髓内钉是治疗不稳定胫骨干骨折的常用技术。与钢板固定术相比,髓内钉的优点包括较小的切口以减少伤口并发症、有限的骨膜剥离以促进骨愈合以及术后快速负重的能力。近年来,髓内钉的适应症迅速扩大,使得更复杂的骨折可以通过“极限髓内钉”技术进行处理。但新型髓内钉系统的发展和不同的置钉技术也面临新的骨折复位的挑战,在某些骨折类型中,对线不良的发生率高达84%。
图1,髓内钉开口:(A) 在正位(AP)图上,导针位于胫骨外侧髁间棘的内侧。(B) 在侧位上,导针位于胫骨关节面的前缘,以避免损伤关节面或半月板,同时防止远端扩髓对胫骨结节和髌腱的影响。
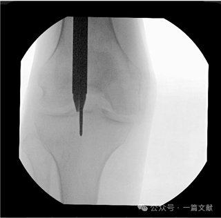
图2,进针点的调整(双针技术):如果第一根针的位置不佳,可以将其保留作为参考,并适当的旋转套筒置入一根新导针,直到获得满意的进针点。在本例中,初始导针偏内侧,因此在外侧置入了一根新导针,使其在正位(AP)上刚好位于外侧胫骨髁间棘的内侧,同时在矢状面上保持相同的位置。这种方法有助于确保髓内钉的准确定位,从而提高手术的精确性和安全性。
图3,术中透视标准正位片,有利于准确评价进针点,此时胫骨外侧缘平分腓骨头,如下图:
图4,“手指”技术调整导针方向:使用“手指”或空心髓内钉复位杆可以帮助骨折复位或调整导针的轨迹。在本例中,在入口扩髓后使用“手指”装置,以防止球头导丝抵住后侧皮质。其有助于提高髓内钉置入的精确性。
-
(A) 钳子是非常有用的辅助工具,尤其是在螺旋形或斜形骨折中,可以通过经皮方式实现解剖复位。
-
(B) 通过手动牵引和锤子或其他工具来维持冠状面对齐,尤其是在严重粉碎性骨折中。也可以在骨折后方放置毛巾垫,特别是在远端三分之一骨折中,以防止成角畸形。
-
(C) 在助手有限的情况下,可以考虑使用外固定器或股骨撑开器,必须妥善地应用以实现骨折复位的同时,避免干扰髓内钉的置入。
-
(D) 腓骨钢板固定特别适用于严重胫骨粉碎性骨折伴简单腓骨骨折的情况,以重新建立胫骨的长度、对线和旋转。
-
(E) 临时胫骨钢板固定可用于复杂骨折或开放性骨折伤口。螺钉可以是单皮质或避开髓内钉路径,以便在髓内钉置入时进行扩髓。在髓内钉交锁后可以移除钢板。
图6,胫骨远端导针的最佳位置:导丝的最佳终点应位于踝穴位,关节面中点稍偏外侧的位置。如下图:
这种方法有助于确保髓内钉的正确位置,避免近端突出。
图8,阻挡螺钉:(也称为“Poller”螺钉)是骨折复位的有效辅助工具,可以在髓内钉置入前预防性地放置,也可以在髓内钉置入后出现畸形时使用。
(A) 在本例中,髓内钉置入后出现了向前成角畸形(procurvatum deformity)。
(B) 在畸形的凹侧后方放置了一枚阻挡螺钉,实现了适当的矫正。
Collinge CA, Rickert MM, Mitchell PM, Boyce RH. Refined Techniques in Tibial Nailing. J Am Acad Orthop Surg. 2025 Mar 1;33(5):e291-e300. doi: 10.5435/JAAOS-D-24-00238. Epub 2024 Nov 26. PMID: 39630954.
-END-
声明:本文转载自<一篇文献>,版权归原作者所有,仅用于学习交流,如有侵权请联系删除。