断患牙为牛牙症后,应常规进行CBCT检查,确定根管数目、形态及走向和炎症波及范围,掌握治疗难度,制定相应的治疗方案。
-
髓腔处理:注意充分暴露髓腔;因为牛牙症患者髓腔内常有大量出血,需使用2.5%次氯酸钠作为冲洗剂,以完全清除和溶解牙髓组织,采用超声法预备大而长的髓腔。 -
定位根管口:结合CBCT,显微镜的照明和放大功能来准确定位根管口;采用超声设备去除根管上段钙化物,同时,配合使用小号 C 锉和以及 EDTA 根管凝胶疏通根管;分别沿着不同根管口的方向插针拍摄X线片以进行核对。 -
清理成形:根管预备过程中,注意化学预备和超声荡洗相结合的方式清除峡部等感染物。使用可预弯的记忆型镍钛锉预备弯曲度较大的根管,以防止出现器械分离。
根管充填时,因根尖1/3常膨大,故建议根尖区采用侧方加压充填术或生物陶瓷类根管封闭剂+单尖充填法,上段采用热牙胶垂直加压充填技术来实现无空隙三维严密封闭。这个仅作建议,正常方法也可以。
病例
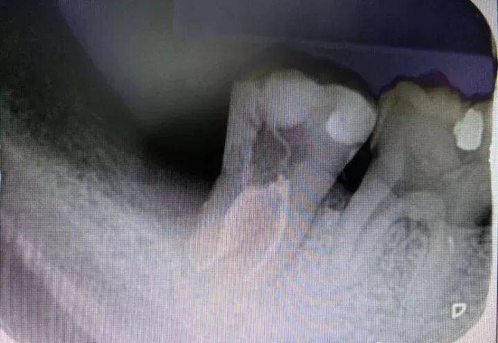
图9 47初诊片
图10 47根充片
-END-
声明:本文转载自<KQ88口腔医学网>,仅用于学习交流,如有违规侵权,请立即联系我们。内容仅代表作者个人观点,望大家理性判断及应用。









