即刻负重技术:关键知识回顾
文献摘要
目的:现代牙科经历了快速而持续的演变。关于种植体修复方案,为了满足患者对舒适度、美观度和更短治疗期日益增长的期望,对其进行了重新定义。本综述旨在探讨种植体即刻负重的概念及其临床实践指征。所有可能影响该治疗结果的关键方面也将被考虑。
材料和方法:种植体负重时机方案已分为三种:即刻负重种植体(ILI);早期负重种植体(ELI);和传统负重种植体(CLI)。两个子分类指出了不同的负重方式:1)咬合负重或非咬合负重,2)直接负重或渐进负重。自种植牙诞生以来,微运动就被认为是骨整合成功的主要风险之一。评估初期稳定性的决定性且最容易获得的参数是种植体插入扭矩值。因此,为了达到进行即刻负重所需的扭矩值,评估种植部位的骨密度非常重要。计算机断层扫描(CT)已被认为是评估残留骨的最佳放射学方法。
结果:该技术的临床成功取决于多种因素:患者的选择、骨质和数量、种植体的数量和设计、种植体的初期稳定性、咬合负荷和临床医生的手术能力。其中,种植体的初期稳定性无疑是最重要的。
结论:对 ILI 的研究表明,如果满足上述标准,可以预期成功的结果。与 CLI 相比,ILI 似乎表现出更大的植入失败风险,尽管两种手术的存活率都很高。使用不同的手术程序、修复体类型、负重时间和研究设计非常不同。这种缺乏同质性限制了可以得出的结论的相关性。
文献简介
近几十年来,现代牙科见证了不同领域技术的快速和持续发展 。关于种植修复方案,多年来,随着种植手术新知识的积累,为了满足患者对舒适度、美观度和缩短治疗期日益增长的期望,人们对种植修复方案进行了重新定义。
自从 Branemark 于 1977 年推出骨整合系统 以来,已经提出了关于负重时机直至即刻种植体负重的新方案。
经典方案建议,在骨整合期间,种植体不应承受任何负荷,通常下颌骨为 3 至 4 个月,上颌骨为 6 至 8 个月。
更新后的协议缩短了愈合期,使得植入物可以在骨整合完全完成之前尽早甚至立即加载。
本综述旨在探讨种植体即刻负重的概念及其临床实践指征。所有可能影响该治疗结果的关键因素也将被考虑。
植入物负重时间方案
Esposito 等人 已确定了 3 种种植体负重时机方案:即刻负重种植体(ILI),种植体植入后 1 周内;早期负重种植体(ELI),种植体植入后 1 周至 2 个月之间;传统负重种植体(CLI),种植体植入后 2 个月。
两个子分类指出了不同的负重方式:
1)咬合负重或非咬合负重,
2)直接负重或渐进负重。
这项 Cochrane 系统评价 的结论是,没有令人信服的证据表明植入物的不同负重时间在修复体失败、植入物失败或骨质流失方面存在具有临床重要意义的差异。
Enríquez-Sacristán 等人 的荟萃分析结果报告称,ILI、ELI 和 CLI 具有相似的成功率和存活率。Sanz-Sànchez 等人 最近进行的一项荟萃分析以及 Zhu 等人 最近进行的一项研究显示,与 CLI 相比,ILI 植入失败的风险更大,尽管两种手术的存活率都很高。
此外,在相关的边缘骨质流失、种植体稳定性变化和种植体周围组织的健康状况方面,未发现 ILI、ELI 和 CLI 存在显著差异,这表明一旦发生骨整合,这些负重方案的表现相似 。
初期稳定性
自种植牙诞生以来,微运动一直被认为是骨整合成功的主要风险之一。事实证明,如果微运动范围超过 150 μm,可能会危及骨整合过程。这种过度的微运动直接影响种植体纤维包裹的形成。文献表明,微运动存在一个临界阈值,超过该阈值时纤维包裹将优先于骨整合。然而,这个临界水平并不是通常所理解的零微运动。相反,可容忍的微运动阈值介于 50 到 150 微米之间。在这个可容忍的微运动范围内,种植体表面的早期负荷甚至可以刺激新形成的骨重塑,从而加速骨整合过程。
话虽如此,所有文献研究都一致认为,实现良好的种植体初始稳定性是 ILI 成功的关键条件。种植体初期稳定性受多种因素影响,包括局部骨质量和数量、种植体宏观设计和手术技术。
种植体初期稳定性评估
评估初始稳定性的决定性且最容易获得的参数是植入物插入扭矩值。
扭矩值范围从 30 到40 Ncm 甚至更高通常被选为立即负重的阈值。扭矩最小水平对于确保骨整合过程以及通过固定螺钉为种植体-基台连接提供足够的啮合强度都很重要。尽管如此,一些研究评估,在软骨中放置最终扭矩≥20 Ncm 的 ILI 也具有与 CLI 一样成功的预后。
此外,如果植入了足够多的种植体,即使不是所有的种植体都达到了足够的稳定性,由于相邻种植体的支撑,也可以进行 ILI,但不稳定的种植体应该保持轻力。
为了测量种植体的初始稳定性,最近开发了一种种植体马达 (TMM2:registered:, Idievolution),它允许临床医生在准备种植体部位和插入种植体期间测量骨密度。
测量初级稳定性的另外两种方法是共振频率分析 (RFA) 和 Periotest:registered: (PT)。
