
牙龈萎缩知多少,白多红少黑三角。
要问口腔医生对哪些牙齿问题的治疗比较没把握,牙龈萎缩绝对算一个。
引起牙龈退缩的主要原因
1
牙周炎症
这是临床上最常见的牙龈退缩原因。许多主动来牙周科就诊的患者都有相关主诉:牙缝越来越大、牙齿之间有黑三角、吃东西塞牙、牙齿变长、牙根发酸……虽然最终经过了一系列的牙周治疗之后,关于出血、疼痛、一部分的牙齿松动症状都会不同程度好转,但唯独这一类炎症引起的牙龈退缩几乎是无法逆转的,甚至在大多数的时候,肉眼可见的牙龈退缩情况,由于结石的去除和牙龈红肿的退却,反而会变得更加惨不忍睹。
针对牙周炎引起的牙龈退缩,更重要的是预防而非治疗,亡羊补牢往往为时已晚,真正意义上的维持牙周健康,还需从牙龈尚未闹脾气出走之时做起。
牙周炎
2
刷牙不当
发生牙齿缺失如未及时修复或种植,会使缺牙两侧的牙齿向缺牙处倾斜,原本与缺失牙咬合的牙齿会伸长。从而造成伸长牙与两侧牙齿的接触关系异常,加之缺牙区两侧牙齿的倾斜,咀嚼时食物就很容易塞入形态异常的牙缝中。
值得一提的是,很多时候,这种牙龈退缩是有可能被治疗的,通过改善不良口腔习惯,结合牙周治疗,配合移植自体组织或人工材料的软组织手术,抑或是合理的充填和修复治疗,牙龈和牙齿的外观能够得到一定程度的恢复。
过度刷牙导致的牙颈部磨耗和牙龈退缩
3
异常的解剖因素、外力因素、全身因素
牙齿排列不齐可导致牙龈退缩。突出于牙列的那颗牙,往往是最脆弱的那颗牙,也是最爱搞事情的那颗牙。过大的咬合力量、矫正时的牵拉力量、不合适的假牙边缘压迫与偏薄的骨壁和牙龈,使某些牙位更容易成为牙龈退缩开始发生时首当其冲的受害者。而尽管其机制尚未阐明,但例如激素水平、吸烟、内分泌系统疾病等,似乎也对牙龈退缩的产生和进展有某种程度的影响。
脆弱和过薄的牙槽骨与牙龈,牙齿在牙弓中位置异常
牙龈退缩的常见症状
1
图片来源:网络
2
牙齿敏感
楔状缺损
3
健康牙龈
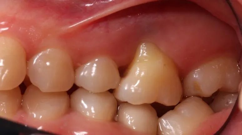
牙周炎引起牙龈退缩
刷牙、咬合创伤引起牙龈退缩
4
牙龈退缩伴有牙缝增大者,容易出现食物嵌塞、邻面龋等症状;牙根过多暴露,则增加了根面龋的发生几率。
牙龈退缩的治疗
1
轻度牙龈退缩,无不适症状,对美观影响不大时,一般不需处理。
2
因牙周炎导致牙龈退缩,首先应进行系统的牙周治疗,恢复牙周组织健康,防止牙周组织因炎症而进一步丧失。
图片来源:网络
3
图片来源:网络
4
图片来源:网络
5
6
定期复查和维护,可以充分巩固疗效,防止牙龈退缩情况进展或复发。
本文来源于网络;版权归原作者所有,如有违规、侵权请联系我们,本平台会及时做出处理。









