导图概览
标题为 “The Trouser Technique: A Novel Approach for Peri-Implant Soft Tissue Augmentation ”的文章发表于 Journal of Clinical Medicine提出一种名为“裤子技术”的结缔组织移植方法,通过单次手术同步增加种植体周围的颊侧和龈乳头体积,并评估其有效性与术后发病率。
文章信息:
IF2.9 SCI:Q1
DOI:10.3390/jcm14144974
发表日期:2025-07-14
原文链接:
https://www.mdpi.com/2077-0383/14/14/4974
背景:种植体周围黏膜对美学和健康至关重要。软组织不足可能导致种植体周围炎、美学缺陷等问题。现有技术虽能改善软组织条件,但往往需多次手术才能同时恢复颊侧和邻间组织体积。
目标:提出一种名为“裤子技术”的结缔组织移植方法,通过单次手术同步增加种植体周围的颊侧和龈乳头体积,并评估其有效性与术后发病率。
纳入标准:
- 成年患者,需在前牙区单颗种植位点进行软组织增量;
- 邻牙牙周健康,骨量充足(CBCT评估);
- 软组织凹陷影响美学与清洁。
排除标准:
- 吸烟者;
- 需骨再生者;
- 有全身性疾病或服用影响牙龈的药物(如苯妥英);
- 无法签署知情同意书。
第一步:移植物的获取与制备
1. 供体部位选择:首选上颌结节区(Tuberosity),因为该区域组织较厚且致密。如果结节区不适用,则选择腭部获取去上皮的结缔组织移植物。
2. 获取移植物:获取一个厚度在1.5至3.0毫米之间的矩形结缔组织移植物。
3. 关键成形步骤(“裤子”形状的制作):
1、中央切口:在移植物的一端做一个中央切口,将移植物的一部分分割成两个“腿”(类似于裤子的两条裤腿)。这条切口决定了移植物的“腿”的长度。
2、45°侧方切口:在中央切口的两侧末端,各做一个小的45°斜行切口。这两个切口至关重要,它们能增加“裤腿”部分的灵活性,便于后续在隧道内穿行和就位。
Figure 1. The first image is the de-epithelialized tuberosity graft, the second shows the incisions that will be made (1: central incision, 2 and 3: small 45◦ incisions), and the third shows the incisions already made and the parts into which the graft is divided.
至此,移植物被分为一个完整的上部(颊侧部分) 和两个分开的下部(邻间部分或“裤腿”)。
第二步:受体部位的准备(隧道制备)
受体部位的准备完全通过隧道技术完成,避免对龈乳头做直接切口,以最大限度地保护血供和减少组织收缩。
1. 颊侧隧道:在缺牙区的颊侧黏膜下进行半厚层剥离,向近远中延伸至邻牙,并向颊沟方向剥离,切断肌肉纤维以释放张力。
2. 邻间隧道:
* 在邻牙的龈沟内做切口。
* 通过种植体窝洞:将手术刀(眼科手术刀)通过已备好的种植体窝洞,在龈乳头下约1.5-2毫米的深度向邻牙方向潜行剥离,直至刀尖接触到邻牙牙面。此操作将颊侧隧道与各个邻间区域连接起来。
3. 腭侧隧道:从缺牙区的近中至远中,在腭侧进行隧道剥离,以松动龈乳头,为移植物的“裤腿”提供空间并允许其被固定于腭侧。
第三步:移植物的放置与固定
这是技术中最精细的部分,顺序至关重要。
1. 先固定“裤腿”:首先将移植物的两个“裤腿”分别插入并穿过制备好的邻间隧道,引至腭侧。
* 使用6-0不可吸收缝线(聚偏二氟乙烯线)在近中-腭侧和远中-腭侧进行固定。
* 此时先不打结,以便后续调整移植物位置。
Figure 2. Graft positioning diagram illustrating the position of the graft of the graft in the recipient site. Number s 1, 2 and 3 are the incisions.
