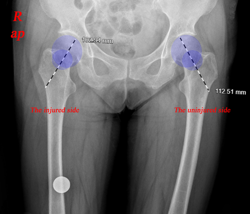
股骨颈骨折占髋部骨折的50%,其中股骨头后倾或不后倾的外展嵌插型在临床实践中非常常见,可能会导致股骨颈缩短(FNS)和股骨头坏死(AVN)。
   
   通常来说,临床会使用原位三枚平行空心钉内固定进行治疗。随着研究不断深入,发现了一种“In-Out-In”技术可以更加安全有效地实现良好的骨愈合和功能恢复。
   
  
 
髋部骨折主要发生在老年患者中,约占所有成人骨折的12%。股骨颈骨折占所有髋部骨折的50%,其中32%–38%为未移位型骨折,15%–20%为外展嵌插型股骨颈骨折。
 尽管外展嵌插型股骨颈骨折的预后优于移位型股骨颈骨折,但先前的研究报告指出,外展嵌插角度大于15°时,股骨头坏死(AVN)和股骨颈缩短(FNS)的发生率较高。
 一些研究证实,股骨颈缩短可能导致外展肌力量显著减弱和前髋臼撞击,进而导致进行性髋关节病变。另一项研究比较了外翻嵌插型股骨颈骨折复位后的固定与原位固定的效果,结果表明前者在促进骨愈合和恢复股骨颈长度方面安全有效,且股骨颈缩短超过5毫米的风险显著降低,功能结果更佳。
 此外,外展嵌插型股骨颈骨折常伴有不同程度的后倾畸形。初始外翻角度和后倾角度大于15°的患者股骨头坏死和固定失败的风险较高。因此,在手术干预中,对外展嵌插型股骨颈骨折,特别是伴有严重后倾的骨折进行复位至关重要。
 目前已有几种关于外翻嵌插型股骨颈骨折的闭合复位技术:
 - 
  
   Park等人使用Schanz钉作为手动牵引工具进行复位。手术中,将Schanz钉横向插入股骨粗隆中段,从外侧施加手动牵引,通过T形手柄的万向卡盘在透视下操作,直至达到满意的复位效果。
  
- 
  
   Zhu等人通过从髋部前侧和外侧交叉插入两根克氏针将股骨头固定到髋臼。在术中透视监测下,受伤肢体逐渐内收、内旋,并在牵引台上与骨折移位方向相反方向牵拉复位。
  
- 
  
   Yu等人报道了一种用于难复位股骨颈骨折的三维交互复位技术,两根克氏针插入股骨颈前部以控制股骨头的旋转,同时由手术助手手动牵引骨折远端进行复位。然而,这些技术可能需要更多的手术助手和丰富的经验,且后倾角度的复位无法完全控制。
  
