找准穿刺位置,先用破皮刀开个小口,然后使用穿刺针穿刺;
见回血后,穿刺成功,送入穿刺导丝。
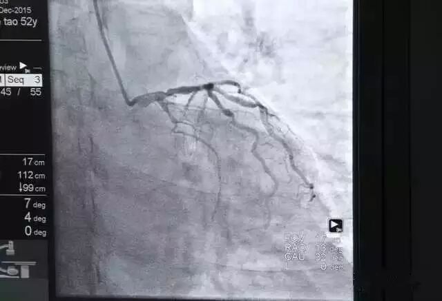
使用环柄注射器推入造影剂,通过X光透视可在电脑屏幕上显示血管形状;
球囊到达预定位置后,医生使用压力泵为球囊加压;
被球囊撑开的支架,形状呈网状;
电脑截图,红色区域为狭窄的血管放入支架后变粗,使得血流正常通过。
退出导管和导丝;
清理干净手臂周围的血迹;
拔出鞘管,用纱布加压;
-END-
声明:本文转载于<龙口三益>,以上仅代表作者本人观点,仅用于学习交流,版权归原作者所有。









