完美地完成一例初次人工髋关节置换术并非易事,不仅简单置换手术中有很多要点,复杂初次全髋关节置换术更需要良好的理论、技巧及经验。今天早读就为大家详解髋关节置换术的手术要点及技巧,值得大家学习参考!
一
人工髋关节置换术
-
上世纪骨科里程碑式的进展之一
-
为晚期髋关节最有效的治疗手段
-
John Charnley开创现代人工髋关节置换技术
-
全面快速发展,技术不断走向成熟
二
手术禁忌症与适应症
手术适应症
-
原发性或继发性骨关节炎、创伤性关节炎
-
DDH
-
类风湿、强直、血友病、慢性炎症性髋关节病损
-
股骨颈囊内骨折
-
髋臼骨折、脱位
-
股骨头无菌性坏死
-
肿瘤
手术禁忌症
-
各种急性炎症病变或髋部有感染病灶者
-
髋部神经病变
-
髋部肌力不足
-
骨骼发育未成熟者
-
重要脏器疾病未得到有效控制者
-
难以配合治疗者
-
病理性肥胖
-
下肢患有严重的血管性疾病
年龄与置换手术方式关系
-
<50岁,表面置换术
-
50-75岁,全髋关节置换术、生物型
-
>75岁,股骨头置换术、全髋关节混合型(髋臼生物、股骨水泥)
-
实际年龄与生物学年龄并不相符合
年龄与股骨颈骨折手术方式关系
-
<50岁,内固定
-
50-70岁,仍无共识(内固定术后再手术率是置换4倍)
-
>70岁,采用髋关节置换术
半髋OR全髋
-
半髋:高龄(>75岁),身体条件差,活动量小
-
全髋:年龄55岁-75岁,骨水泥型主要增加低密度骨的把持力,无明显骨质疏松的患者,采用生物型。
三
初次髋关节置换基本技术
手术程序:
手术入路
1 显露---手术入路
常规手术
-
前方入路(Smith-Peterson)
-
前外侧入路(Watson-Jone)
-
直接外侧入路(Hardinge)
-
外侧经转子入路(Charnley)
-
后外侧入路(Moore)
微创手术
-
后外侧、前外侧、前侧、前外侧(OCM)、DDA、前后双入路、Super-path入路
非骨水泥全髋关节置换
2 髋臼准备和髋臼假体的置入
技术要点:
2.1 应用压配技术、螺钉的使用仅限于用压配技术无法实现初始稳定
2.2 髋臼清理后,选择比预计将要使用的髋臼假体小6-10mm的髋臼锉开始锉磨髋臼。
2.3 先垂直水平面磨锉到显露髋臼的内侧壁。
2.4 在沿髋臼方向用逐渐增大的髋臼锉进行磨锉,角度外展35°-40°并前倾15°-30°
2.5 磨锉髋臼锉与髋臼的前后壁以及髋臼顶部和外缘紧密接触应磨锉到马蹄窝被磨平,呈现“腮红征”。
2.6 术者握住位于髋臼内的髋臼锉时就应当能够前后晃动整个骨盆-----紧密匹配。
2.7 选择比最后一把髋臼锉大1mm或2mm的髋臼假体。如果存在移动的迹象,在后上象限打入螺钉增强固定。
2.8最后放入内衬,注意内衬是否与金属臼杯充分“坐实”、锁紧。
3 股骨准备
技术要点:
3.1 在预先设计的截骨平面进行截骨,一般在小转子上方5mm-10mm,女性短一些,男性长一些。
3.2 正确的导向孔应恰位于梨状窝的前缘,此处与真正的股骨髓腔最接近于一条直线。
3.3 导向孔应该足够靠近外侧
-
髓腔内表面自干骺端至骨干的过度光滑—靠近外侧
-
持续存在干骺端内面的骨嵴—开口外置不足
3.4 为适应股骨的前弓和外侧弓,最好对髓腔钻施加向后向外方向的力
4 试模复位,术中测试
-
Shuck 试验(牵开试验):软组织张力(关节间隙5mm合适或50%股骨头半径)
-
伸直位/外旋位检查:前脱位
-
屈曲位/内旋位检查:后脱位
-
Drop-Kick 试验:固定屈髋畸形
-
多数情况下,髋关节屈曲90°、内收20°及内旋50°时都应当是稳定的
