肩锁关节脱位是临床常见的肩部损伤,常见于直接暴力。Rockwood III度及以上的肩锁关节脱位,由于喙锁韧带与肩锁韧带的完全断裂,脱位复位与维持困难,通常建议手术治疗。在内固定方式上,尽管Tightrope、袢钢板及韧带重建等新技术不断涌现,但锁骨远端钩钢板基于其稳定的固定、确切的疗效,目前仍是内固定治疗肩锁关节脱位的金标准。
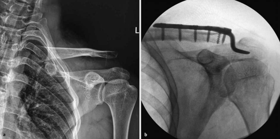
▲ 图示肩锁关节脱位,及钩钢板固定后的影像。(图源:10.1055/a-0946-2886)
钩钢板对肩锁关节脱位的固定,完全依靠于钩对肩峰的压力。研究表明,42-45%的钩钢板固定肩锁关节脱位病例会出现肩峰下骨溶解,钩与肩峰的匹配不良、II/III型肩峰或过度活动会增加骨溶解的发生率。
▲ 图示肩锁下骨溶解影像。(图源:10.1016/j.jse.2024.09.027)
肩峰下骨溶解导致的肩部慢性疼痛,肩关节外展受限,是钩钢板固定后内植物取出甚至内植物失效的最主要原因。为了在医源上尽可能避免肩峰下骨溶解,对钩钢板的最佳放置位置研究,应运而生。
钩钢板的位置问题,主要存在两方面。一是钩钢板相对于肩峰的距离,即放置于偏内侧或偏外侧。二是钩钢板的肩峰下钩,相对于肩峰的角度问题。
▲ 图示肩峰下钩不同角度放置时的位置。(图源:10.1007/s00590-024-03981-z,下同)
国外学者对上述两个问题进行了研究。首先,定义钩钢板的角度为:锁骨钩的轴线,与垂直于肩峰宽度面的直线的夹角。
实际研究中,在内侧/外侧方式上,锁骨钩覆盖50%的肩峰宽度称为外侧组,表明锁骨钩已尽可能偏外侧放置,在外侧组上将钩钢板放置于-10°、0°、+10°、+20°、+30°位置,往后为正,往前为负;锁骨钩覆盖25%肩峰宽度称为内测组,在内侧组上将钩钢板放置于-10°、0°、+10°。
-
内侧组:4.38mm(+10°)~5.71mm(0°);
-
外侧组:最短5.42mm(+30°),最长8.85mm(0°)。
-
内侧组:2.97mm(-10°)~3.17 mm(0°);
-
外侧组:最窄3.14mm(-10°),最宽 3.91 mm(0°)。
-
内侧组:匹配度10%~70%;-10°时最低,0°时最高;
-
外侧组:匹配度55%~100%;-10°时最低,0°与+10°达 100%,+20°为 90%,+30°为75%。
钩钢板偏外侧置入,0°置入角度可最大化接触面积,降低应力集中,减少钩钢板固定并发症。
-END-
声明:本文转载自<骨科青年>,版权归原作者所有,仅用于学习交流,若有侵权请联系我们删除!