病例
患者:詹先生,男,45岁。
主诉:左上颌后牙区缺牙伴骨量不足6月余,要求种植修复。
现病史:患者6月前因牙周炎拔除左上颌第一磨牙,现自觉咀嚼功能受限。外院CBCT示左上颌窦底骨高度不足(<2.5mm),今日来院要求种植修复。
既往史:患者体健,否认全身性系统疾病史及药物过敏史。
检查:患者左右面部对称,开口度、开口型正常,双侧颞下颌关节活动正常;口内查:26缺失,缺牙区牙槽嵴宽度10mm,角化龈充足,邻牙无松动,咬合关系正常。余无特殊。
辅助检查:CBCT示左上颌窦较为宽大,窦底剩余骨高度约2mm,窦黏膜厚度约1.5mm,窦腔未见液平面,上颌窦外侧壁骨板完整。
诊断:左上颌牙列缺损(26缺失)。
治疗计划:行左侧上颌窦侧壁开窗提升术(Lateral window sinus lift)+ 异体骨移植术。
手术记录:
局部聚维酮碘消毒,适量4%阿替卡因局部浸润麻醉。牙槽嵴顶偏颊侧行水平切口,附加垂直松弛切口;全厚瓣翻瓣暴露上颌窦外侧壁;利用登腾DASK上颌窦提升工具行椭圆形骨窗;精细剥离窦底黏膜并完整提升;植入0.75g去蛋白牛骨矿化基质(Bio-Oss);覆盖可吸收胶原膜(Bio-Gide);减张,间断缝合,术区加压包扎。
术中图片
术后当天影像学图片
(CT上看,因整体窦腔空间较为宽大,0.75g骨粉的植入面积稍欠)
术后处理:
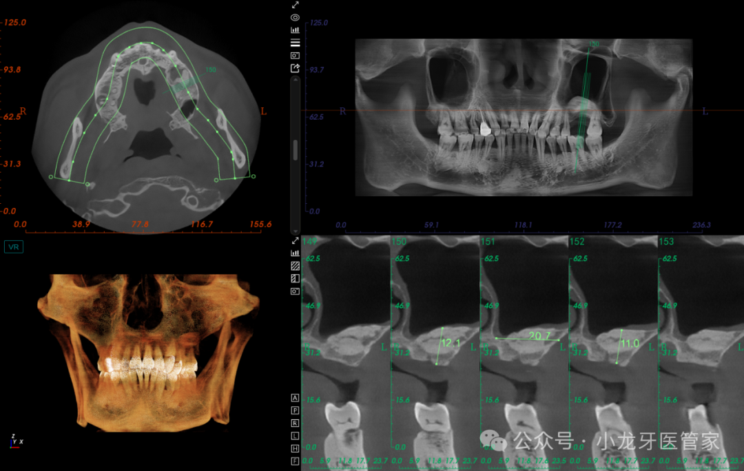
术后6个月影像学图片
(CT上再次的测量数据比之前要理想,成骨效果较好)
种植一期手术:
患者知情同意并签署《口腔种植修复知情同意书》。常规消毒铺巾,4%阿替卡因局部浸润麻醉,26缺牙区牙槽嵴顶作水平切口,全层切开粘骨膜,翻瓣,发现缺牙区骨面平坦,整体骨质较硬(III类骨),定位,先锋钻备洞至预定深度,扩孔钻逐级扩孔,制备种植体窝,置入ITIblt骨水平种植体,型号:4.8mm*10 mm,植入扭矩35N.cm,旋入覆盖螺丝。减张缝合。
术后影像学图片
术后随访:
术后一日回访,术区软组织轻微疼痛红肿,告知服用消炎消肿药物三天,配合做面部热敷。一周后回访,无不适感,计划于三个月后行种植上部修复。
上颌窦外提植骨术(Lateral Window Sinus Lift)是一种通过提升上颌窦底黏膜并在窦底与黏膜之间植入骨移植材料,以增加上颌后牙区骨高度的外科手术。该术式主要用于解决因上颌窦气化或牙槽骨吸收导致的垂直骨量不足问题,为后续种植体植入提供足够的骨支持。手术通常从颊侧骨壁开窗,剥离并上抬窦黏膜后,填入自体骨、异体骨或人工骨替代材料,最终实现骨增量。
适应症:
1. 上颌后牙缺失伴骨高度不足:剩余牙槽骨垂直高度<4mm,无法直接植入种植体。
2. 上颌窦过度气化:窦腔向下扩展导致可用骨量减少。
3. 骨吸收严重:长期缺牙或牙周病致牙槽嵴萎缩。
4. 种植修复需求:需通过骨增量恢复咬合功能及美学效果。
5. 局部无活动性感染或囊肿:需排除上颌窦炎、肿瘤等禁忌症。
总结:
该病例在植入物的选择上完全采用人工异体骨材料,并且植入体积量稍欠,好在结果达到预期效果,存在一定的侥幸,如果实现人工骨混合自体骨屑或制作CGF粘性骨块植入想必结果会更好。上颌窦外提植骨术是解决上颌后牙区骨量不足的核心技术,其成功依赖精准的术前规划、轻柔的黏膜处理及合理的骨移植策略。术后需严格管理以促进骨再生,最终实现种植体长期稳定。
-END-
声明:本文转载自<小龙牙医管家>,仅用于学习交流,如有侵权,请立即联系我们处理。内容仅代表作者个人观点,望大家理性判断及应用。









