第五期:固定平台单髁假体位置(SIGMA:registered: HP KNEE)
固定平台UKA胫骨假体位置
1、与滑动平台UKA胫骨假体位置基本一致,只是截骨厚度多2-3mm;
2、在AP位片,垂直锯切应该刚好在内侧棘顶点或者在顶点内侧1-2mm ,内翻0±3° ;
3、骨/假体界面应显示完整的薄骨水泥层和数mm的骨水泥渗透透光线;
4、在侧位片,假体后缘应达到后侧皮质,但不应悬挂,内侧UKA后倾7°左右,外侧UKA后倾5°左右。
固定平台UKA股骨假体位置
1、与滑动平台UKA股骨假体位置的主要区别在于假体的后倾角度不一样,且与假体类别有关;
2、股骨远端和股骨后髁截骨均分别与胫骨截骨面平行,在AP位片显示股骨远端假体无明显内翻或者外翻,± 5°内翻/外翻可以接受;股骨后髁假体无内旋或外旋;
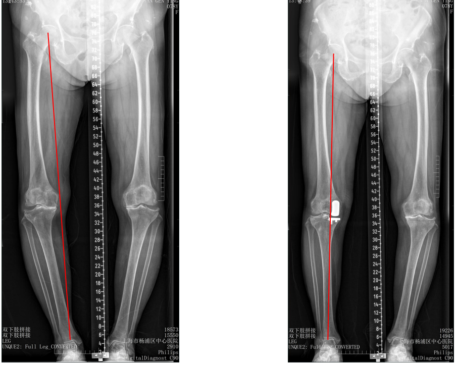
3、在侧位片,股骨远端截骨与股骨长轴垂直,股骨后髁截骨与股骨长轴后倾15°,固定栓相对于股骨长轴屈曲20°。
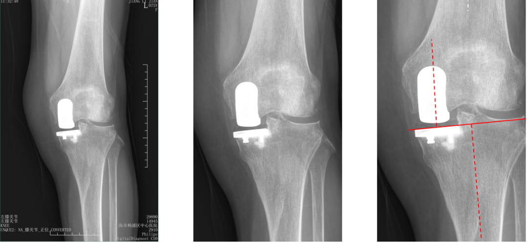
一、内侧SIGMA:registered: HP KNEE假体位置
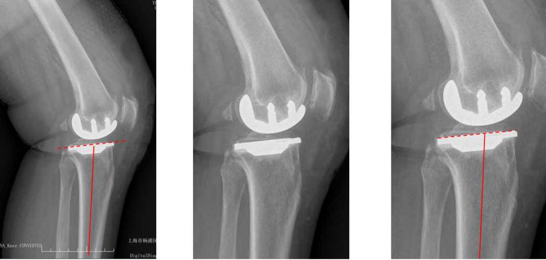
标准胫骨假体位置
AP位胫骨与股骨假体位置:水平截骨与胫骨轴线垂直,无明显内外翻,内侧缘与胫骨平台内侧缘齐平; 股骨假体中线与胫骨假体中线一致。
标准胫骨假体位置(KA)
AP位胫骨与股骨假体位置:水平截骨与胫骨轴线 3°内翻截骨,内侧缘与胫骨平台内侧缘齐平; 股骨假体中轴线与胫骨假体垂直,股骨假体中线与胫骨假体中线一致。
标准股骨假体位置
