-
前向后螺钉术中无需翻身,便于手术操作,但无法直视下复位后踝,导针置入时无法精准判断位置; -
后向前螺钉需漂浮体位或仰卧位,操作繁琐;但可在直视下复位,且生物力学研究上,后前螺钉比前后螺钉具有更强的稳定性。
后向前螺钉的置入存在置入下胫腓间隙、激惹踇长屈肌腱及损伤腓肠神经的风险。为避免上述问题,有学者进行了相关标本研究,以明确后踝螺钉置入的安全区。
一、风险1:螺钉置入下胫腓
文章首先定义踝穴位上PVSL(Posteromedial vertical syndesmotic line)线,该线为在踝穴位上,下胫腓间隙中胫骨后内侧皮质缘从后向前过渡的投影线。
▲ 图示PVSL线与其在透视下的影像。
为了确定PVSL线是否可代表下胫腓间隙的内侧缘,研究者通过在下胫腓间隙内侧缘放置显影标识,并在该标识的内侧与外侧放置标识,以明确PVSL线是否易于辨别。
该例后踝螺钉穿入下胫腓的标本在CT横断中可明确。
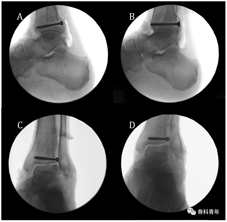
依上述研究结果,在如下的后踝钢板固定中,透视钢板部分位于PVSL线外侧,有影响下胫腓风险,因此将钢板内移至PVSL线内。
▲ 图中白色虚线即为PVSL线。
二、风险2:腓肠神经损伤
经皮后向前螺钉置入的另一风险为腓肠神经损伤,以及踇长屈肌腱损伤。
40%的导针会直接穿过踇长屈肌腱,但导针穿入拇长屈肌腱并不会影响后踝螺钉的置入,也不会引发明显并发症。
-END-
声明:本文转载自<骨科青年>,版权归原作者所有,仅用于学习交流,如有侵权请联系删除!









