髓室穿孔
是根管治疗的主要并发症之一,被认为是根管治疗失败的第二大原因。穿孔多为医源性,可导致慢性炎症反应,表现为肉芽组织形成、骨组织破坏及牙齿丧失。
这些缺损应通过手术或非手术方法使用生物相容性材料(如水硬性硅酸钙水泥,如MTA/生物陶瓷)进行修复。本病例报告展示了使用MTA及根尖周基质修复髓室底穿孔缺损并促进牙周组织再生的过程。
挑战性病例与穿孔修复
难以预测的根管/髓室底穿孔病例常导致较高的临床失败率。穿孔缺损的预后主要取决于风险因素,如穿孔的大小、时间、位置以及所用材料的封闭能力和生物相容性。如今,新技术和生物相容性材料被用于穿孔修复,MTA因其生物相容性、良好的组织反应、在潮湿/血液环境中的优异封闭性以及高pH值(12.5)促进牙骨质生长和牙周韧带再生的特性,已被广泛应用并取得良好治疗效果。MTA的主要成分为钙离子和磷酸根离子,这些也是牙体硬组织的主要成分,与牙齿结构的化学组成相似。MTA和生物陶瓷释放钙离子的能力及其形成羟基磷灰石的能力被认为是其封闭性、生物相容性和牙本质生成活性的关键因素。MTA/生物陶瓷的生物相容性、诱导骨生成和牙骨质生成的倾向使其成为修复根管穿孔的理想材料,从而实现牙周附着的再生。
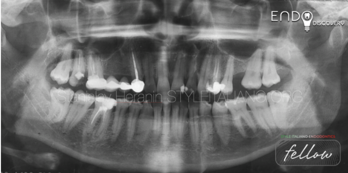
上图1:一名32岁患者因需根管再治疗转诊至我科
患者自述既往有多次根管治疗史。46牙存在旧的MOD复合树脂充填体破损。颊侧可见瘘管。诊断性X线片显示46牙根尖及根分叉区域透射影(怀疑穿孔)。叩诊无痛,牙周探诊在正常范围内。治疗计划为使用MTA进行非手术根管再治疗并修复穿孔。
初诊影像:全景X线片转诊患者:V.,32岁,女性诊断:46慢性根尖周炎根分叉穿孔 瘘管
根管充填:MB/L根管采用连续波加压充填
X线片检查
远中根管:MTA封闭
X线片检查
髓室穿孔的挑战与风险因素
根管或髓腔底部不可预测的穿孔,往往导致较高的临床失败率。穿孔缺损的预后受多种风险因素影响,包括:
MTA在穿孔修复中的应用优势
随着新技术的发展和生物相容性材料的应用,MTA(矿物三氧化物凝胶)已被广泛用于穿孔修复,并取得了良好的临床效果,主要得益于以下特性:
MTA与生物陶瓷的生物学特性
临床意义
在面对复杂穿孔病例时,合理选择高生物相容性的修复材料,如MTA或生物陶瓷,不仅有助于修复缺损,还能促进牙周组织的再生,从而提升治疗的成功率和长期预后。
临床小贴士
-END-
声明:本文转载自<牙医帮>,仅用于学习交流,如有侵权,请立即联系我们处理。内容仅代表作者个人观点,望大家理性判断及应用。









