病例报告如下
患者为50岁女性,因 “胸闷、呼吸困难1年,加重1天”前往急诊科就诊。病程中,患者在劳累状态下呼吸困难症状加剧,同时伴有乏力、心悸、腹胀、恶心、端坐呼吸、尿量减少(24小时尿量不足 1000ml)及下肢浮肿等表现;无胸痛、咳嗽、发热、头痛等症状。患者长期规律服用利尿剂,2 周前因血糖控制效果不佳曾入住内分泌科。目前已排除糖尿病酮症酸中毒、高渗性高血糖状态等情况。既往病史包括高血压、高脂血症、射血分数保留型心力衰竭、控制欠佳的 2型糖尿病(DM)以及重度抑郁症。
体格检查
血压波动于92-146/50-86mmHg,呼吸频率28次/分,心率80-92 次/分,氧饱和度97%-99%;体重67kg,身体质量指数(BMI为23,呈呼吸急促状态;无颈静脉怒张,双下肺呼吸音减弱,心界无扩大,双下肢存在浮肿。
辅助检查
实验室检查
实验室检查结果如下表所示(表 1):

影像学及其他检查
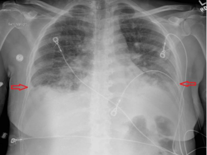
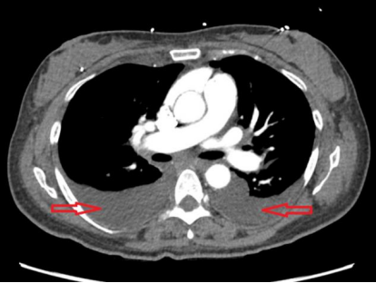
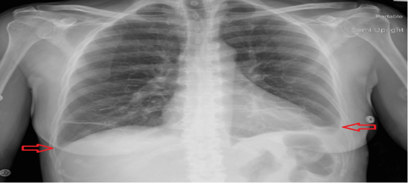
(1) 下肢B超:检查结果排除深静脉血栓形成(2)心电图:显示为窦性心律,存在 R 波递增不良(QTc 485ms)(图1),可排除急性冠脉综合征;(3)胸部 X 线(入院时):可见双侧斑片状阴影及双侧胸腔积液(图2);(4)病原学检查:入院时血培养、尿培养结果均为阴性,且住院期间无感染相关症状与体征,因此双侧斑片状阴影由感染因素导致的可能性较低,更倾向于与急性心力衰竭相关;(5)肺血管 CTA:因患者存在心悸、呼吸急促症状且 D - 二聚体水平轻度升高,遂完善此项检查以排除肺栓塞。结果显示双侧中量胸腔积液、轻度间质性肺水肿及轻度心脏肥大,提示存在充血性心力衰竭(CHF)(图 3、图 4),同时可见散在肺部阴影;(6)经胸超声心动图(TTE):显示左右心室大小正常、收缩功能正常,无局部壁运动异常;左心房大小为 2.93cm(正常范围 1.9-4.0cm),处于正常水平;肺动脉收缩压(PASP)为 34mmHg,存在轻度同心性左心室肥大,心室射血分数为 55%-60%。 (7)核素心肌灌注显像负荷试验:因心电图异常进行此项检查,未发现可逆性缺损,表明无心肌缺血;(8)腹部 / 盆腔 CT:患者肝炎免疫检测结果为阴性,肝转氨酶升高大概率由充血性心力衰竭(CHF)继发的充血性肝淤血引起。为进一步明确情况,行腹部 / 盆腔 CT 检查,显示存在胆结石、胆囊壁增厚 / 水肿、门静脉周围水肿所致的轻度肝肿大,同时伴有新出现的轻度全身性水肿及少量盆腔积液;(9)胸部 X 线(出院时):显示肺充血消退,双侧胸腔积液较入院时减少(图 5)。