在临床实践中,单独使用牵引台的牵引技术通常难以实现嵌插骨折及后倾位移的复位。上述闭合复位技术可能实现满意的复位,但需要更高的手术技巧和更多的助手。因此,本研究描述了一种经皮复位技术,使用一根斯氏针在外展嵌插型股骨颈骨折的手术治疗中实现股骨颈的解剖复位,不论是否伴有后倾。
 纳入标准:(i) 患者患有外翻嵌插型股骨颈骨折,伴或不伴有后倾;(ii) 患者能耐受手术并同意接受“内-外-内”经皮复位技术的手术治疗。
 排除标准:(i) 患者年龄大于65岁或患有严重骨质疏松,更适合接受关节置换术;(ii) 患者曾接受过同侧髋部周围骨折的手术,影响了手术方案;(iii) 患者在24个月内失访。
 在这项回顾性研究中,2017年5月至2020年7月期间,在中国的一家三级医疗中心,接受“内-外-内”经皮复位技术和内固定手术的外展嵌插型股骨颈骨折患者被纳入经皮复位组。本研究已获得宁波第六医院医学伦理委员会批准(X2022059),所有患者在参与研究前均签署了知情同意书。术前,每位患者均通过标准放射学检查和重建CT进行了常规检查。最终,共有24名患者(7名男性,17名女性)在经皮复位组完成了研究并被纳入最终结果分析。此外,另有24例外展嵌插型股骨颈骨折患者接受了原位固定手术,作为对照组用于功能比较。所有手术均由一名拥有超过15年股骨颈骨折手术经验的外科医生完成,手术植入物由单一设备制造商提供(AO/Synthes Group Co., Ltd., USA)。术后评估由两名外科医生完成。
 麻醉和体位:在全身气管插管麻醉或脊椎麻醉后,将患者仰卧于骨科牵引床上,双下肢交叉放置(健侧髋关节屈曲并相对于受伤侧外展)。
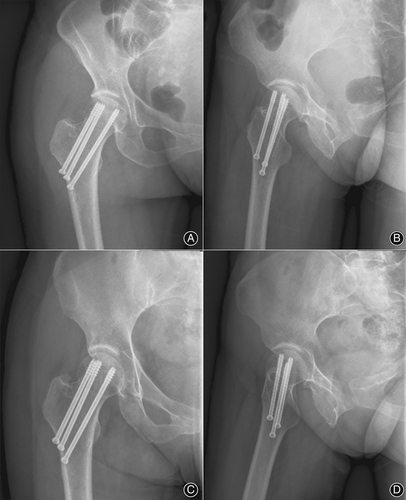
 闭合复位和内固定:尝试通过骨科牵引床进行闭合复位。使用透视设备从两个平面确认骨折的角度。如果患者的股骨颈呈现外翻嵌插状态或后倾,通过内旋和内收患肢来矫正畸形。在原位固定组中,使用了三枚7.3毫米部分螺纹空心螺钉。
 接下来,对残留的移位应用“内-外-内”经皮复位技术。在术中透视的帮助下,将带螺纹的斯氏针经皮钻入,通过股骨大粗隆上三分之一至股骨头。
 在无股骨头后倾的外展嵌插型股骨颈骨折患者中,斯氏针的针尖将定位在股骨头中心;如果存在后倾,则斯氏针将从后方插入,向前倾斜至股骨头后部三分之一处。在透视下确认斯氏针的位置满意后,轻轻敲击针的末端,在透视监测下实现解剖复位。所有患者均通过经皮平行空心螺钉三角形配置固定。
 三枚空心螺钉分别置于股骨颈的前上、后上和下中部,并进一步穿过骨折线,距离软骨下骨小于5毫米。下方螺钉会适当压紧,另两枚螺钉则作为定位螺钉而不施加压力。
 术后当天给予头孢呋辛进行抗生素预防。术后住院期间使用低分子肝素进行抗凝治疗,出院后继续使用利伐沙班14天。目标是在术后第一天在物理治疗师的监督下使所有患者开始活动。下肢,包括髋关节、膝关节和踝关节,可在床上于矢状面进行屈伸活动。在术后第3至第4天,患者的患肢可以在不负重的情况下被协助下地。直到通过CT扫描确认骨折愈合前,患者仅允许部分负重。一般来说,大多数患者可在术后6个月内完全负重。接下来的6个月内,在物理治疗师的帮助下,患者可以进行肌肉强化训练,如深蹲、弓步或提踵等运动。
 在术后随访中,所有患者均在24小时内通过X光和CT扫描进行评估。两名外科医生在术后24小时、6个月及2年内评估股骨颈骨折的复位质量,包括颈干角、后倾角以及股骨颈缩短量。出院后,要求患者定期前往门诊进行影像检查和功能评估(Harris髋关节评分,HHS)。此外,通过X光片和症状识别并发症,如固定失败、不愈合及股骨头坏死,直至最终随访。
 共有24名患者在我们机构接受了使用“In-Out-In”经皮复位技术的手术。一组接受原位固定的患者也被纳入研究,以进行功能比较。
