有朋友说,备牙像老鼠啃的似的,总是要调咬合、邻面,甚至是内冠,还有经常遇到全瓷牙碎裂的情况。
尽管大家越来越喜欢做嵌体修复,但对于一些病例,还是只能选择全冠。基础的东西是不会退出舞台的。
下面总结一个全冠预备的方法,简单上手,基本上3根车针能搞定,也比较高效。
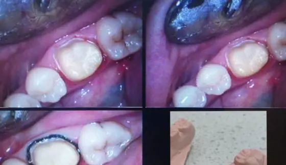
右上第一磨牙 石膏模型
个人认为,后牙全冠,如果龈合高度合适,做龈上肩台或者齐龈肩台比较好。全瓷牙,最好是轴颈线角圆钝的水平直角肩台。这样能保证全瓷牙牙冠边缘的强度。
那么第一步,金刚砂球钻BR-31 预备颊舌(腭)侧,颈缘处定深。肩台初成型。
大球钻在龈缘稍上位置,平行龈缘做一条定深沟,颊舌侧各一条。如上图。
第二步,金刚砂车针TF-14,是一根又大又粗的金刚砂车针。为了避免边缘飞边,车针的直径最好大于肩台的直径,那么TF-14是不错的选择。颊侧3条,舌侧3条,6条定深预备沟不用多,不可少。最后,按照牙体形态,连接定深沟。如上图。
第三步,TF-14,由近远中边缘嵴,预备车针针道,预备完顺势预备邻面,这样能防止损伤邻牙。制作针道如上图,不需很深。
第四步,四周初成型。注意聚合度。聚合度都在手上,车针角度控制好,聚合度不是问题。
第五步,TF-14 合面重要窝沟定深。
第六步,合面预备完成,肩台修整,抛光成型。抛光用TR-13EF。有釉质凿的可以用来修整边缘飞边。
离体牙预备效果
口内效果,舌侧由于牙周出血,肩台不清晰
三根车针,六步完成。一个有肩台,有聚合度,有合面的基牙就预备完成了。
-END-
声明:本文转载自<KQ88口腔医学网>,仅用于学习交流,如有侵权,请立即联系我们处理。内容仅代表作者个人观点,望大家理性判断及应用。