侧位胫骨与股骨假体位置:胫骨假体后倾7°,前后缘齐平;股骨远端截骨面与股骨长轴垂直,股骨后髁假体后倾15°,完整包容股骨后髁。
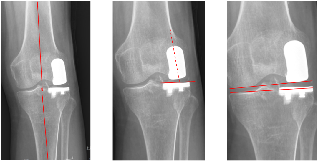
胫骨假体厚度合适
胫骨垫片厚度合适:术前内翻畸形基本矫正,残留2-3°内翻。
胫骨假体内翻
AP位胫骨与股骨假体位置:胫骨假体内翻10°,股骨假体中轴线与胫骨假体垂直。
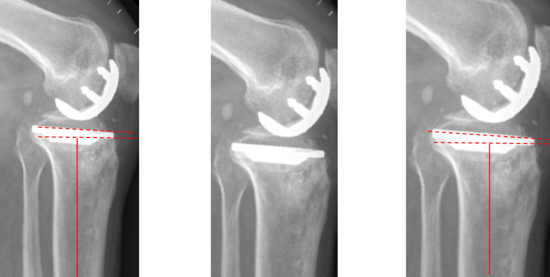
胫骨假体后倾角大
侧位胫骨假体位置:胫骨假体后倾11°,前后缘齐平。
胫骨假体前倾
侧位胫骨假体位置:胫骨假体前倾5°,前后缘齐平。
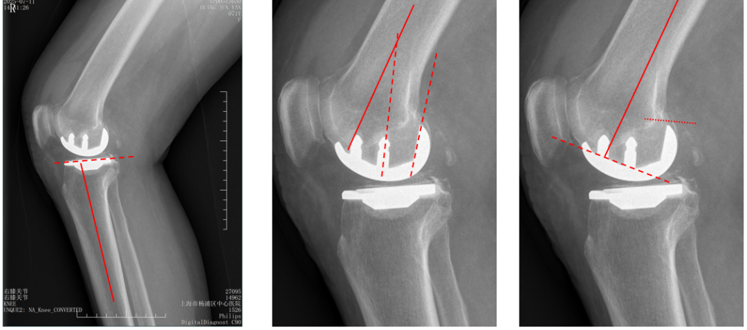
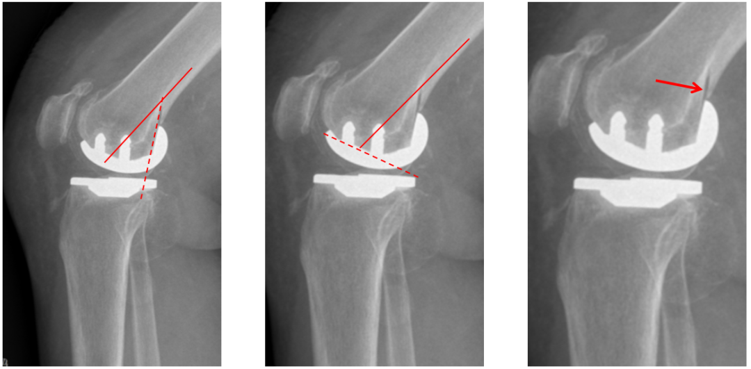
股骨假体后倾不足
侧位股骨假体位置:股骨假体后倾5°,后髁包容不足。
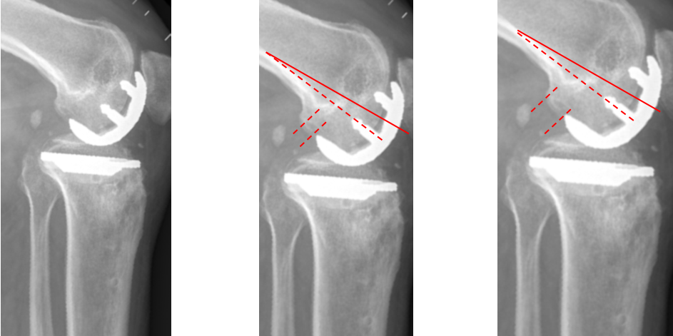
二、外侧SIGMA:registered: HP KNEE假体位置
标准胫骨假体位置
AP位胫骨与股骨假体位置:胫股角10°,轻度膝外翻;水平截骨轻度外翻,外侧缘与胫骨平台外侧缘齐平; 股骨假体中轴线与胫骨假体垂直,股骨假体中心与胫骨假体中心一致。
侧位片胫骨与股骨假体位置:胫骨假体后倾7°,前后缘齐平;股骨假体后倾15°;股骨远端截骨面与股骨髓腔中心线垂直,完整包容股骨后髁。
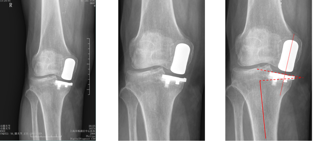
外侧间隙过分填塞(膝内翻)
AP位胫骨与股骨假体位置:胫股角-2°,膝内翻;屈曲间隙过份填塞,关节线上移,股骨假体外翻。
股骨假体过屈(皮质损伤)