5 安装假体,关闭切口
骨水泥全髋关节置换要点
-
骨水泥不是胶水或粘合剂,强度有赖于骨和水泥间的机械内锁定。
-
常见的错误是尽可能锉到最大号,这样做对非骨水泥假体是对的,要达到皮质接触;但对骨水泥柄非常重要的是保留较强的骨松质缘(至少3mm内侧和前方骨松质)。
-
骨水泥塞以增强在髓腔内注入骨水泥的压力,深度在假体柄尖端以远1.5-2cm,以使远端有2cm的骨水泥。
手术难点:
手术视野判断臼杯位置
股骨颈骨折---与原髋臼相对应(卵圆窝上方1cm为旋转中心)
其它
-
臼杯下缘在髋臼横韧带处且就被下缘与髋臼横韧带呈5°夹角。
-
磨锉髋臼安装臼杯后,前缘仍有大约5mm露出。
前倾角检查
-
Lewinnek等研究认为,髋臼假体安放的“安全位置”为外翻角30°-50°,前倾角5°-25°,在安全范围不稳定发生率1.5%,而超出这一范围6%。
-
Dorr联合前倾角(髋臼前倾角+股骨前倾角)的安全标准:25°-50°或37°±12°,女性略大、男性略小。
准备近端髓腔时,应当使锉的方向与股骨颈的轴线一致。
-
颈的方向参考股骨内外髁线向下旋转15°(后外侧入路)
-
当近端髓腔锉达到轴向稳定,再锤击不能前进,锤击声变实即停止。
下肢长度的检查:
-
腿腿比较试验:术中双下肢屈髋30°,屈膝90°
-
术中标记
-
X线片比较小转子与坐骨切线的距离
-
股骨大粗隆与股骨头旋转中心的位置
四
常见并发症及处理
一、脱位
最常见的并发症之一:
-
初次THA术后的脱位率为0.2%~7%
-
全髋翻修术后的脱位率为10%~25%
原因
术式
-
如前侧切口易发生前脱位,
-
后侧切口易发生后脱位,可高达5.8%,是前侧和外侧切口入路的2倍,
-
外侧和前侧入路脱位率分别为3.1%、2.3%。
假体位置是否放置准确,
-
正确的假体髋臼角应在45°左右,
-
前倾角15~20°左右。
-
角度太大易发生脱位。人工股骨头皮缘与髋臼缘边缘平行-理想的位置。
肌肉力量
-
关节周围软组织、肌腱、肌肉萎缩、关节囊松弛或松解过度,多次髋关节手术史形成的疤痕
-
大粗隆术后不连接、移位,神经性病变引起外展肌萎缩
术后预防措施是否得当
-
术后护理不当和康复失控,如过屈、过度外旋、内收等极易后脱位,伸直位过度内收和外旋易发生前脱位,多见于前方入路或假体位置过于前倾
-
三不原则:不屈髋90°双腿不交叉 不侧睡活动。
股骨头直径越大,脱位的机会越少
-
改善头颈比,从而提高假体的活动度而不发生碰撞和脱位
-
发生脱位所需的股骨头移动度更大。
-
股骨头可获得周围软组织更好的包容。
临床表现
-
术后早期脱位的诊断并不困难,
-
特别在不明确的姿势下病人突感活动性疼痛,主动、被动活动均受限制
-
体检可发现患肢有异常固定性内外旋畸形和肢体短缩
-
经X线检查可明确诊断。早期脱位多在术后4~5周内
处理
-
早期脱位应尽早复位,
-
X线表明假体位置合适的病人应争取麻醉下手法复位,其成功率为63%~83%,复位后必须经X线证实并用皮肤牵引或“丁”字鞋固定3~6周。
-
除假体位置不良外,脱位超过数小时,组织肿胀,肌张力较高,手法复位多次均失败或复位后易复发的病例均应作手术治疗。
-
X线位置好,可先作小切口,用手指探查并协助牵引复位。
-
X线证实假体位置不良,尽早原切口复位。
二、假体周围骨折
股骨假体周围骨折:
Vancouver分类系统
近端干骺端 A
-
A1:穿孔---小块植骨
-
A2:非移位性骨折---环扎+植骨
-
A3:不稳定骨折---骨干固定柄和钢丝
骨干 B
B1:穿孔:假体柄尖端近端?