RFA(Osstell:registered:)是一种可靠的设备,可测量安装在种植体上的换能器的共振频率。测量结果是种植体稳定性系数(ISQ),它揭示了种植体与骨连接的硬度。ISQ 值大于 65 被认为对种植体稳定性最有利,而 ISQ 值低于 45 则表示初期稳定性较差。
PT 通过测量该设备产生的重复敲击过程中仪器尖端和植入物之间的接触时间来指示植入物的稳定性。
由于 RFA 和 PTV 都缺乏明确的参考值,且测量结果可能存在操作者依赖性差异,因此其在常规临床应用中效率不高 。
骨骼质量和数量
因此,为了达到立即负重所需的扭矩值,评估植入部位的骨密度非常重要。计算机断层扫描 (CT) 被认为是评估残留骨的最佳放射线照相方法 。
目前已提出了几种关于骨密度的分类。1990 年,Misch 根据宏观皮质骨和骨小梁特征提出了一种分类:I 类:致密皮质骨;II 类:多孔皮质骨;III 类:粗骨小梁;IV 类:细骨小梁。
当植入部位存在 III 类或 IV 类骨时,操作者可以采用特定的手术技术并使用具有特殊宏观表面的植入物来克服这一限制。
手术技术
在几项研究中,作者介绍了不同的技术来局部优化骨密度,从而改善初期稳定性,例如 1 至 2 毫米的牙顶下种植体植入、尽可能在鼻腔或鼻窦底部进行双皮质化、种植体部位准备和骨挤压技术。种植体部位准备和骨挤压技术是最常用的技术,几乎总是在存在 III 类或 IV 类骨的情况下进行:第一种是使用直径小于种植体直径的最终钻头;第二种技术是使用骨挤压器(骨挤压器)将松质骨推到一边,从而增加种植体周围骨的密度。
据报道,通过使用这些程序,流感样疾病的存活率很高。在需要骨增量的部位,CLI 应为首选。大多数 ILI 文章未使用骨移植或上颌窦提升术。最近的研究报告称,成功使用骨移植填补种植体表面与拔牙窝壁之间的水平间隙并覆盖前庭裂隙。
植入物的设计与定位
在种植体宏观设计方面,为了克服骨质较差和数量限制,引入了锥形(根部形状)种植体。使用锥形种植体的目的是在插入阶段对周围骨产生一定程度的压缩,而其根尖直径的减小使其能够容纳在骨量较小的区域,如唇凹或相邻根部之间。
种植体的表面特征和直径也会影响初期稳定性:粗糙的种植体表面会使种植体与骨的接触面积更大。临床研究表明,在骨量有限的情况下,直径小于 3 毫米的种植体可以达到足够的初期稳定性。骨质较差的后牙区域通常使用较宽的种植体。与即刻负重全牙弓修复相比,单颗牙种植体的失败风险更大。
为了获得 ILI 的全牙弓修复,大多数研究认为 6 颗种植体是实现可预测结果的最低合适数量。Malo 等人描述了一种仅使用4颗种植体即可取得成功结果的技术。
关于种植体位置,所有研究都重视沿牙槽弓的均匀分布;远端种植体应插入第二前磨牙或第一磨牙的位置,即使位置倾斜,也应尽量减少悬臂的需要。许多作者认为避免远端悬臂是成功的关键。
关于种植体长度,所有作者都倾向于尽可能使用较长的种植体,最小长度为 8 毫米,最常用的是 13 毫米和 15 毫米种植体。
倾斜可能使得能够在后部区域放置更长的植入物。
与手动或传统手术导板植入相比,计算机引导手术最大限度地减少了植入物定位中的错误,从而减少了术后发病率并提高了患者满意度。
患者的选择
当然,在进行 ILI 时,患者选择标准可能会影响该技术的成功。
文献中的大多数研究都提出了以下标准:总体健康状况良好、无牙区或牙齿无法预后、骨质和数量充足、无急性感染、植入物初期稳定。排除标准是:全身性疾病、免疫缺陷、头颈部放射治疗、酒精或药物滥用、怀孕、口腔黏膜病变或患者缺乏合作。
对于磨牙症或吸烟习惯,尚无共识。
并发症
根据不同作者的说法,ILI 方案更常导致技术并发症。其中最常见的是修复体断裂、基台螺丝松动和修复体轮廓调整。
最后一种情况可能是由于早期负重种植体术后牙龈二期愈合导致基台周围出现间隙,而传统负重种植体在愈合一段时间后进行的重衬印模则避免了这种间隙。
无论如何,所有这些并发症都可以通过调整种植体或修复体来解决,而不会影响手术结果。总之,上述变量对于降低种植体周围炎的风险至关重要。
文献结论
文献资料显示,ILI 可以代表一种可靠且有效的修复单颗或多颗缺失牙齿的方案,并且在功能、美观和舒适度方面为患者提供了重要优势。然而,该技术的临床成功在很大程度上取决于许多因素:患者的选择、骨质和骨量、种植体数量和设计、种植体初始稳定性、咬合负荷和临床医生的手术能力。其中,种植体初始稳定性无疑是最重要的。
对 ILI 的研究表明,如果满足上述标准,可以预期成功的结果。与 CLI 相比,ILI 似乎表现出更大的植入失败风险,尽管两种手术的存活率都很高 。
与即刻负重全牙弓修复相比,单颗牙种植体的失败风险更大 。
Shimmel M. 等 在最近的一篇综述中得出结论,尽管所有三种负重方案都提供了较高的存活率,但 ELI 和 CLI 方案仍然比 ILI 方案有更好的记录,并且似乎在第一年内导致的植入失败更少。
现有的研究采用不同的手术程序、修复体类型、负重时间,研究设计也大不相同。这种缺乏同质性限制了可以得出的结论的相关性。
