以下10个简单的问题只是我们需要回答的其中一部分问题。尽管在根管再治疗中不存在绝对的“真理”,但是以下每个问题的答案都必须基于坚实的循证依据。医生们需要了解以下内容,并在临床实践中认真解读,这是任何一种牙科治疗方法行之有效的关键因素。
1、如何评估根管治疗成败的时机?
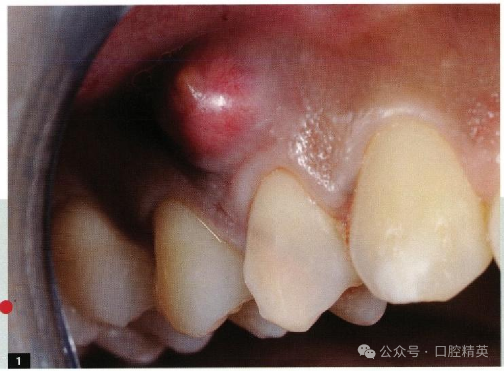
图:1疼痛肿胀是牙髓源性根尖周病变的典型临床症状之 一。
2、如何通过影像学检查确定根管治疗失败?
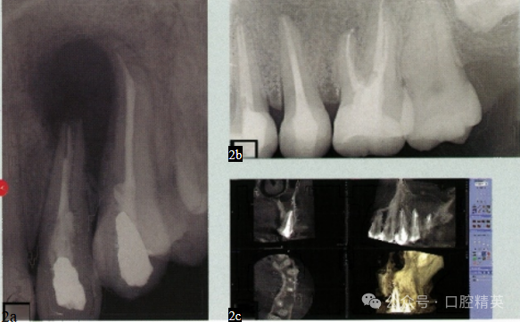
图:2a X 线片上存在根尖周低 密度影,这是根管感染的典型 表现。
图:2b 根尖周低密度影像模糊 不清,二维X线片不能准确反 映根尖周病变的范围。
图:2c 三维影像学检查(CBCT)可以确定根尖周病变的范围。
3、非手术再治疗是根管治疗失败病例的唯 一 治疗手段吗(拔牙种植以 及 根 管 外 科 手 术 的 适 应 证 ) ?
图:3a 根管外科手术是根管再 治疗有效的替代手段。
图:3b 拔牙种植应选择恰当的时机,避免丧失大量骨质,影响种植体的植入。
4、什么是根管再治疗中最佳的根管冲洗方案?
图:4 使用恰当的冲洗液以及 有效的荡洗技术,可以取得理 想的根管冲洗效果。
5、什么是根管再治疗中最佳的根管充填技术?
图:5a,b 掌握不同的根管充 填技术,以取得理想的短期和长期效果。
6、什么时间能确定牙髓源性根尖周病变正在愈合?
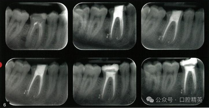
图:6 牙髓源性根尖周病变的 愈合时间存在显著差异,因此 必须长期随访。
7、根管再治疗中,是否必须去除冠方修复体?
图:7a,b 保留修复体有助于 在早期阶段评估治疗预后。
8、采用何种技术去除根管充填物?
图:8a~c 去除根管内所有充填 物是根管再治疗的重要步骤之 一。一些新型器械和技术手段 有助于完成这一关键环节。
9、一次约诊还是多次约诊完成根管再治疗?
10、如何修复再治疗患牙?
图:10a~c 根管治疗后牙齿的 修复方案既要方便再治疗,又 要满足功能和美观需求。
-END-
声明:本文来源<口腔精英>,仅用于学习交流,如有侵权,请立即联系我们处理。内容仅代表作者个人观点,望大家理性判断及应用。