是:小块植骨
否:假体柄是否稳定?
-
是:同种异体骨支撑植骨钢丝
-
否:长柄假体+同种异体骨支撑植骨+钢丝
B2:非移位骨折:假体柄是否稳定?
是:钢丝
否:骨量是否充足
-
是:长柄假体+钢丝
-
否:长柄假体+同种异体骨支撑植骨+钢丝
B3:移位骨折:假体柄是否稳定?
是:同种异体骨支撑植骨钢丝
否:长柄假体+同种异体骨支撑植骨+钢丝
远端骨干/干骺端 C
-
C1:穿孔---小块植骨
-
C2:非移位骨折累及远端干骺端---钢丝支撑植骨
-
C3:远端移位骨折---ORIF
临床上术式选择看骨折是否影响生物型假体周围起固定作用的部分,若不影响可选择锁定钢板结合钢丝,若影响则需要翻修。
三、感染
易感因素
-
糖尿病
-
其它部位的感染病灶
-
低蛋白血症
-
激素应用
-
类风湿性关节炎及痛风性关节炎
-
关节返修术及其它手术
-
手术室条件
-
手术人员操作
临床表现
-
疼痛是感染的重要症状之一。
-
对术后出现疼痛或疼痛性状发生改变的病人应首先考虑感染可能。
-
手术切口情况
-
窦道形成
血沉和C反应蛋白
-
血沉 非特异性指标,很多时候,即使没有感染存在,人工髋关节置换术后血沉也可增高,有时持续6-12个月
-
C-反应蛋白 在术后第二天达到高峰,6-8周内恢复正常。当C-反应蛋白值大于20mg/L时,提示感染可能。更具参考价值。
X线片表现
-
假体松动、骨膜炎、局灶性骨溶解及多处骨透亮线等迹象
-
迅速出现的花边状周围骨膜反应或骨溶解,应高度怀疑感染。
术中组织冰冻切片
-
鉴别假体的感染或者无菌性松动。
-
一般认为如果术中冰冻切片发现有5处或5处以上
-
一个高倍视野单位下(×40)多形核白细胞数量超过5个,
-
考虑感染。
处理方法
单纯抗生素药物的保守治疗
-
老年病人,身体条件差无法耐受再次手术打击
-
假体没有松动,细菌毒力低,对抗生素敏感并能耐受抗生素治疗
-
需要长时间用药,临床成功率很低,在术后4-6年随访中,失败率高达50-90%。
保留假体关节切开清创引流术
-
适用于术后早期感染(<2周)
-
出现感染症状时间未超过2周,并且没有假体松动
-
术后抗生素静脉输液至少六周
一期髋关节再置换术
-
术后恢复快、功能好、减少手术机会
-
问题是术中无法根据细菌培养结果,选择含敏感抗生素的骨水泥。
-
复发率报告差异较大,在23%-73%之间
二期髋关节再置换术
-
关节置换术后深部感染效果最为肯定的方法
-
第一期 假体取出 病灶清除 (安装spacer)
-
第二期 再次植入人工关节
最后挽救手术
-
关节切除成形术
-
截肢术
五
髋关节置换质量评价与管理
髋关节置换评估:
临床评估
-
直到今天,由美国Harris医师在1969年提出的评分标准系统仍是目前国内外最为常用的评分标准。
-
欧洲的骨科医师倾向 Charnley评分标准。
X线评估
-
重要参数
-
术后X线片需要达到的要求
Harris评分
-
内容分为疼痛、功能和活动范围,主要强调疼痛和功能的重要性
-
评价效果:满分100分,总分≥90分,为优;总分80-90分,为较好;总分70-90分,为良;总分<70分,为差。
Charnley将患者分为三类:
-
A类:患者仅单侧髋关节受累,无影响行走能力的伴发疾病
-
B类:双侧关节均受累
-
C类:患者有其他影响行走能力的疾病
A、B类适于三项指标的全面考评,仅单侧髋关节置换的B类和所有C类,只适合疼痛和活动范围的评估
髋关节X线评估:
X-rays
-
骨盆前后位
-
蛙式位
-
Cross –table位
