感觉异常是指因神经受损而导致的短暂或持久的不适感觉变化,甚至感觉完全消失。在面部感觉异常的病例中,约83%能够找到明确原因,其中近一半与牙科治疗有关。在牙科相关的感觉异常中,下牙槽神经和舌神经最容易受到影响。各种牙科操作,包括麻醉注射、外科手术、根管治疗等,都可能造成下牙槽神经损伤,导致其支配区域如下唇、下颌、牙齿、舌头、口腔黏膜等出现感觉变化。
通常情况下,患者在牙科治疗后、局部麻醉药效消退的当天就会察觉到感觉异常。然而,延迟性感觉异常较为罕见,可能在治疗后数天甚至数月才出现。在一项针对1377例第三磨牙手术的回顾性研究中,延迟性感觉异常仅占5%,共60例。有学者曾报告过一例第三磨牙手术后因炎性水肿引起的下牙槽神经延迟性感觉异常。延迟性感觉异常的发生时间比治疗后立即出现的典型感觉异常晚数天至数月。
考虑到传统二维影像学检查存在重叠、失真等局限性,锥形束CT即CBCT的应用显著改善了牙齿形态和根管系统的评估能力。CBCT能够清晰显示根管的位置和数量、髓腔的大小和钙化情况、牙根的结构和弯曲度、骨折、医源性损伤以及龋坏范围。凭借小视野的优势,CBCT已成为根管诊断、治疗规划和疗效随访的标准检查手段。本文报告一例通过CBCT确诊的、由根管治疗引发的面中部感觉异常罕见病例,并讨论在面部麻木的鉴别诊断中考虑局部牙科因素的重要性。
一名53岁女性患者因右侧面部麻木就诊于印度昌迪加尔医学教育与研究研究生院口腔健康科学中心牙体牙髓科。患者此前因右上尖牙疼痛接受了急诊根管治疗,治疗后出现右侧面部从上唇到眶下区域的麻木感。患者既往无相关疾病史,也无家族遗传病史。
口外及口内体格检查除感觉异常外,其余均未见异常。口外检查显示从上唇到眶下区域15-20毫米范围内存在明显的感觉改变,如图1所示。口内检查发现右上尖牙的烤瓷冠上有临时充填物,腭侧可见牙龈退缩伴组织脱落,透过该区域能够看到牙胶尖,如图2所示。患者主诉右上象限牙龈特别是尖牙和前磨牙区域有刺痛感。该牙齿叩诊时有轻度不适,颊侧牙龈沟未见肿胀。
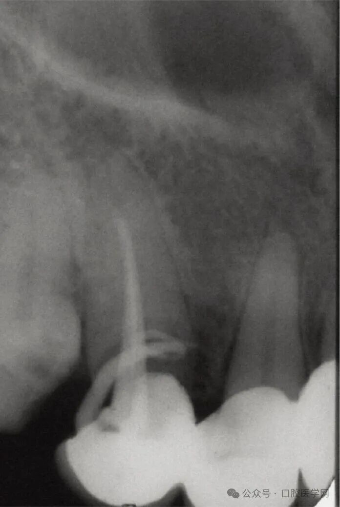
常规根尖片显示右上尖牙根管充填不完全,根尖区有大范围的透射影,牙周韧带间隙消失,硬骨板增宽,如图3所示。但常规片无法明确充填材料是位于根管内还是根管外,也不能准确判断哪颗牙齿是症状的真正来源。CBCT检查证实牙周韧带间隙内存在与根管相邻的不透射充填材料,而根管本身呈空虚状态,如图4和图5所示。尖牙根尖以外未发现被挤压出的充填材料。
患者被诊断为典型感觉异常,病因与炎症过程中的机械压力和缺血相关,包括水肿造成的压迫,或细菌毒性代谢产物、炎症产物导致的症状性根尖周炎。患者计划接受根管再治疗,并已签署知情同意书。去除临时充填物后,发现牙胶尖位于根管外,如图6所示。使用生理盐水和聚维酮碘溶液进行了彻底冲洗。
1周随访时,患者报告麻木感迅速改善。数周后,经口腔医生完成根管治疗,患者丧失的感觉完全恢复。
图1 口外术前照片显示感觉改变区域。
图2 口内术前照片显示13号牙腭侧牙龈退缩伴脱落。
图3 口内术前放射片显示13号牙根管充填不充分,根尖区有大面积透射影。
图4 矢状位锥形束计算机断层扫描显示13号牙根管充填不充分,根尖区有大面积透射影。
图5 横断位锥形束计算机断层扫描显示13号牙牙周韧带间隙内根管充填不充分,根尖区有大面积透射影。
图6 照片显示从13号牙牙周韧带间隙取出的牙胶尖。
根管治疗的基本原则是清除病变牙髓和牙本质,对根管进行充分成形与清洁,并使用生物相容性充填材料对根管空间进行三维密封。充填材料应局限于根管内,不得延伸至根尖周组织或邻近结构,否则可能引发严重的神经毒性并发症,如麻醉、感觉减退、感觉异常、感觉倒错等。根据神经损伤分类,神经失用是最轻的一种神经损伤,由钝性损伤或局部感染产生的压力导致暂时性感觉丧失。
感觉改变或感觉丧失是日常牙科诊疗中相对少见的并发症,多由治疗不当特别是根管治疗不当引起。使用手用锉或机用锉进行根管治疗时,器械超出根管范围或进入牙周韧带间隙,以及充填过度,均可能产生严重的临床表现,如疼痛、肿胀,偶尔还会出现感觉改变。
本例患者中,尽管牙根看似无充填过度,但主牙胶尖及其他辅助牙胶尖通过烤瓷冠的开髓通道进入了牙周韧带间隙。从感觉恢复速度来看,最可能的病因是根尖周组织急性感染产生的压力,因为充填材料对神经的化学作用通常需要更长时间才能恢复。此类神经损伤的典型特征是,消除局部感染引发的压力后,感觉功能可快速恢复。本例中,从根尖周区域的预备根管内取出充填材料,再经生理盐水和聚维酮碘溶液冲洗后,压力即刻缓解,患者在短短2-3周内恢复正常感觉。
尽管本例感觉改变区域由上牙槽前神经、上牙槽中神经及眶下神经支配,这些均为上颌神经分支,但在牙周韧带间隙操作过程中,这些神经分支可能受到损伤,或局部感染可能阻塞了神经副支或牙槽神经丛。
本病例强调,非手术根管治疗特别是通过牙冠进行的治疗过程中需格外谨慎。根管治疗的关键要求包括直线开髓通道预备、根管内器械操作、被动冲洗及良好密封。器械操作时,应通过电子根尖定位仪和放射片确保锉针位于根管内,否则器械超出根管范围或在牙周韧带间隙内操作可能损伤神经,引发感觉异常。
声明:本文转载于<口腔医学网>,仅用于学习交流,如有违规侵权,请立即联系我们。内容仅代表作者个人观点,望大家理性判断及应用。









