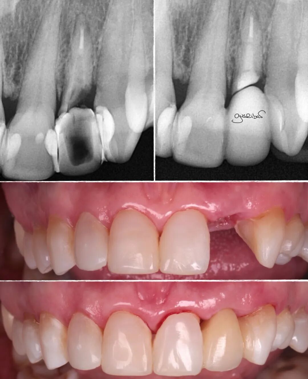
考虑到患者颌骨骨坏死的风险很高,没有进行任何侵入性手术,
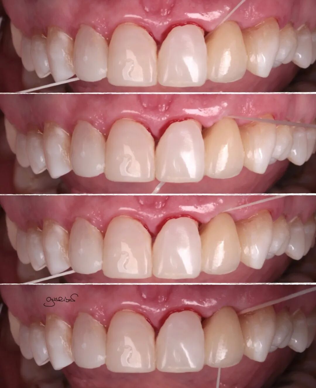
在这种情况下,定期的牙周检查是必须且不可妥协的,
我使用粘接剂和复合树脂密封了根管,力求使其尽可能光滑和适应,
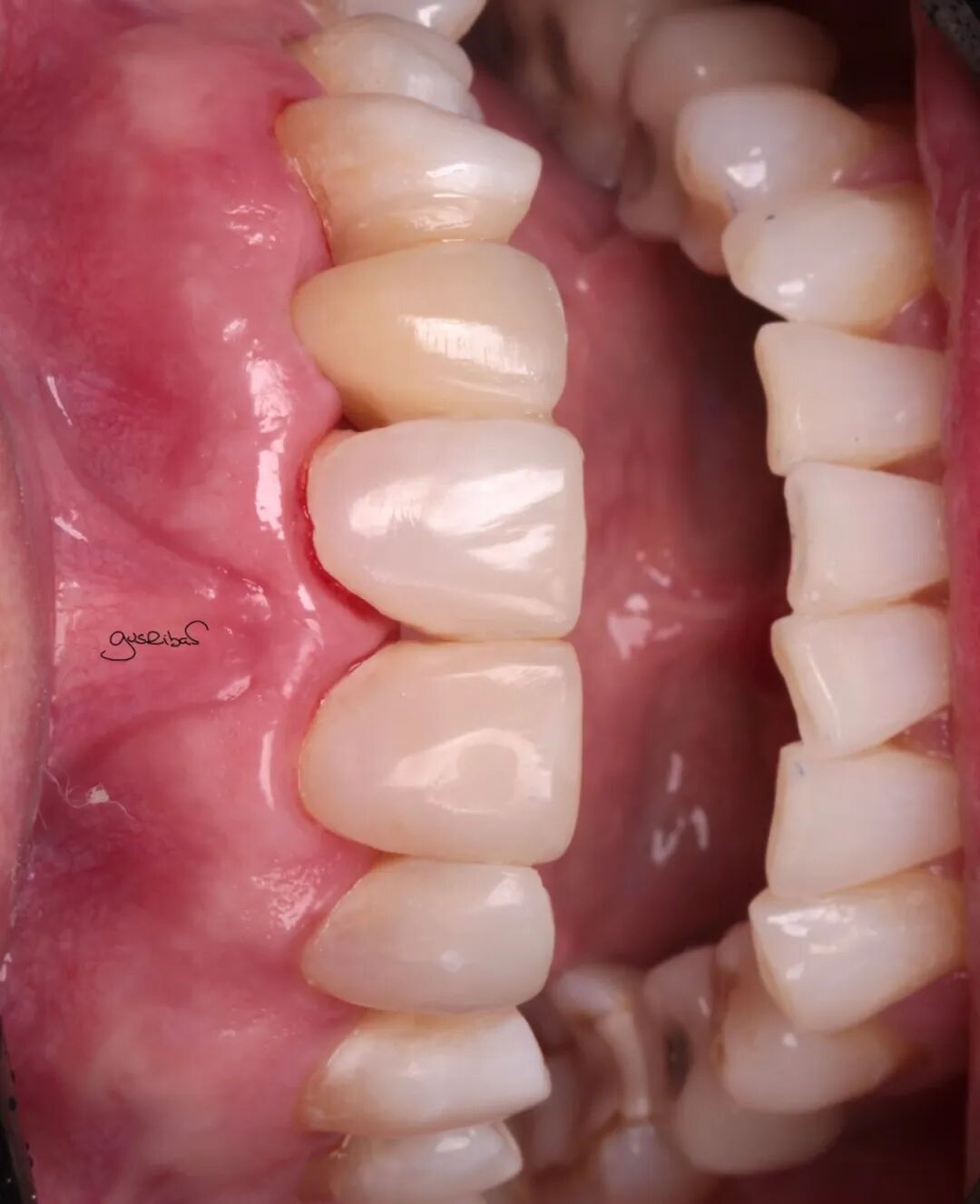
在邻牙上做了部分预备,立即封闭了暴露的牙本质,进行了数字化扫描,完成修复体的制作和美学调整,并用复合树脂进行了粘接。
-END-
声明:本文转载自<牙医帮>,仅用于学习交流,如有违规侵权,请立即联系我们。内容仅代表作者个人观点,望大家理性判断及应用。
2025
作者
牙医帮
考虑到患者颌骨骨坏死的风险很高,没有进行任何侵入性手术,
在这种情况下,定期的牙周检查是必须且不可妥协的,
我使用粘接剂和复合树脂密封了根管,力求使其尽可能光滑和适应,
在邻牙上做了部分预备,立即封闭了暴露的牙本质,进行了数字化扫描,完成修复体的制作和美学调整,并用复合树脂进行了粘接。
-END-
声明:本文转载自<牙医帮>,仅用于学习交流,如有违规侵权,请立即联系我们。内容仅代表作者个人观点,望大家理性判断及应用。