2. 放置愈合基台或临时牙冠:旋入愈合基台或临时牙冠。其穿龈轮廓应尽可能窄且凹,以容纳移植物并为愈合留出空间。
3. 就位与打结:再次旋下基台或牙冠,检查移植物是否被妥善就位。如有需要,用探针进行调整。然后拉紧腭侧的缝线,优化移植物在邻间区域的体积增益,然后打结固定。
4. 放置颊侧部分:将移植物的上部(颊侧部分)插入颊侧隧道内。
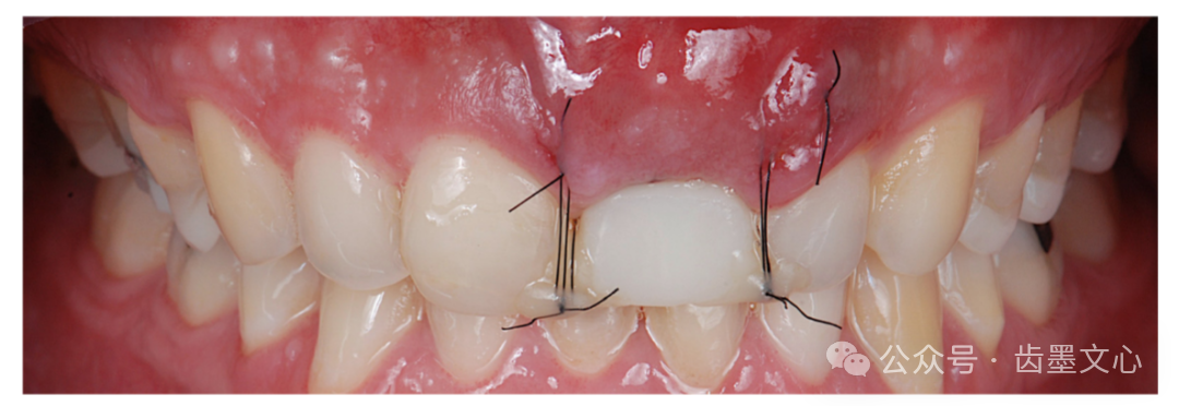
5. 冠向牵引缝合:最后,使用6-0缝线在冠方进行一针轻柔的牵引缝合,以稳定移植物。需避免过度拉紧,以防止缺血性坏死。
Figure 3. Graft inserted with the palatine sutures untied.
Figure 4. Graft inserted with the palatine sutures untied.
通过以上步骤,“裤子技术”利用其独特的设计,将单一移植物同时用于修复颊侧和两个龈乳头的缺损,实现了三维方向的软组织增量,且因其微创的隧道技术而显著降低了术后发病率和组织收缩。
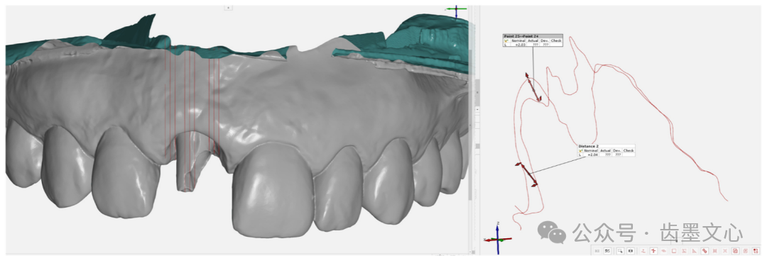
术前术后数字化比较
Figure 5. Perpendicular sections and measurement of soft tissue increment.
优势
- 有效性:术后6个月,所有位点均显示显著软组织增益(冠方平均2.74mm,颊侧平均2.79mm,p<0.001)(图6)。
- 低发病率:患者问卷显示术后不适轻微(平均总分12.7/40),无严重并发症。
- 局限性:样本量小(n=10),缺乏对照组,需长期研究验证。
Figure 6. Graph illustrating tissue gain in coronal and vestibular areas.
技术优势:单次手术同步恢复颊侧与龈乳头体积,减少组织收缩与术后不适
适用场景:尤其适用于前牙区美学要求高的种植病例,提升长期稳定性与患者满意度。
Figure 7.Occlusal view pre- and 6 months post-graft.
声明:本文转载于<齿墨文心>,仅用于学习交流,如有违规侵权,请立即联系我们。内容仅代表作者个人观点,望大家理性判断及应用。









