生物导向性预备技术(biologically oriented preparation technique,BOPT)自2008年由意大利学者Ignazio Loi提出,并于2013年发表文献报道,是以牙体缺损的美学与功能修复为目的、以无肩台牙体预备和龈沟内上皮预备为基础,通过调整临时修复体的对应牙龈部分塑形软组织并将此形态精确复制到永久修复体之上,以达到符合生物学原则的固定修复技术。
BOPT由一系列程序组成,包括牙齿和牙周组织的垂直预备以及临时修复体的即刻戴入。BOPT的垂直预备阶段,旋转器械(车针)与牙齿表面和牙周附着物的上皮和/或结缔成分相互作用,减少牙冠的凸度的同时,也使沟状上皮和结合上皮规则化。旋转器械造成的出血会产生血凝块,会形成新生上皮组织。而临时修复体的作用是引导牙周组织的愈合、重置和增厚。一旦临时修复体戴入,血凝块与临时修复体的解剖边缘接触,周围的软组织即调整其形状和位置,形成新的水门汀修复体外形,从而在牙龈退缩最小的情况下获得表型改变。
在文献中,有两种牙体预备方式是众所周知的。第一种是水平预备,有明确的完成线,然后复制到印模和工作模型中。第二种类型是没有边缘线的预备,也称为垂直预备或羽状边缘(图1-3)。对于垂直预备,边缘由技工根据牙龈组织信息确定。垂直预备提供了一个保守的替代方案,即终点线由一个区域而不是一条水平线来表示。

图1. 水平预备和垂直预备的区别示意图

图2. 三种不同预备方式,BOPT消除了CEJ

图3A.有明确终止线的牙备

图3B. BOPT预备为终止区域
适应症
1. 有软组织塑形需求,出于美学原因等需要采用龈下边缘形式的修复治疗,牙龈生物型为厚龈型和薄龈型均可,修复体边缘一般位于龈下0.5-1mm。对于薄龈型的病例,临床报道BOPT也能增加牙龈厚度,提高龈缘的稳定性。
2. 在美学区接受过固定义齿修复(单冠或固定局部义齿 )的患者,原修复体因生物学、美学或其他类型的问题而需要更换。
3. 对于牙周病引起牙周组织退缩的患牙,其无法满足水平型边缘的预备要求或者为了达到水平型边缘需磨削大量的牙体组织,此时临床牙冠与解剖牙冠不吻合,在这种情况下,牙冠的边缘位于牙根区域。此时BOPT既能通过垂直型边缘减少牙体组织的磨削,又能通过重建CEJ轮廓,为牙周组织提供有力的支撑。
4. 适用于有相应需求的种植病例。
禁忌症
1. 尽管有文献研究BOPT可增加牙龈厚度,但大多研究病例纳入时即为厚龈型,而薄龈型的病例文献报道较少,此时应慎重使用BOPT。
2. 另外如果临床牙冠和解剖牙冠一致,牙周健康状况良好,则首选水平预备。修复边缘位于釉牙骨质界(CEJ)附近。
生物学优势:
增加牙龈厚度。
增加龈缘的长期稳定性。
重塑萌出外形使龈缘与冠适应。
Cristian Abad-Coronel等学者所著系统综述得出以下结论:1.使用BOPT概念进行的固定修复治疗在5年的随访中没有临床探诊深度(probing depth)的增加,并且显示出中等牙龈炎症指数(gingival inflammation index)率,较低的牙龈退缩(gingival recession)率(牙龈稳定性降低),以及较低的机械失败(mechanical failures)和生物失败(biological failure)。2. BOPT 的临床证据不足以得出明确的结论,但似乎很有希望,其 5 年的结果与传统制备技术相当。
临床优势:
在未预备的牙齿上消除解剖学上的牙本质-釉质交界处(CEJ),在已预备的牙齿上消除原有终点线。
在不影响修复体的边缘适应性的前提下,可以将终点线定位在龈沟内的不同水平,可以是更冠向,也可以是更根向。
可以调节牙冠的外形,以创造理想的牙龈美学结构(适应性形态和外形)。通过这种方式,可以创建一个新的修复体牙龈-牙釉质连接点(PCEJ)。
保存牙齿结构。
操作简单快捷。
易于重新粘接和修复临时牙冠。
临时修复体的即刻戴入和修形是这项技术的基础。组织稳定后,制取最终印模,并塑造最终修复体的外形。而修复体外形的任何改变都可能改变预备牙齿的龈缘位置和牙周状态,所以同样重要的是,能够准确地将临时修复阶段产生的牙龈环境转移到最终修复体的终点线位置和临时修复体的出龈形态上。
制作石膏模型和诊断蜡型
1初诊,制备诊断印模
2模型上去除水平终点线,重新制作蜡型
3BOPT牙备,刮除水平终点线,同时完成牙龈刮
手术开始前(图4),先用牙周探针进行精确的龈沟内探测(map),以评估上皮附着的水平(图5)。


