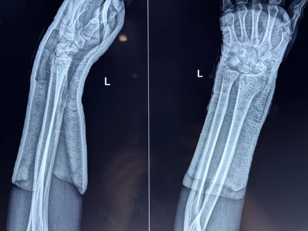
桡骨远端膨大,横断面略呈长方形,主要由松质骨组成,上端与桡骨干坚质骨相连,力学上是一个弱点,故此处易骨折。
桡骨远端有掌、背、尺和桡侧四个面,
掌面较平,有旋前方肌附丽。
背面稍隆有四个伸肌腱沟。
桡骨茎突较尺骨茎突长约1~1.5cm,故桡骨远端关节面向尺侧倾斜15°~30°(平均 23°),还向掌倾斜 0°~23°(平均 11°)
桡骨远端关节面的倾斜角度 :
正常桡骨远端关节面向掌侧倾斜0°~23°平均11°
正常桡骨远端关节面向尺侧倾斜15°~30°,平均23°( 桡骨远端骨折后,其关节面的倾斜度改变)
对绝大多数新鲜桡骨远端骨折,国内外均采用手法复位、外固定(石膏、夹板、功能支架等)方法进行治疗 手术疗法只适用于极少数严重挤压并短缩畸形。
复位手法:
牵抖复位法:术者两手紧握手掌,两拇指并列放于远折段背侧,其它四指量于腕掌部,扣紧大小鱼际部,顺原移 位 方 向 持续牵引,助手握住上臂近肘部,作反牵引,术者一边牵引,一边轻轻上下摇摆,听到骨擦音时 即说明嵌插已分开。
⼀ 般 ⻣ 折远 端 稍 旋 前 , 牵 引 过 程 中 可 稍 旋 后 , ⽽ 后 持 续 牵 引 下 , 顺 纵 轴 ⽅ 向 骤 然 猛 抖 , 同 时 迅 速 尺 偏 掌屈 , ⻣ 折 即 可 复 位 , 但 切 忌 旋 转 ( 尺 偏 时 易 旋 前 ) 。
舒 筋 : 上 述 两 种 ⼿ 法 复 位 完 成 后 , ⻣ 折 移 位 完 全 矫 正 , 腕 外 畸 形 也 已 恢 复 。 可 进 ⾏ 舒 筋 ⼿ 法 , 此 时 术 者 ⽤ ⼀ ⼿ 抵 握 住 ⼿ 脱 保 持 复 位 , 另 ⼀ ⼿ 拇 指 沿 屈 伸 肌 矮 ⾏ ⾛ ⽅ 向 由 近 向 远 端 推按 , 舒 顺 筋 腱 , 使 之 恢 复 正 常 位 置 。
复查与注意事项:
1. 首次复查时间:复位后 3-7天(肿胀消退后)。 检查项目: X线片确认骨折对位情况(是否存在再移位)。 评估石膏松紧度(过紧可能压迫神经血管,过松易移位)。 观察手指颜色、温度、活动度(排查腕管综合征或血液循环障碍)。
3. 愈合期复查时间:复位后 6周(儿童可能缩短至4周,老年人或骨质疏松者延长)。 检查项目: X线评估骨痂形成情况,决定是否拆除外固定。 拆除石膏后检查腕关节活动度,必要时转康复科。
日常注意事项
1.固定护理保持石膏或支具干燥、清洁,避免负重或剧烈活动。 抬高患肢(高于心脏水平)减轻肿胀,尤其是复位后前48小时。 禁止自行拆除固定装置。
2.功能锻炼早期(复位后1-2周): 主动活动手指、肘关节和肩关节(预防僵硬和血栓)。 中期(4周左右): 在医生指导下尝试轻柔的腕关节屈伸(如无移位)。 后期(6周拆除固定后): 逐步进行腕关节力量训练(握力球、阻力带),避免暴力拉伸。
康复时间表参考表
注:文章部分来源:《中国接骨学》
-END-
声明:本文转载自<中汉骨医传承录>,版权归原作者所有,仅用于学习交流,如有侵权请联系删除