手术入路
1,腓骨头截骨:首个有文献记载的胫骨平台后外侧手术入路由Gossling与Peterson提出,是一种广泛的外侧入路。该入路显露胫骨前侧、外侧及后侧,通过剥离腓骨头上的股二头肌腱及腓侧副韧带止点以显露整个外侧平台(包括后外侧部分)。若显露仍不充分,则行腓骨截骨。由于此入路造成的软组织剥离程度较大,后续研究者探索了其他入路,但腓骨头截骨在一段时间内仍是重要的选择。
图示说明: 腓骨头截骨入路显露。FH:腓骨头,已向近端及后方牵开;TFJ:胫腓关节;PL:后外侧象限;AL:前外侧象限。腓总神经由乳胶引流管(白色)牵开保护。此入路需结扎膝下动脉(腘动脉的直接分支)。理论上可沿冠状面放置纵向钢板,但需注意血管分叉处(胫前、胫后及腓动脉)仅距关节面远端5-6厘米。通过半月板下关节切开术可实现充分视野。
本入路的局限: 尽管显露充分,但无法在近端胫腓关节处应用内固定。后侧支撑钢板的放置也很困难,因为腓骨位于胫骨后方,且可用于固定的长度非常短,存在损伤血管分叉处神经血管束的风险。尽管存在诸多优点,但由于对后外侧角造成的广泛软组织创伤以及对近端胫腓关节的损伤伴有神经损伤风险,许多医生认为此入路并不合理。
2, 直接后外侧入路(Carlson入路):腓骨截骨术存在的问题促使人们寻求更直接的后外侧象限入路。Carlson首先描述了一种改良的后侧入路,他后来对此进行了改良。
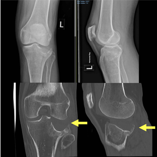
病例展示:后外侧劈裂塌陷骨折(Kfuri-Schatzker type II P型),A. 入院X线片,B. CT三维重建:清晰显示一个延长的后外侧劈裂骨块(星号标注)。此形态学分类有助于理解骨折的稳定性和手术策略。C. Carlson入路手术步骤:患者俯卧位,切口略偏内侧,与腓骨走向平行。神经显露:腓总神经(星号标注)位于浅筋膜下方、腓肠肌外侧头外侧,易于辨识。深层显露:将比目鱼肌从腓骨上剥离并抬起。将腘肌向内侧牵开。此时可显露外侧半月板(#号标注)。关节内观察:将外侧半月板向近端牵开后,可见后外侧缘的粉碎情况。
本入路局限:Carlson直接后外侧入路是一种针对性强但应用范围狭窄的入路。它最适合用于单纯、需直接复位支撑的后外侧劈裂或劈裂-塌陷骨折。
3,Frosch入路:为克服Carlson入路在关节内视野和复位控制方面的局限,Frosch等人开发了一种改良的单切口、双窗技术,该技术包括一个用于骨折复位和固定的后外侧入路,并结合一个外侧关节切开术,以在直视下控制骨折复位和关节面。其他作者则对每个窗口采用了单独的切口,而非使用更大的软组织皮瓣。对于此入路,患者取侧卧位,膝下放置软枕以施加内翻应力,这有助于视野显露。沿腓骨作一个较长的后外侧皮肤切口。在解剖腘窝之前,先进行标准的外侧关节切开,从背侧切开髂胫束并将其从Gerdy结节上剥离。对于后外侧入路,切开筋膜,识别并游离腓总神经,然后在腓肠肌外侧头和比目鱼肌之间进行钝性分离。
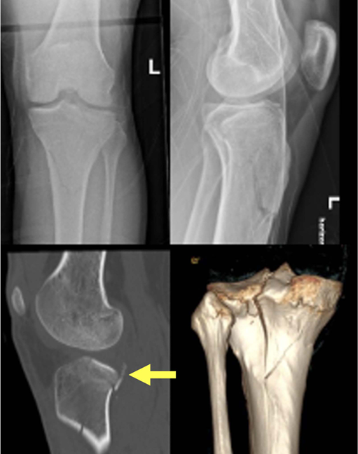
病例示例:Kfuri-Schatzker type V AL + PL + PM型双髁骨折合并后外侧“薄片型”劈裂骨折。 本例采用 Frosch入路(改良单切口双窗技术)进行处理,并应用了垂直放置的支撑钢板进行固定(箭头指示)。
本入路的局限:与Carlson入路相似的局限性:对后外侧角边缘的显露仍有一定限制。当患者处于侧卧位时,若需同时处理内侧象限骨折则非常困难。
4,直接后侧入路:本入路对于后外侧象限的用途有限。需要患者俯卧位,并在腘窝横纹处作直切口或平缓的S形切口。以小腿浅静脉和腓肠神经为标志,辨认腓肠肌两个头之间的间隙。沿其内侧缘切开腘肌并向外侧牵开。神经血管结构也向外侧牵开以保护分叉处。此入路可显露后侧平台中央区域,对后交叉韧带撕脱骨折和后内侧象限有用。其对后外侧象限的显露有限。