图5. 牙周探查
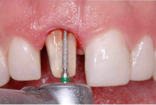
使用车针FG863G/012C和FG863M/012C (Sweden & Martina Inc)(图6a,b,)进行牙备。具体操作为第一步,车针尖端朝向牙面并与牙长轴成 10-15 度角的进入龈沟(距离 CEJ 根尖 1 毫米处),第二步改变车针倾斜度,使其与牙齿长轴平行,第三步,车针向切缘略微倾斜3-6度,以获得适当的轴向聚合度(图7)。
如基牙完整,则首先使用颗粒度为 100/120 微米的车针对基牙的龈外部分预备再行龈沟内预备(图8),消除牙体解剖中突出成分或任何原先存在的预备边缘,形成一个完成区域,牙冠边缘可以在该区域内冠状移动。预备的最后一步是用 20 微米的金刚砂车针修整整个表面,使其光滑(图9)。

图6a.FG863G/012C 图6b.FG863M/012C

图7. BOPT三步法
图8. 绿标车针牙备消除原有水平终止线

图9. 红标车针抛光
4制作临时冠,临时冠树脂材料需进入预备的龈下区域
在诊断蜡型的基础上,技师事先准备了一个临时冠,其外形与牙龈边缘一致。确认密合后(图10),在用甘油隔离基牙后,用冷固化偏丙烯酸酯树脂重新粘接牙冠(图11)。固化后,牙冠会清晰地显示出两个不同的边缘(图12):较薄的内缘是预备好的牙齿的沟内部分,而较厚的外缘则是牙龈边缘的外部部分(图13)。

图10. 临时冠就位

图11. 临时冠内部重衬

图12. 取下临时冠检查边缘细节

图13. 较薄的内侧壁和较厚的外侧壁
5根据计划的未来牙龈边缘位置,使用外部(牙龈内侧)和内部(预备体的轴壁)标志间产生的水平空间。两部分之间的空隙将用流体丙烯酸树脂或光固化可流动复合树脂填充,以增厚冠缘,形成牙冠外形(图14a-c)。

图14a. 内外侧壁之间区域用光固化流动树脂填充

图14b. 或用自凝塑料填充

图14c. 用锋利铅笔标记出内侧边缘
6调整终点线的垂直位置,确保不侵犯生物学宽度。去除多余的材料,将牙冠边缘与龈缘的冠外形连接起来(图15)。这样新的CEJ就形成了,CEJ位于龈沟内,深度不超过0.5到1毫米,完全遵循生物宽度(图16)。

图15. 去除多余的树脂部分,塑造牙龈边缘外形

图16. 抛光后的临时冠拥有新的萌出外形和CEJ
7临时冠完成后用水门汀粘固,软组织愈合即开始,此过程中如需进一步调整牙龈结构,则重塑临时冠外形。
软组织稳定后,制取最终印模
8使用双线排龈技术取模,制备耐火终印模,用以制作最终修复体出龈形态和终点线的转移
9制作最终模型α
10复制最终模型的耐火模为β,随后制作带有光固化复合树脂固位元件的定制印模托盘, 再用PVS重体固定β以便于操作(图17 )

图17. 临床和实验室阶段的软组织外形转移法
11制作好最终的耐火模α及其复制模β后,将临时冠与 β模相匹配
12取下临时冠,清洁内表面,戴入β,转移临时冠边缘即为终点线,用铅笔在石膏基牙上标记出,即最终冠的根方边缘
13在 β 模具上标出临时修复体终点线的位置后,将定制的印模盖放在 β 模上,并修整至与临时修复体的终点线一致(图18 )

