从深龋坏到完成全冠修复——给这些牙齿最后一次重生的机会。
🪄 第一步: 我们向患者详细解释了所有可能的治疗方案,包括各自的优缺点。
🪄 患者希望尽可能保留牙齿,于是我们达成一致
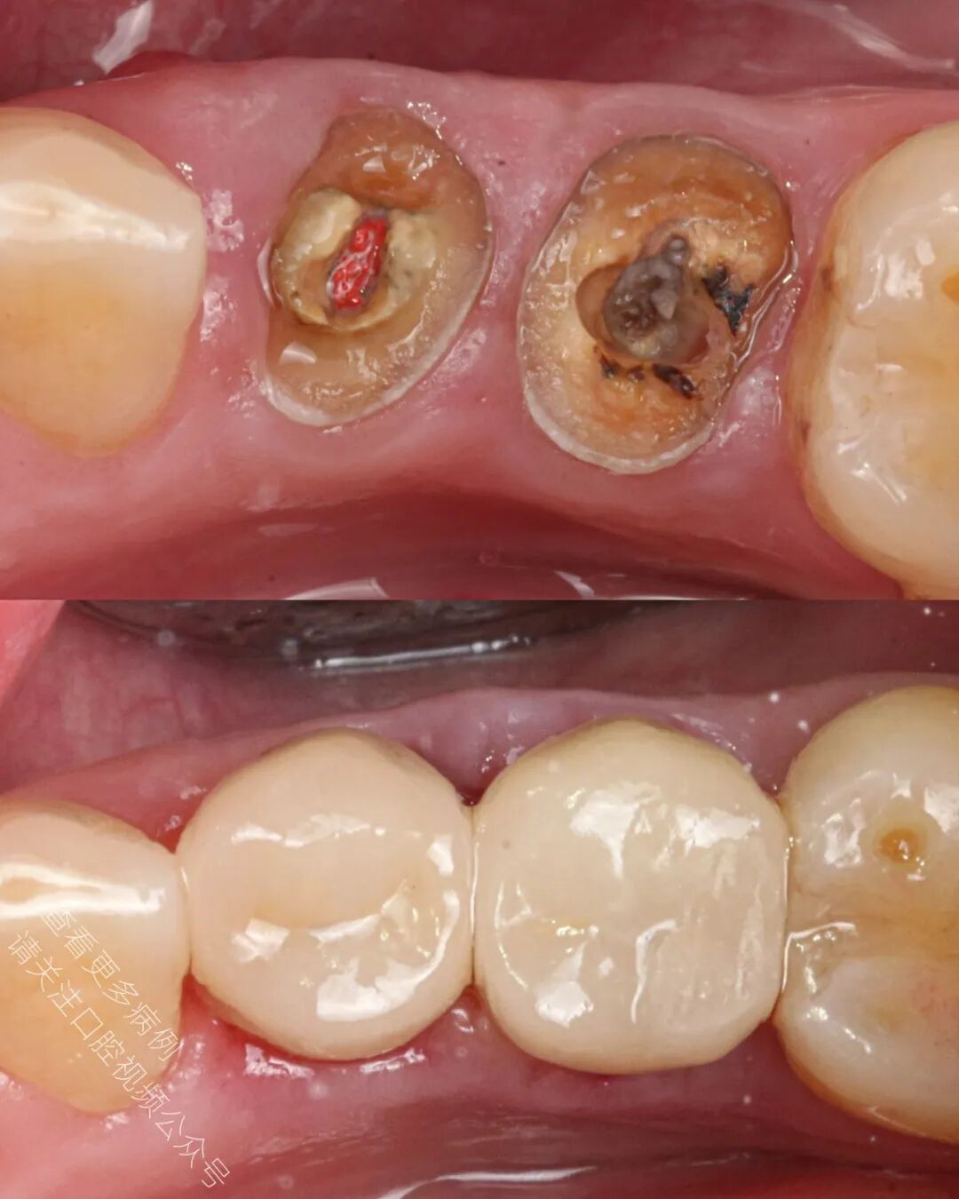
🪄 成功使用橡皮障隔离,对两颗前磨牙进行了再根管治疗(ReRCT)
🪄 使用纤维桩进行核修复(也可选择嵌体冠 endocrown 作为替代方案)
🪄 放置排龈线后进行数字化取模,为制作 e.max 全瓷冠做准备
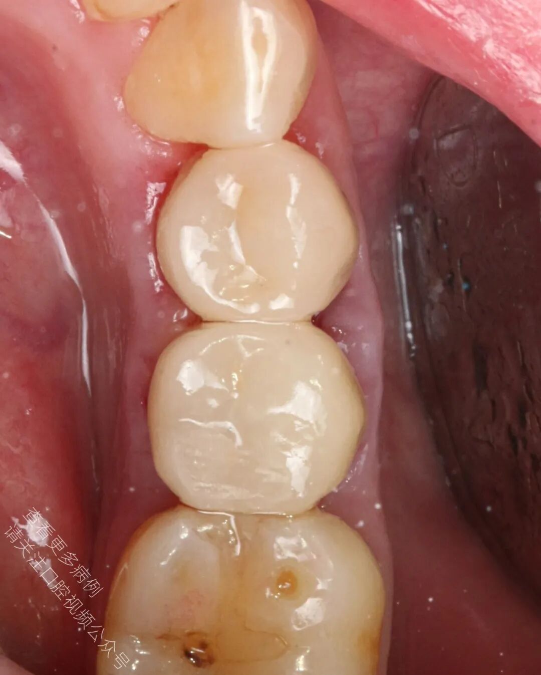
🪄 冠修复体制作完成后返回诊所,在隔离环境下完成粘接
🪄 术后X光片显示冠修复体边缘密合良好,修复效果理想
-END-
声明:本文转自<爱口腔>,仅用于学习交流,如有违规侵权,请立即联系我们。内容仅代表作者个人观点,望大家理性判断及应用。









