肩袖撕裂给老年人群带来重大负担。流行病学研究表明,60 岁以上无症状个体中有 54%,80 岁以上有 62%,以及任何年龄的普通人群中有 20% 存在肩袖撕裂。巨大且不可修复的肩袖撕裂(MIRCTs)尤为复杂棘手。巨大肩袖撕裂的定义标准不一,包括冠状面撕裂直径达 5 cm 或以上,两条或以上肌腱撕裂,冠状面和矢状面收缩撕裂至少 2×2 cm,Patte III 级回缩至关节盂,以及几何学受累。Schumair 等将 MIRCTs 定义为回缩至关节盂边缘或大结节暴露至少 67% 的撕裂。术中,许多巨大肩袖撕裂不可修复,例如磁共振成像切线征阳性、Goutallier 3 级或 4 级脂肪浸润、肩峰肱骨距离小于 6 mm 以及慢性假性瘫痪。对于无明显盂肱关节关节炎的 MIRCTs 的管理具有挑战性,选择包括部分修复、上关节囊重建、肌腱转位、补片使用和人工间隔物置入。
目前的治疗策略分两类。一类是被动稳定技术,如上关节囊重建、肩峰下间隔物置入。另一类是主动稳定技术,包括间置移植物和肌腱转位。对于移植物间置,选择包括脱细胞同种异体移植物、阔筋膜或腘绳肌腱自体移植物,以及肱二头肌长头腱自体移植物。阔筋膜和腘绳肌腱自体移植物存在供区并发症风险,而同种异体移植物并非随处可得,且成本高。以往使用 LHBT 作为移植物的技术包括 Selim 和 Badawy 描述的开放入路,在关节盂起点行肌腱切断术并在大结节处用螺钉固定, Golovachev 等人还描述的保留近端 LHBT 附着的关节镜入路。
我们提出一种用于不可修复肩袖撕裂的关节镜间置技术,采用腱-腱入路使用 LHBT,旨在通过实现肩袖内更完全的整合来克服既往方法的局限性。鉴于移植物构建体的纵向定向和双肢结构(功能和视觉上类似于悬吊系统),该技术被非正式地称为“Hosentraeger 技术”。
手术技术
患者评估
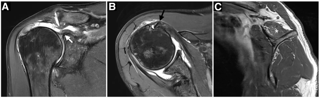
详尽的病史、功能评估、临床检查和放射学评估至关重要(图 1)。磁共振成像用于评估肌肉萎缩、肌腱回缩和脂肪浸润。
图1. 一例65岁男性患者右肩的术前磁共振成像(MRI)。(A)冠状位显示大面积后上肩袖撕裂。冈上肌腱呈Patte III级回缩(白色箭头)。(B)轴位可见肱二头肌长头腱病变(黑色箭头)。但肌腱仍保持完整。(C)矢状旁位显示肌肉萎缩。按Goutallier等[12]分级为2级脂肪浸润。星号指示冈上肌。
纳入标准
-
回缩(Patte II-III期)
-
不可修复的肩袖撕裂
-
保守治疗失败
排除标准
-
盂肱关节骨关节炎
-
类风湿关节炎
-
脂肪浸润(Goutallier 3级或以上)
-
术中可行初次肩袖修复
-
高度退变的肱二头肌腱
患者体位与准备
患者取沙滩椅位,患臂固定在可液压调节的臂托中。实施肌间沟阻滞联合全身麻醉。手术从小切口胸肌下原位肌腱固定术开始。
胸肌下肌腱固定术
在胸大肌下缘做一 2 至 3 cm 的垂直切口。暴露后,识别 LHBT,并使用不可吸收缝线以 Krackow 缝合法穿线。使用 BicepsButton (Arthrex, Naples, FL) 固定在单皮质骨钻孔中,肌腱在肌腱固定处上方切断(图 2)。