在拍摄X线片前须确保合适的技术
放大率
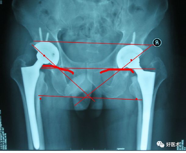
术后评估内容:
1、髋臼假体:泪滴、沈通氏线、外展角、前倾角、髋臼旋转中心。
2、股骨假体:颈干角、前倾角、柄-髓腔比
3、假体-骨界面;假体-骨水泥界面;骨水泥-骨界面
4、双下肢等长
髋臼假体:
1 外展角:45°±10°
2 沈通氏线连续
3 髋臼窝应将假体包容
(≥70%)
4 下肢实际长度最好维持10mm以内。
前倾角:15°±10°
正位片上不能区分出前倾或后倾.必须根据侧位片决定。
Pradhan法测量
-
在X线片上标记髋臼杯口形成椭圆的最大直径D,在最大直径的1/5处标记点M,经过点M做最大直径的垂线并与椭圆相交于两点A、B。测量最大直径D和点M到点A或B的距离P,则髋臼前倾角为arcsin[P/ (0.4D)]
Hubard法
-
在X线上两侧闭孔上缘连线与通过髋臼外上角垂线的焦点为A,点A向上1/4骨盆高度处为B,再在闭孔连线上作点C,使AC=AB。以A为中心,以AB为半径作圆弧BC。正常髋臼应在此等腰三角扇形内。
股骨假体:
柄-髓腔轴线夹角
通过正位X 线片上测量假体柄长轴与股骨长轴间夹角来确定, 夹角≤3°为中心固定。
超出3°为内翻或外翻固定:
-
远端尖端在外侧-内翻;
-
远端尖端在内侧-外翻
柄-髓腔比
-
分别在正位和侧位X 线片上, 在三个水平( 小转子上缘、柄的中部、柄尖端近侧1 cm) 检测假体宽度与髓腔宽度之比(B/A×100%) 来确定。
-
正位片上>80%, 侧位片>70%为匹配满意。
前倾角:10°-15°
必须由侧位片评估。
注意:部分假体自带前倾角,术中应予注意,以免术中再前倾放置引起前倾过度。
假体的理想位置
-
髋臼外展角在40°-55°之间
-
前倾角在10°-20°之间
-
尽可能将髋臼假体放置于髋臼的解剖的位置上
-
术中应冲减或适当增大股骨偏心距
-
尽量将股骨柄假体置于中立位
骨水泥:
X线评估
Grune的股骨侧7分法、髋臼3分法
Harris提出分级标准
-
骨-骨水泥界面存在连续的透亮线定位很可能松动
-
透亮线不完整占50%-99%定为可能松动
-
100%透亮线,松动
Barrack将骨水泥质量分为4型
-
A 骨-骨水泥界面“白视”(骨皮质和骨水泥之间没有界限)
-
B 骨-骨水泥界面有轻度透亮线
-
C 骨水泥套缺损或不完整(孔隙、缺损、透亮线>50%)
-
D 不良的骨水泥固定未填充髓腔,尖端没有骨水泥或100%透亮影
六
案例分析
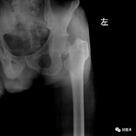
患者,男,69岁,因“摔伤致左髋部疼痛伴活动受限3小时”为主诉于今年10月12到我院急诊科就诊。急诊行X线片检查示:“左侧股骨颈骨质连续性中断”。
入院查体:
-
T:36.5℃ P:80/min R:18/min BP:135/80mmHg;
-
患者神志清楚,精神可,心肺腹查体未及明显异常。脊柱无畸形,骨盆挤压试验分离试验阴性,右下肢呈短缩外旋畸形,外旋约40°,较健侧肢体短缩约2cm。右髋部稍肿胀,无明显的瘀斑。右侧腹股沟中点压痛阳性、轴向叩击痛阳性。右侧Bryant三角底边较健侧短缩。膝关节、踝关节活动尚可无压痛,趾端感觉正常,余肢体未及异常。
Garden分型?
Ⅳ型
内固定 OR 髋关节置换?
髋关节置换
全髋 or 半髋?
股骨头置换
骨水泥 OR 非骨水泥?
非骨水泥假体
本文病例来自:曲靖市第一人民医院骨2科