CASS
上半口即刻种植修复一例
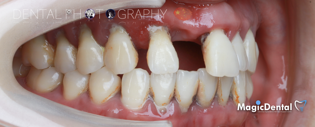
患者术前口内及面相照片
患者:32岁女性患者。
主诉:牙齿松动要求治疗。
现病史:患者两年前发现牙齿逐渐松动,近一个月左上前牙脱落,且上颌牙齿无法咀嚼,现来我院就诊要求治疗。
既往史:既往体健,无其他系统病史,否认重大疾病史,有口腔拔牙史。
口腔检查:口腔卫生差,全口牙龈红肿,牙颈部大量牙结石附着,伴有不同程度附着丧失,牙周探针深度普遍大于8mm,上颌牙列I~III°松动。
CT显示牙槽骨水平吸收严重,大多数吸收至根尖。
辅助检查:术前化验,血糖5.2mmol/L,血压120/90mmHg,血常规全血分析无异常, HIV1/2:(-),HBsAg(乙型肝炎病毒):(-),HCV(丙型肝炎病毒):(-),TP(梅毒螺旋体):(-)。
诊断: 全口慢性牙周炎,上颌牙列缺损。
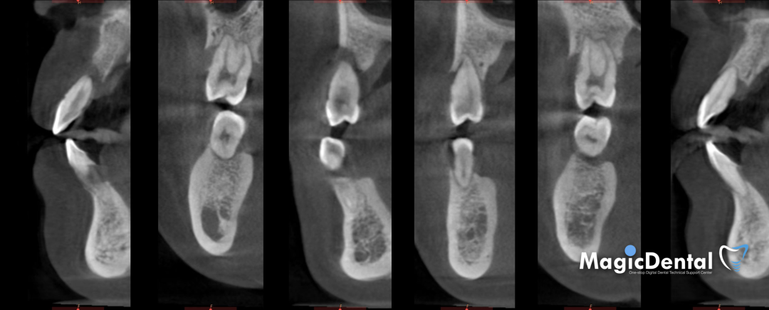
术前CBCT
CBCT显示全口牙槽骨水平吸收严重,下颌骨量保存大于上颌
治疗计划:拔除上颌牙列,种植6枚奥齿泰种植体,马龙桥修复。下颌行牙周治疗+纤维带固定。
确保完全就位后,用1.6的不锈钢丝+GC PATTERN RESIN模型用丙烯酸树脂捆绑4个开口式转移杆,树脂固定成型后中断转移杆之间钢丝,再次用树脂连接以形成刚性连接。取下印模帽,多次试戴,确定均为被动就位后,手动扭紧,硅橡胶取模,确定垂直距离,制作即刻负重修复体。
术后三个月复查CBCT
采用ICAM4D重新进行上颌数字化印模,并利用即刻修复体进行面弓转移。
制作CAD/CAM切削的树脂临时牙试戴,确认患者对修复效果满意后,进行面弓转移,返厂制作最终修复体。
最终修复体制作完成
最终修复戴入口内后两周复查
术前术后对比
1. Rigo L, Viscioni A, Franco M, Lucchese A, Zollino I, Brunelli G, Carinci F. Overdentures on implants placed in bone augmented with fresh frozen bone. Minerva Stomatol. 2011;60:5–14. [PubMed] [Google Scholar]
2. Carinci F, Brunelli G, Franco M, Viscioni A, Rigo L, Guidi R, Strohmenger L. A retrospective study on 287 implants installed in resorbed maxillae grafted with fresh frozen allogenous bone. Clin Implant Dent Relat Res. 2010;12:91–8. [PubMed] [Google Scholar]
3. Viscioni A, Rigo L, Franco M, Brunelli G, Avantaggiato A, Sollazzo V, Carinci F. Reconstruction of severely atrophic jaws using homografts and simultaneous implant placement: a retrospective study. J Oral Implantol. 2010;36:131–9. [PubMed] [Google Scholar]
4. Franco M, Rigo L, Viscione A, et al. CaPO4 blasted implants inserted into iliac crest homologue frozen grafts. The Journal of oral implantology. 2009;35:176–80. [PubMed] [Google Scholar]
5. Viscioni A, Franco M, Rigo L, Guidi R, Brunelli G, Carinci F. Implants inserted into homografts bearing fixed restorations. Int J Prosthodont. 2009;22:148–54. [PubMed] [Google Scholar]
6. Franco M, Viscioni A, Rigo L, Guidi R, Zollino I, Avantaggiato A, Carinci F. Clinical outcome of narrow diameter implants inserted into allografts. J Appl Oral Sci. 2009;17:301–6. [PMC free article] [PubMed] [Google Scholar]