图2. 肱二头肌肌腱固定术与移植物准备。暴露肱二头肌长头腱后(A),使用不可吸收缝线以Krackow缝合法加固(B)。然后用BicepsButton将肌腱单皮质固定(C)。(D)随后在肌腱固定处上方切断肌腱。(E、F)关节镜下切断肌腱后,获得长约70 mm的肱二头肌自体移植物。用FiberWire缝线以Krackow缝合法缝合两端,以备后续使用。星号指示肱二头肌长头腱。(C:尾侧;Cr:头侧)
诊断性关节镜与撕裂评估
通过标准背侧入路引入 30° 关节镜进行诊断性关节镜检查。根据需要建立额外入路(图 3)。清创肩袖边缘后,评估肌腱活动度。如果合适,处理其他可修复的肩袖撕裂,并可切除肩峰骨刺或锁骨外侧端。
图3. 患者取沙滩椅位。从外侧观察右肩,标记解剖标志及入路位置。(A:肩峰;C:锁骨;1:前入路;2:外侧入路;3:后外侧入路;4:后入路;5:Neviaser入路)
肩袖准备与松解
评估回缩程度和肩袖残端大小。可通过回缩的肌腱穿过一根支撑缝线来评估松解潜力。在肩峰下,以及肩袖与上盂唇之间进行肩袖松解(图 4)。
图 4. 右肩关节镜下视图,患者取沙滩椅位。(A)通过后侧入路观察间隙区,显示关节盂上缘完整的肱二头肌长头腱。(B)清创并部分切除滑囊后,观察到延伸至关节盂缘的完全性冈上肌病变。在盂唇水平切断 LHBT 后(C),尽可能松解冈上肌腱,并穿过一根缝线以利于肌腱向足迹区移动。
移植物准备
在上关节盂缘处行 LHBT 肌腱切断术,并松解肌腱。取出后,使用不可吸收缝线以 Krackow 缝合法加固肱二头肌腱两端(图 2)。
最终肩袖修复与间置移植
通过 Neviaser 入路,将已穿线的 LHBT 一端的缝线从关节侧穿梭至滑囊侧,穿过肩袖残留的抗拉部分(主要是后上撕裂中保留的厚实悬带结构),使用锐性缝线过线器。如果肌腱过厚无法穿过,可使用关节镜 BirdBeak (Arthrex) 逐渐扩大开口,然后通过 Neviaser 入路引入钝头套管针(约 5 mm)轻柔扩张。一旦穿过冈上肌悬带,肱二头肌腱的两肢均被松解至足迹区(图 5)。
图 5. 右肩关节镜下视图,患者取沙滩椅位。从 Neviaser 入路穿透肩袖悬带后(A),使用抓持器将加固的肱二头肌长头腱移植物通过外侧入路然后穿过回缩的肌腱(B-E)。在足迹区用两枚 ReelX 无结锚钉固定移植物的两肢后(F-H),悬带得到恢复并重新定位(I)。(J)关节内视图显示缺损闭合。
对于较长的移植物或当冈下肌也受累时,可进行额外的后方穿行,形成 U 形构型(图 6)。清创足迹区,使用无结锚钉固定一肢移植物。另一肢固定于外侧或肱二头肌沟上部,使用另一枚锚钉。
图 6. 肱二头肌长头腱移植物定位。对于孤立的回缩性冈上肌断裂,C 形构型可能是合适的(I 型)。如果获取的移植物足够长,可通过肩袖悬带形成 U 形构型(II 型)。对于更广泛回缩的断裂,如果计划采用两个 C 形构型,可使用同种异体移植物塑造两个独立的 C 形构型(III 型)。如果另外一条肌腱断裂并回缩,可通过冈上肌和冈下肌腱形成 U 形构型,使用肱二头肌长头腱自体移植物(IV 型)。
康复
术后用矫形器固定肩部,共6周。固定姿势取决于撕裂类型:后上肩袖撕裂者,保持外展30°、外旋15°;前上肩袖撕裂者,保持外展30°、内旋20°。期间在物理治疗师监督下,进行被动关节活动度练习。主动康复在此初始阶段后开始,术后 6 周及 3、6、12 和 24 个月进行随访评估。
讨论
