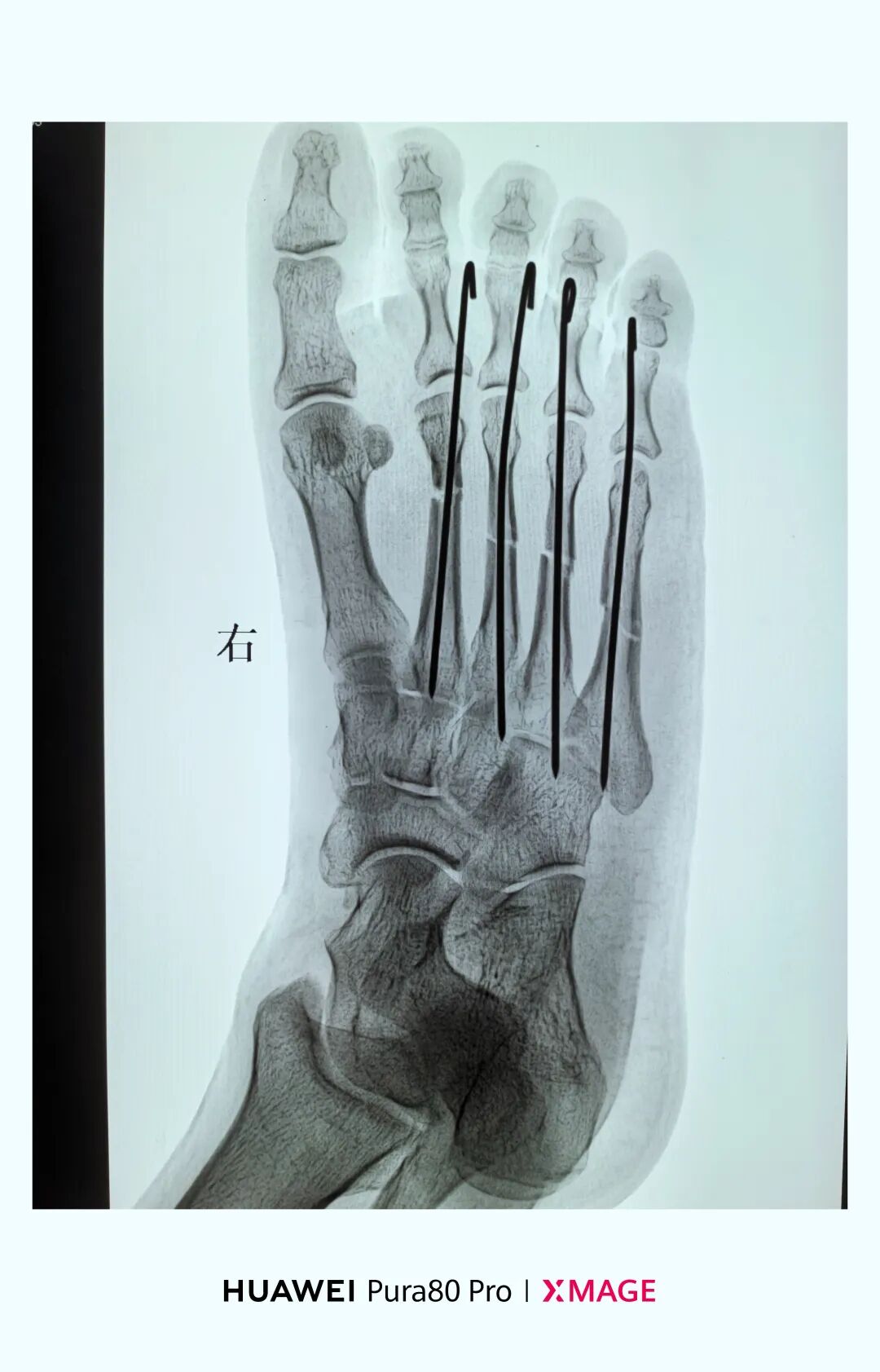
跖骨骨折常伴严重软组织损伤,治疗需兼顾骨性稳定与软组织保护。逆行髓内克氏针技术以微创方式实现有效内固定,尤其适用于多发骨折、开放损伤或软组织条件差的患者。其操作简便、血运破坏少,在损伤控制中展现独特优势。本文通过四例典型病例,探讨该技术在闭合性、开放性及严重毁损伤中的临床应用价值。
闭合性2-5跖骨骨折
逆行髓内针
-END-
声明:本文转载自<骨外狂徒张三>,版权归原作者所有,仅用于学习交流,如有侵权请联系删除
2025
作者
骨外狂徒张三
跖骨骨折常伴严重软组织损伤,治疗需兼顾骨性稳定与软组织保护。逆行髓内克氏针技术以微创方式实现有效内固定,尤其适用于多发骨折、开放损伤或软组织条件差的患者。其操作简便、血运破坏少,在损伤控制中展现独特优势。本文通过四例典型病例,探讨该技术在闭合性、开放性及严重毁损伤中的临床应用价值。
闭合性2-5跖骨骨折
逆行髓内针
-END-
声明:本文转载自<骨外狂徒张三>,版权归原作者所有,仅用于学习交流,如有侵权请联系删除