图1

图2

图3

图4

(图5)
治疗与病情变化
患者因呼吸急促症状进一步加重转入重症监护病房(ICU)。结合临床诊断,考虑为急性心力衰竭加重,给予静脉推注布美他尼、口服螺内酯治疗。患者无输血相关急性肺损伤(TRALI)所致肺水肿的相关病史,无肝硬化病史且血清白蛋白处于正常范围,基本可排除低渗透压引发的肺水肿。心内科会诊医生建议按照射血分数保留型急性心力衰竭加重进行治疗。
在后续积极利尿治疗期间,患者呼吸困难症状逐渐缓解,外周水肿减轻,尿量恢复正常,肝功能检查指标改善,对氧气的需求也逐步降低。出院时,患者开始口服布美他尼、螺内酯、恩格列净、贝那普利、倍他乐克等利尿剂,医护人员着重强调出院后需严格遵医嘱服药,定期到心内科门诊随访复查。
值得关注的是,患者入院时脑钠肽(BNP)水平处于正常范围,出院时虽较入院时略有升高,但临床症状及影像学检查结果均有所改善。这种现象可能与心力衰竭(HF)的临床管理相关,例如第三间隙液体转移;此外,BNP 水平波动还可能受到肾脏功能、年龄及其他合并症等非心脏因素的影响。
讨论
心力衰竭(HF)是由心脏结构和(或)功能异常引发的临床综合征,其典型特征为伴有或不伴有全身性或肺部充血的临床症状,且常伴随利钠肽(NP)水平升高 [1]。以B型利钠肽(BNP)为例,其对射血分数保留型心力衰竭(HFpEF)的特异性相对较低,这一特点可能与肥胖相关-肥胖状态下,BNP 和 NT-proBNP通过利钠肽清除受体(NPR-C)的清除率提高,同时脑啡肽酶对其的降解作用增强,导致循环中的BNP和NT-proBNP 水平降低。与射血分数降低型心力衰竭(HFrEF)相比,HFpEF患者心肌壁应力/心室扩张程度较低,进而造成 BNP 水平偏低 [2]。
BNP在心力衰竭的检测中具有较高价值,主要因其阴性预测值较高,当BNP检测水平较低时,可有效排除心力衰竭的可能性。临床中使用血管紧张素转换酶抑制剂/血管紧张素-II 受体阻滞剂及利尿剂会使BNP水平降低,这一特性表明 BNP 在心力衰竭患者病情监测中具有重要意义。例如,对于年龄小于75岁、处于慢性管理阶段的心力衰竭患者,其BNP和NT-proBNP水平可能处于正常范围(分别低于 100pg/ml和125pg/ml)。
利钠肽(NPs)在心肌肥大/纤维化引发的心肌扩张反应中,可增强利钠作用并促进血管扩张[3]。本病例中,患者表现出充血性心力衰竭(CHF)的典型症状与体征,但BNP水平仅为32pg/mL,与CHF 的常规表现不符。这种临床表现与BNP水平不一致的情况,给临床诊断带来了挑战。
Kondo等学者研究发现,在有症状的慢性心力衰竭患者中,若左心室射血分数≥45%,则有23.2%的患者NT-proBNP水平较低(<125pg/ml),这类患者通常年龄较小、男性比例较低且体重指数较高[4]。其他相关研究也进一步证实了多种因素对利钠肽水平的影响:糖尿病可通过改变新陈代谢及清除机制影响 BNP 水平;NT-proBNP 水平与肥胖呈负相关,尤其在胰岛素抵抗状态下(糖尿病患者中较为常见)[5];Gupta 等发现 NT-proBNP 水平可能与盐敏感性高血压及左心室肥大相关[6];Macheret 等研究表明,晚期高血压患者可能不会出现肾素 - 血管紧张素系统(NP)水平的代偿性升高[7]。
本病例中的患者患有糖尿病和左心室肥大,这两种情况均可能导致 BNP 水平降低。尽管患者 BNP 水平未出现典型升高,但对失代偿性充血性心力衰竭的治疗反应良好,这一现象进一步印证了部分心力衰竭患者可能存在利钠肽(NP)水平相对或绝对偏低的情况。
在对 BNP 水平较低的充血性心力衰竭(CHF)患者进行临床管理时,医生应优先开展全面的临床评估与诊断评估,仅依靠 BNP 水平不足以指导治疗方案的制定。详细的体格检查需重点关注颈静脉扩张(提示中心静脉压升高)、S3 心音(提示容量超负荷)、腹胀(提示腹水)及双侧下肢肿胀(液体潴留的常见体征)等指标。影像学检查方面,胸部 X 线检查可帮助识别肺淤血、心脏肥大及胸腔积液;胸部计算机断层扫描(CT)可对肺部及心脏情况进行详细评估;床旁超声(POCUS)能够评估 B 线(提示肺水肿)、胸腔积液及心脏功能;经胸超声心动图(TTE)对于评估左心室射血分数、舒张功能、瓣膜异常及肺动脉压至关重要[2]。对于部分特定患者,心脏负荷试验有助于评估心肌缺血及心脏功能[8];在复杂病例中,有创血流动力学监测(如右心导管置入术)可提供肺毛细血管楔压(PCWP)和心输出量等关键数据,为临床诊断与治疗提供更精准的依据[9]。
美国心脏病学会(American College of Cardiology)、美国心脏协会(American Heart Association)及美国心力衰竭学会(Heart Failure Society of America)联合发布的指南中强调,在心力衰竭诊断过程中,尤其是当 BNP 水平无法明确诊断时,临床评估与影像学检查具有不可替代的重要性[2]。
结论
在对疑似心力衰竭患者进行评估时,尤其是针对射血分数保留且合并糖尿病、晚期高血压/左心室肥大等明确合并症的患者,临床医生需充分考虑B型利钠肽水平偏低这一非典型表现的可能性。诊断过程中,应综合考量体格检查(如颈静脉扩张、S3 心音、腹胀、双下肢肿胀)、相关影像学检查(如胸部X线、胸部计算机断层扫描(CT)、床旁超声)及经胸超声心动图、血流动力学参数等其他诊断工具,通过全面、系统的评估,确保诊断准确,制定适宜的治疗方案,进而改善患者预后。
声明:本文为原创内容,作者努尔巴哈尔,以上仅代表作者本人观点,仅用于学习交流,转载需授权。