5,扩展前外侧入路:Cho等人描述的扩展前外侧入路。可以使用以Gerdy结节为中心的传统弧形切口,或起于股二头肌前方的更偏后切口。劈开髂胫束并将其从Gerdy结节上剥离,前室肌肉按标准方式从平台外侧面向下剥离至外侧副韧带前方。辨认外侧副韧带是关键步骤。在膝关节伸直时最易辨认,一旦确认,膝关节屈曲至90度。将外侧副韧带向后外侧牵开,并通过分离疏松软组织,在韧带与胫骨后外侧缘之间形成“韧带旁间隙”。进行半月板下关节切开以进入关节表面。至关重要的是,在关节线以下进行分离,以免损伤斜行于韧带股骨起点之下的腘肌肌腱。
标准前外侧入路与扩展前外侧入路的显露范围对比:A(标准前外侧入路):经半月板下关节切开,其显露范围受限于后外侧结构,主要提供前外侧象限的显露(P=髌骨,T=胫骨结节)。B(扩展前外侧入路):通过扩展入路并牵开外侧副韧带,使外科医生能够同时触及前外侧和后外侧象限。由于腘肌仍附着,胫骨的内旋幅度有限。虚线标示了两种不同入路可显露的关节缘范围。
本入路的局限: 该入路的一个局限在于难以直接操作后外侧骨折块进行复位。然而,可以放置点式复位钳,并通过观察皮质骨折缘来评估复位质量。对于轻度的斜坡状关节面塌陷,可在胫骨前外侧干骺端开一皮质骨窗,由此通道进行关节面抬升。如下图:
图示说明:运用扩展前外侧入路处理一例Kfuri-Schatzker type II A + P型骨折。通过一个前外侧皮质骨窗(骨凿插入处),为抬升后外侧象限的塌陷关节面提供了通路(箭头所示)。水平钢板(箭头所示)实现了对后外侧象限的筏式固定,并包容了后外侧和前外侧的关节缘。
6,前外侧缘或Gerdy结节截骨入路:该入路需要对髂胫束前一半进行部分肌腱切断,保留其后半部分在Gerdy结节的附着。使用骨刀将Gerdy结节完全截下,以最大程度显露后侧骨折块;若已存在骨折线,则将其完全截开。
局限性包括无法直接直视后外侧象限,并且在复位后,固定方式受限,主要依赖于外侧钢板。然而,当与后内侧入路结合使用时,仍可进行复位和固定。该技术的优势在于患者取仰卧位,并通过打开前外侧窗口来处理后外侧塌陷骨块。塌陷的抬升在透视下控制。
7,股骨外侧髁截骨入路:患者可采取仰卧位或侧卧位。在髂胫束中部作弧形切口,作全层皮瓣延伸至股二头肌,以识别并游离腓总神经。按标准方法劈开或将髂胫束从Gerdy结节上松解。随后显露外侧副韧带、腘腓韧带、外侧关节囊和腘肌腱,并确认其在股骨外上髁的起点,这应通过X线确认。进行一个约1.5平方厘米的骨块截骨,该骨块需包含外侧副韧带、腘腓韧带和腘肌腱的起点。截骨首先用电刀标记,然后使用1毫米微型摆锯,在骨块前、近、后三个侧面,垂直其表面进行切割,深度达1.5厘米:首先前方,然后近端,最后后方。使用骨凿完成远端第四边的截骨。必须小心避免损伤股骨髁的关节面。这可通过在外侧副韧带深部进行分离来辅助完成。将剪刀置于外侧副韧带下方并平行于韧带撑开来确定平面。将外侧副韧带连同骨块向远端和后方翻开。进行半月板下关节切开以进入胫骨平台中部或后部。也可以使用跨关节的股骨撑开器。如下图:
在某些极端病例中,当胫骨髁间嵴存在向前延伸的广泛粉碎时,Kfuri等人建议完全松解半月板前角根部,以显著增加前外侧和后外侧象限的显露。使用手术刀平行于前交叉韧带的止点切开外侧半月板前角,保留2毫米的半月板根部附着。这使得半月板能够在膝关节内向后方移位,并且通过内旋胫骨,可以完全显露胫骨平台后外侧区域。从技术上讲,这是一个更具挑战性的操作,但它为最复杂的骨折类型提供了极佳的视野,并且需要进行半月板前角的修复。最近,Kfuri等人建议保留外侧半月板前、后角根部的附着,并通过松解冠状韧带,将外侧半月板像桶柄状撕裂一样向中央移位,从而实现对胫骨平台关节面非常全面的显露。这现已成为使用股骨外侧髁截骨术时的首选技术。如下图:
解剖图示说明:Kfuri等人描述的扩展前外侧入路联合股骨外侧髁截骨术。1:手术切口的解剖标志。P:髌骨;T:胫骨结节;G:Gerdy结节;F:腓骨头;E:股骨外侧髁;2:一旦劈开髂胫束并将其向后牵开,关节切开即显露股骨外侧髁。截骨包括外侧副韧带和腘肌腱两者的附着点;3:将股骨外侧髁向后方和远端牵开(星号标记);4:平行于胫骨平台缘并在腘肌腱前方切开关节囊。这使得能够完全显露前外侧和后外侧缘,而不会损伤后外侧角结构;5:切开半月板胫骨韧带,并进行半月板下关节切开,用缝线修复半月板并将其向头侧牵拉;6:外侧半月板仍附着于前角和后角,半月板被移向髁间窝。整个胫骨外侧髁得以显露,便于复位。膝关节屈曲,由于腘肌腱未附着于股骨,胫骨可以轻松内旋。一旦骨折复位并固定,使用缝线或锚钉修复半月板胫骨韧带。使用一枚3.5毫米皮质骨螺钉,并配合一个带齿的塑料垫圈,以抓持外上髁顶部的软组织(特别是腘肌腱和外侧副韧带),将股骨外侧髁重新附着。显露完全在关节囊内进行,无需结扎膝下动脉或显露腓总神经。
8,改良股骨外侧髁截骨入路:股骨外侧髁截骨技术的一个局限性在于,术后需要对截骨修复部位进行保护,通常使用软组织垫圈和大骨块螺钉固定。虽然可以预先钻孔,但通常并不需要。此外,被分离的半月板需要更广泛的修复,这应在康复计划中予以考虑。尽管对截骨术可能存在顾虑,但仍可获得良好的临床结果。对于同时合并前交叉韧带损伤与后外侧角损伤的高能量骨折类型,可采用此入路的改良技术。其原理在于:利用ACL及PLC损伤后膝关节的病理性不稳定,在术中通过手法使胫骨发生可控的半脱位,从而在不进行股骨外侧髁截骨的情况下,直接获得对后外侧象限的显露和操作空间。但在此情况下需要进行后外侧角重建。如下图:
图示说明:适用于同时存在前交叉韧带和后外侧角损伤的情况。外侧副韧带和腘肌的损伤使得能够进入后外侧缘,并通过胫骨内旋来复位巨大的软骨骨折块,该骨块已在关节内剪切脱落(箭头所示)并在后外侧象限留下缺损(箭头所示)。使用钳子对骨折块进行解剖复位(箭头所示)后,采用独立螺钉进行固定(箭头所示)。使用Arciero技术实现了后外侧角重建。
9,后内侧入路:一种改良的后内侧入路,旨在与后外侧经腓骨入路联合使用,最初由Lobenhoffer等人描述。患者取俯卧位,使用后内侧切口,将腓肠肌内侧头向内侧牵开。利用与半膜肌之间的间隙来显露腘肌,在腓肠肌内侧头与半膜肌之间进行深层分离之前,先将腘肌抬起,以进入后内侧象限。尽管主要用于进入后内侧象限,但此入路已被用于处理后外侧象限。罗从风等人和其他学者描述了一种倒“L”形切口,通过同一入路为后外侧象限的干骺端骨质提供更好的显露。
不同手术入路的比较:理想的手术入路应在实现最大化显露以利于骨折复位的同时,确保生物力学上恰当的固定,并对周围结构造成最小损伤。不存在一种能够适用于所有后外侧象限骨折形态或所有胫骨平台骨折类型的通用手术入路。每种入路都有其优势、局限性和相对适应证。


文献来源:Hoskins W, Kfuri M. Approaching the posterolateral quadrant of the tibial plateau: challenges and strategies. Injury. 2025 Dec 4;57(2):112938. doi: 10.1016/j.injury.2025.112938. Epub ahead of print. PMID: 41365278.
-END-
声明:本文转载自<一篇文献>,版权归原作者所有,仅用于学习交流,如有侵权请联系删除。