7. Viscioni A, Franco M, Rigo L, Guidi R, Spinelli G, Carinci F. Retrospective study of standard-diameter implants inserted into allografts. J Oral Maxillofac Surg. 2009;67:387–93. [PubMed] [Google Scholar]
8. Carinci F, Brunelli G, Zollino H, et al. Mandibles grafted with fresh-frozen bone: An evaluation of implant outcome. Implant Dentistry. 2009;18:86–95. [PubMed] [Google Scholar]
9. Carinci F, Brunelli G, Zollino I, et al. Mandibles grafted with fresh-frozen bone: an evaluation of implant outcome. Implant Dent. 2009;18:86–95. [PubMed] [Google Scholar]
10. Franco M, Tropina E, De Santis B, Viscioni A, Rigo L, Guidi R, Carinci F. A 2-year follow-up study on standard length implants inserted into alveolar bone sites augmented with homografts. Stomatologija. 2008;10:127–32. [PubMed] [Google Scholar]
11. Danza M, Paracchini L, Carinci F. Tridimensional finite element analysis to detect stress distribution in implants. Dental Cadmos. 2012;80:598–602. [Google Scholar]
12. Danza M, Grecchi F, Zollino I, Casadio C, Carinci F. Spiral implants bearing full-arch rehabilitation: Analysis of clinical outcome. Journal of Oral Implantology. 2011;37:447–55. [PubMed] [Google Scholar]
13. Danza M, Zollino I, Avantaggiato A, Lucchese A, Carinci F. Distance between implants has a potential impact of crestal bone resorption. Saudi Dental Journal. 2011;23:129–33. [PMC free article] [PubMed] [Google Scholar]
14. Carinci F, Danza M. Clinical outcome of implants inserted in piezo split alveolar ridges: A pilot study. Perspectives on Clinical Dentistry. 2011:29–30. [Google Scholar]
15. Danza M, Zollino I, Guidi R, Carinci F. Computer planned implantology: Analysis of a case series. Perspectives on Clinical Dentistry. 2011:287–300. [Google Scholar]
16. Danza M, Carinci F. Flapless surgery and immediately loaded implants: a retrospective comparison between implantation with and without computer-assisted planned surgical stent. Stomatologija. 2010;12:35–41. [PubMed] [Google Scholar].
-END-
声明:本文转载自<DentalMagic>,仅用于学习交流,如有侵权,请立即联系我们处理。内容仅代表作者个人观点,望大家理性判断及应用。