图18. α模和带有固位元件的印模盖。调整临时牙冠,使之与 β 模吻合,并用铅笔标出完成线。将定制的印模盖修整至临时冠的终点线。

图19. 稳定β模,用牙龈色硅橡胶填充颈部。从临时冠获取的萌出外形
14将临时修复体安装固定到β模上,并利用种植体外形转移技术的改良方法获得临时修复体的水平尺寸(图19 )
15在牙颈部注入牙龈色PVS,向终点线冠方延伸几毫米并进一步向冠方延伸至估计的近中组织高度,从而转移周围牙龈结构
16获取临时修复体出龈形态的阴模,并将其嵌入β 模中,然后将临时修复体出龈外形复制到定制印模盖上,使其与最终模型相适应,并在空隙中填充流动性复合树脂(Tetric Evoflow; Ivoclar AG),该树脂将与印模盖融为一体(图20 )

图20. 将印模盖就位到β模,流动树脂填充临时冠产生的空隙,将萌出外形转移到印模上

图21. 牙备好的基牙上放置定制印模盖
使用定制印模托盘制作最终印模,并制作最终修复体
17用少量临时粘结剂将定制印模盖安装在牙备好的基牙上,并用双混合技术制取印模,技师再制作一个上颌模型,并将α与右上中切牙的定制印模盖相匹配(图21 )
18在上颌铸模上制作最终的修复体,然后完成修复(图22 )

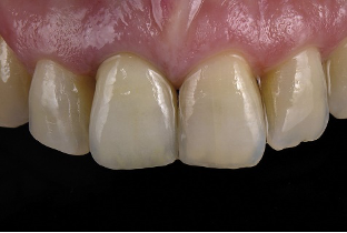
图22. 最终修复体氧化锆冠
1. 技术较为复杂,临床整体操作更耗时
2. 需要经验丰富的临床医生与技师
3. 粘接剂比较难去除
4. 已有研究中,BOPT的应用在中、短 期内的临床效果良好。长期的研究尚不够充足
5. 尚缺乏组织学或影像学证据的支持
病例展示

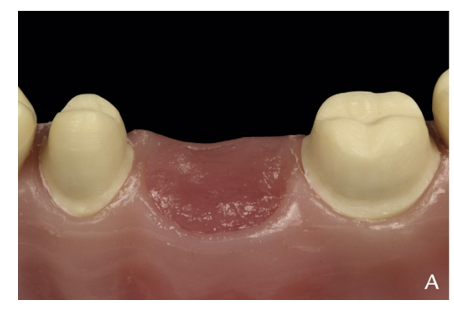
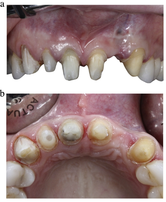
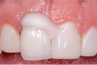
图23. 由于生物学和美学问题,需要更换修复体

图24. 原水平预备基牙的唇面与咬合面

图25. BOPT备牙后咬合面

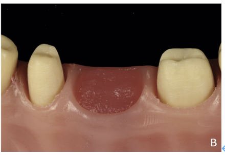
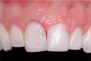
图26 a. 佩戴临时修复体8-12周,牙龈组织愈合 b. BOPT预备的龈沟 c. BOPT临时修复体萌出外形

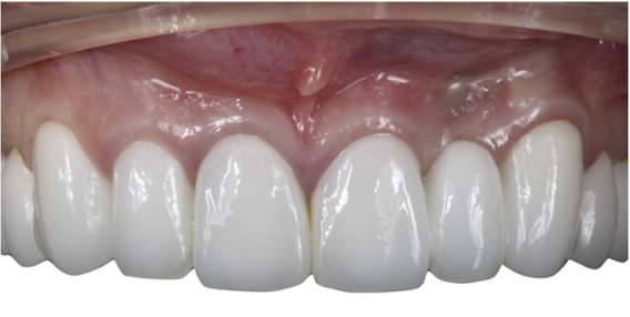
图27. 最终修复完成,修复体为LAVA氧化锆内冠+饰面瓷
-END-
声明:本文转载自<口腔学术在线>,仅用于学习交流,如有侵权,请立即联系我们处理。内容仅代表作者个人观点,望大家理性判断及应用。