二尖瓣反流是常见的心脏瓣膜病,超声心动图是其首选影像学评估手段。本文将对二尖瓣反流患者超声心动图评估的主要内容和方法进行介绍。
二尖瓣反流(MR)是常见的心脏瓣膜病。超声心动图是MR患者的首选影像学评估手段,可对二尖瓣装置的解剖结构、MR病因及发病机制、反流严重程度等情况进行评估,可为临床医生制定治疗策略、评估治疗效果及预测预后提供重要信息。
评估二尖瓣的解剖结构
二尖瓣装置包括瓣环、瓣叶、瓣下腱索、乳头肌及其附着部位的左心室壁。超声心动图可通过多切面对二尖瓣的解剖结构和功能进行评估。经胸超声心动图(TTE)的观察切面主要包括胸骨旁左心室长轴切面、胸骨旁二尖瓣水平及乳头肌水平短轴切面、心尖四腔心、两腔心及心尖长轴切面等(图1)。
在TTE检查的基础上,必要时可采用经食管超声心动图(TEE)对二尖瓣解剖结构进行更为精确的评估。
-
TEE关键的超声切面主要包括食管中段四腔心切面、食管中段二尖瓣交界切面、食管中段左心室长轴切面及经胃底二尖瓣短轴切面等。
-
检查过程中需要关注的要点包括二尖瓣瓣环、瓣叶、腱索、乳头肌的形态及功能、病变的范围和精确定位、反流束起源位置等。
在二维TEE检查的基础上,三维TEE极大地优化了超声对二尖瓣解剖形态的评估。多平面成像模式(X plane)可同时观察2个垂直正交的超声切面。采用X plane模式,以食管中段二尖瓣交界切面为主切面,通过改变取样线的位置,在相应的垂直切面上可对二尖瓣解剖结构进行从内侧到外侧的扫查(图2)。采用三维局部放大模式(3D ZOOM),可分别从二尖瓣的左心房面和左心室面同时观察二尖瓣环和瓣叶的所有区域,有助于病变区域的准确定位(图3)。从左心房面观察有利于显示瓣膜的脱垂和连枷病变,从左心室面观察则有助于观察功能性MR患者二尖瓣瓣叶拴系的情况。在对反流束进行观察时,三维TEE血流图像能较准确地显示MR反流束的数目、起源位置以及宽度。尤其是采用透视心腔镜(TrueVue Glass)和彩色心腔镜(TrueVue color)成像,通过调节透明度和光源位置,可更好地识别反流束的来源和走行。

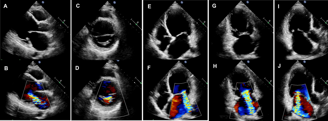
图1 经胸超声心动图常用于观察二尖瓣的切面
A、B 胸骨旁长轴切面及彩色血流图;C、D 胸骨旁二尖瓣水平短轴切面及彩色血流图;E、F 心尖四腔心切面及彩色血流图;G、H 心尖两腔心切面及彩色血流图;I、J 心尖长轴切面及彩色血流图


图2 采用X plane模式对二尖瓣解剖结构进行从内侧到外侧的扫查
A.取样线位于1区,对应左心室长轴切面显示的瓣叶为A1和P1部分;B.取样线位于2区,对应左心室长轴切面显示的瓣叶为A2和P2部分;C.取样线位于3区,对应左心室长轴切面显示的瓣叶为A3和P3部分。

图3 三维局部放大模式观察二尖瓣病变
A.二尖瓣左心房面观显示前瓣P2区脱垂(箭头);B.二尖瓣左心房面观显示C1区腱索断裂伴脱垂(箭头)。AO:主动脉;LAA:左心耳
评估MR病因及发病机制
MR的病因分为原发性和继发性。
-
原发性MR系二尖瓣本身结构异常所致,主要包括二尖瓣退行性疾病(二尖瓣脱垂或连枷样改变)、风湿性二尖瓣病变、二尖瓣叶裂、感染性心内膜炎等。
-
继发性MR又称功能性MR,二尖瓣结构正常,MR继发于左心室扩大及左心室收缩功能减低(室性功能性MR,多见于扩张型心肌病或缺血性心肌病患者)或左心房明显增大(房性功能性MR,多见于慢性心房颤动患者)。
Carpentier根据二尖瓣叶活动度将二尖瓣疾病的发病机制分为三型:
-
Ⅰ型(瓣叶活动正常)
-
Ⅱ型(瓣叶活动过度)
-
Ⅲ型(瓣叶活动受限)
Ⅲa型(收缩期及舒张期瓣叶活动均受限)
Ⅲb型(仅收缩期瓣叶活动受限)。
Carpentier Ⅰ型中由于二尖瓣环扩张所致MR(房性功能性MR)和Ⅲb型(室性功能性MR)为继发性MR,其余类型均为原发性MR。部分MR患者存在上述2种或2种以上类型的病因和发病机制,这种情况称之为混合性MR。
明确MR的病因及发病机制对于MR患者治疗策略的制定至关重要。
评估MR严重程度
美国超声心动图学会(ASE)指南推荐将MR严重程度按照由轻到重的顺序分为轻度(1+)、中度(2+)、中-重度(3+)、重度(4+)。MR严重程度的判断需要结合包括特异性指标和定量指标在内的多个超声指标进行综合评估。
包括是否观察到二尖瓣连枷样运动、反流束的缩流颈宽度或缩流颈面积、血流汇聚区半径、反流束面积占左心房面积之比、是否存在肺静脉收缩期逆向血流、左心室大小及收缩功能等;
包括有效反流口面积、反流容积和反流分数等。由于MR严重程度受血流动力学变化的影响,评估时应考虑患者的血压状况、是否急性MR,反流时长及其动态变化等因素的影响。
一般采用TTE评估患者的MR严重程度。在TTE评估的基础上,TEE可进一步确认TTE评估结果,并提供更详细的指标。尤其对于偏心性反流以及反流口形状不规则或存在多束反流的患者,TTE容易低估其MR严重程度,而TEE可获取反流束的三维彩色图像并应用多平面重建功能直接测量反流口的缩流颈面积,从而更加准确地评价此类患者的MR程度(图4)。


图4 三维多平面重建测量二尖瓣反流缩流颈面积
总结
超声心动图可对二尖瓣装置的解剖结构、MR病因及发病机制、反流严重程度等情况进行评估。评估时应注意选择适当的超声检查模式,采用多个切面和多个指标进行观察和分析,并结合患者的临床状况进行综合判断。
-END-
声明:本文转载于<中国医学论坛报今日循环>,仅用于学习交流,版权归原作者所有。如有侵权违规,请立即联系我们。