 我们的最短随访期为2年(24-42个月)。记录并比较两组患者的术前数据,包括年龄、性别、受累侧、骨折类型和病史(表1)。两组术前人口统计学特征无显著差异(p>0.05)。
 在经皮复位组中,测量并分析了股骨颈骨折复位质量的放射学参数。术前病例和术后即刻病例的椎弓根角、后倾角和FNS数量存在显著差异(p<0.05)。然而,不同时间点(术后24小时、6个月和2年内)的术后病例测量值没有统计学差异(p>0.05)。
 所有患者术后2年内均实现骨愈合,无骨不连。在经皮复位组中,一名患者在术后2年发生AVN,其他患者在最后一次随访时没有AVN。一名患者因螺钉退回而发生固定失败,但最终实现了骨愈合。在原位固定组中,两名患者在最后一次随访时出现AVN。因此,3名AVN患者被排除在功能结果分析之外,45名患者被纳入功能分析。在通过kappa分析评估髋关节功能结果时,一致性系数达到0.814。实践证明,评价结果具有较高的可信度。经皮组术后6、12和24个月的平均HHS均优于原位固定组。
 根据影像学结果,“内-外-内”经皮复位技术在减少股骨颈缩短和后倾的情况下能够安全且有效地实现骨折的满意复位。通过Harris髋关节评分和术后并发症评估临床效果,虽然两组的并发症发生率相似,但经皮复位组的功能结果更好。
 外翻嵌插型股骨颈骨折临床上被认为是稳定骨折的一种。传统观点认为,治疗该类型骨折的首选方法是使用平行空心螺钉进行原位内固定。过度的复位可能导致不稳定和内固定失败。然而,越来越多的研究报告指出,严重的外翻嵌插畸形与较高的并发症发生率有关,如缺血性坏死和功能受限。此外,股骨头后倾,通常伴随外翻嵌插型股骨颈骨折,是导致不良结果的另一个高风险因素。因此,在治疗外翻嵌插型股骨颈骨折时,尤其是伴有严重后倾时,恢复正常解剖结构非常重要。
 临床实践中,单独使用闭合复位和牵引技术通常无法纠正嵌插变形和后倾。而开放复位则会进一步增加创伤并影响股骨头的血供。因此,我们的技术尝试在微创的情况下实现骨折的解剖复位。通过“内-外-内”经皮复位技术治疗外翻嵌插型股骨颈骨折的结果显示出良好的效果。影像学参数,包括颈干角、后倾角和股骨颈缩短量,在术后立即得到有效改善,并在随访期间保持良好的结果。在功能方面,经皮复位组的功能缺陷明显少于原位固定组。先前的研究报告了股骨颈缩短对功能结果的影响,股骨颈缩短超过5毫米与功能评分显著降低相关。此外,严重的后倾(大于20°)与手术失败的风险显著增加。本研究的技术能够有效纠正外翻嵌插畸形及后倾,理论上可能有助于降低并发症的风险。
 首先,建议使用针尖带螺纹的斯氏针作为手术的复位工具。在达到理想位置后,螺纹斯氏针可提供更大的固定力来实现骨折的复位。
 其次,斯氏针的位置取决于是否存在后倾。在无股骨头后倾的外翻嵌插型股骨颈骨折患者中,斯氏针的针尖应定位在股骨头的中心;如果存在后倾,斯氏针应从后方插入,向前倾斜至股骨头后部三分之一处。
 最后,斯氏针应在透视监测下轻轻敲击,以防止穿透股骨头。第四,在骨折复位理想后,斯氏针应保持作为临时固定和定位针,直到经皮平行空心螺钉插入完成。
 这是首次描述“内-外-内”技术治疗伴或不伴后倾的外翻嵌插型股骨颈骨折的研究。该技术的局限性包括可能需要更多的放射线暴露,尤其是对经验不足的外科医生而言。此外,斯氏针的理想位置取决于外科医生的决策,特别是在存在后倾的情况下,缺乏客观标准来评估针尖的确切位置。
 Yu T, Liu J, Ying J, et al. “In‐out‐in” percutaneous reduction technique for treatment of valgus‐impacted femoral neck fractures: a technical trick and case series[J]. Orthopaedic Surgery, 2023, 15(1): 214-222.
-END-
声明:本文转载自<智汇骨>,版权归原作者所有,仅用于学习交流,如有侵权请联系删除