侧位股骨假体位置:股骨远端后倾15°截骨,导致后髁115°截骨,后侧皮质损伤。
股骨假体过伸
侧位股骨假体位置:股骨远端前倾10°截骨,导致股骨股骨后髁截骨与股骨髓腔中心轴平行,股骨假体过伸。
股骨后髁过截
外侧股骨髁坏死伴发育不良。
股骨假体过屈
外侧单髁术后股骨后髁过截,股骨假体过屈(45°)。
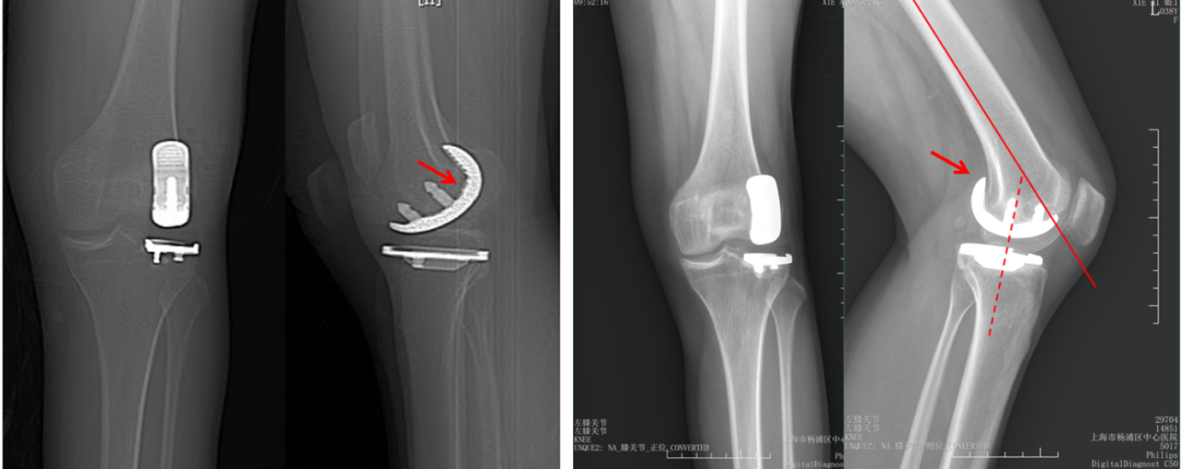
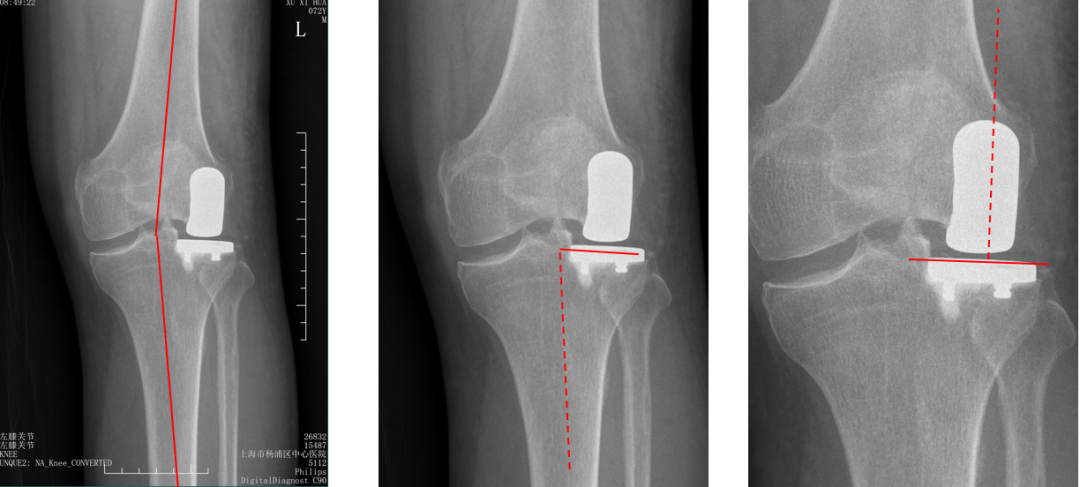
三、胫骨假体下沉翻修
外侧间室OA行LUKA,术后外伤导致胫骨假体塌陷
胫骨假体翻修术(保留股骨假体)
四、胫骨假体过度前倾翻修
LUKA术后胫骨假体过度前倾导致膝关节伸直受限
LUKA术后半年 (20251126)
保留股骨假体胫骨侧翻修
翻修术后 (20251201)
【建议在电脑观看】
作者介绍
涂意辉 教授
-
博士,主任医师,博士生导师;
-
同济大学杨浦医院首席专家;
-
中国医师协会骨科医师分会第六届委员会 全国委员;
-
中国医师协会骨科医师分会保膝学组副组长;
-
中国老年保健协会骨关节保护与健康分会副会长;
-
中国研究型医院学会膝关节部分置换研究学组副组长;
-
中国研究型医院学会膝关节保护与矫形学组委员;
-
上海市中西医结合学会关节病专业委员会常务委员;
-
上海市医师协会骨科分会关节委员会委员;
-
上海市医师协会运动医学医师分会委员;
-
中国康复医学会骨与关节委员会常务委员。
-
英国牛津大学Nuffield 骨科中心 fellow;
-
《中国伤残杂志》执行副主编;
-
《生物骨科材料临床研究杂志》编委;
-END-
声明:本文为原创内容,作者<涂意辉>,版权归原作者所有,仅用于学习交流,未经授权禁止转载!