腱-腱技术(Hosentraeger 技术)修复 MIRCTs,相比其他方法有优势。上关节囊重建虽然生物力学上有好处,但容易发生移植物延长和失败,尤其是脱细胞真皮同种异体移植物,只是一个被动结构,用来对抗肱骨头向上移位。我们方法的优缺点见表2,要点与陷阱见表3。
表1. 技术的优点与缺点
优点:
可能实现肩袖悬带的解剖重建;肱二头肌腱富含胶原蛋白;易于获取;使用自体移植物;移植物反应风险低;将肩袖固定于重建的肩袖悬带而非足迹区;可能预防肩袖关节成形术;关节镜技术;无供区并发症。
缺点:可能存在的退变性肱二头肌腱;对肩袖和肌腱移植物产生高张力;终末期脂肪浸润不可行;肩袖肌腱广泛回缩不可行;断裂情况下脆弱的薄残腱。
表2. 要点与陷阱
肱二头肌腱应尽可能向远端取材。应广泛松解肩袖。在固定移植物前,术者应在肩袖适当张力下确定 LHBT 移植物在大结节上的固定点。将移植物一端制成梭形加强可使其更平滑地穿过肩袖残端。可能需要逐渐扩大肩袖残端内的肌腱通道以利于移植物平滑通过。未能扩大通道可能导致移植物损伤或定位不良。张力不当可导致构建体过度紧张或松弛。
一项系统综述纳入291例上关节囊重建,报道移植物失败率为11.7%,其中脱细胞真皮同种异体移植物失败率更高(15.2%)。阔筋膜自体移植物失败率较(5.0%)。间置技术通过将移植物整合到残留肩袖内来提供主动稳定。人真皮同种异体移植物再撕裂率较高(12%-24%),原因通常是内侧附着不良。阔筋膜自体移植物力学完整性更好,但与供区并发症和僵硬风险增加相关。Rhee等报道了31例患者接受 LHBT移植的结果,再撕裂率为21%,Constant评分明显改善(从术前48分升至术后82分)。一项对照研究比较了阔筋膜自体移植物间置与部分肩袖修复。结果显示间置技术临床效果更优。失败率也更低(20% 对比 42%)。
Hosentraeger 技术在治疗不可修复肩袖撕裂方面具备优势。它能够通过使用自体移植物恢复肩袖悬带的自然解剖,保留肩关节的天然生物力学。该技术利用了富含胶原蛋白的肱二头肌长头腱,支持生物愈合过程。通过术中施加的张力,移植物以可能增强稳定的腱-腱愈合的方式整合到肩袖中。这种构型有助于关节稳定,并可防止巨大肩袖撕裂的常见并发症---肱骨头向上移位。此外,固定无需使用额外的缝线材料,降低了随时间推移发生机械失效或缝线拔出的风险,可能提高修复的耐久性。然而,该技术面临挑战,包括可能的破裂、由于脂肪浸润和肌腱回缩导致的持续性肌无力,以及需要仔细调节移植物张力。如果肱二头肌腱因断裂或严重腱病而无法使用,可使用替代移植物如腘绳肌腱或同种异体移植物。
腱-腱技术,或称 Hosentraeger 技术,用肱二头肌腱作为自体移植物,重建肩袖悬带,是治疗不可修复肩袖撕裂的一种有前景的选择。该方法利用肱二头肌腱自身的生物力学特性,提供了易于获取的自体移植物,且无额外取材部位并发症。在肩袖悬带后方,以腱-腱方式固定移植物,不需要额外缝线。这样既能改善肩袖的功能和完整性,也能减少并发症(如缝线拔出、愈合不良或断裂)。
参考文献:The Hosentraeger Technique: An Arthroscopic Tendon-in-Tendon Interposition Approach Using the Long Head of the Biceps for Irreparable Rotator Cuff Tears.
-END-
声明:本文为原创内容,作者<Perry>,版权归原作者所有,仅用于学习交流!









