“克氏针张力带技术”是治疗髌骨横行骨折的最经典技术。
手 术 步 骤
1. 体位摆放
患者仰卧位,患膝垫高轻微屈膝。
常规采用髌骨前方纵行切口,有学者建议为了顺应皮纹获得更好的外观,并方便修复髌韧带扩张部,也可采用下方弧形切口(至于某些关节外科医生建议创伤医生采用弧形切口治疗髌骨骨折,避免伤口疤痕影响后期膝关节置换的说法,你怎么看?),但弧形切口需避免损伤隐神经髌下支。
纵行切开即可显露髌骨表面,清理断端卡压软组织及血肿,膝关节反复冲洗后临时固定:
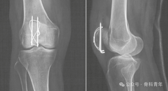
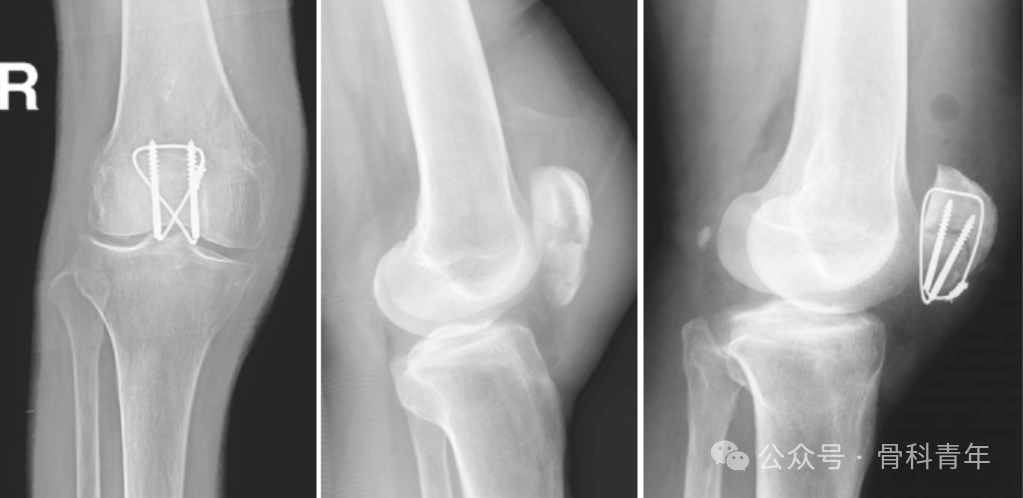
复位钳或巾钳临时维持复位后,经髌骨上缘或下缘,平行置入2枚2mm克氏针,克氏针置入点需距离髌骨前方皮质5mm,在冠状面与矢状面上于髌骨关节面平行。关于克氏针在冠状面上的位置,有学者认为克氏针应紧贴关节面已达到最好的张力带效果,也有学者认为克氏针应位于矢状面中后1/3处。不论哪种方式,克氏针均不可过于靠近髌骨前方,否则膝关节屈膝后后方骨折线张口,无法达到张力带目的。
除克氏针张力带外,对髌骨横行简单骨折,更多学者采用空心螺钉先将骨块复位加压,并通过空心钉孔置入钢丝,可以达到有效的张力带效果,并可避免克氏针滑出。
[参考来源]:
2. 《解放军总医院创伤骨科手术学》
3. 《Operative Techniques Orthopaedic Trauma Surgery》
-END-
声明:本文转载自<骨科青年>,版权归原作者所有,仅用于学习交流,如有侵权请联系删除。









