根尖手术包括根尖搔刮术、根尖切除术和根尖倒充填术。【适应证】 1.牙髓和根尖周病经完善的根管治疗后病变仍不愈合的病例。 2.较大的根尖囊肿,根管治疗后不愈合。 3.根管闭锁的慢性根尖周炎。 4.根管内折断器械超出根尖孔的患牙。【操作程序及方法】 1.术前准备 了解全身情况,检查血常规和出、凝血时间无异常,已做根管充填和患牙X线片、洁治和口腔卫生宣教。必要时术前用抗生素。准备和消毒必需的手术器械。

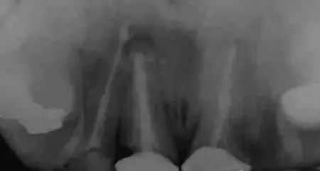
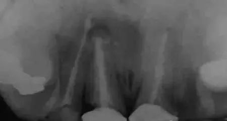
图1 X线显示上11根尖息肉阴影

图2 11牙根部瘘管
2.麻醉、消毒根据患牙选择局部麻醉;常规局部消毒,铺放孔巾。3.切口选择根据患牙数和位置,选用弧形、角形或梯形切口。

图3 弧形、角形或梯形切口

图4 剥离并翻起黏膜骨膜瓣
图5 暴露牙根

图6 切除根尖
4.翻瓣完整地剥离并翻起黏膜骨膜瓣,暴露患牙根尖区牙槽骨板。 5.去骨 若患牙根尖区牙槽骨板已有破坏穿孔,用涡轮手机细裂钻沿穿孔去骨,暴露根尖病变区;若患牙根尖区牙槽骨板无破坏,则用涡轮手机细裂钻做一穿 孔,然后沿穿孔去骨,暴露根尖病变区。6.根尖切除如需做根尖切除,用裂钻或骨凿切除2~3mm根尖,使断面与牙长轴呈45度朝向唇、颊面的斜面。

图7 骨凿切除2~3mm根尖

图8 断面与牙长轴呈45度朝向唇、颊面的斜面7.搔刮 用锐利挖匙沿破坏区骨壁搔刮出去全部的病变组织。8.根尖倒充填如需做根尖倒充填,在根尖切除的根管断面上备洞,用银汞合金、MTA、IRM、super EBA或玻璃离子粘固剂等材料充填。如为根管内折断器 械超出根尖孔者,可由断面根尖孔处向牙根的唇、颊侧冠方做一相应长度的矩形洞,并与根管穿通,取出折断器械后充填。

图9 根管消毒

图10 根尖倒充填9.检查冲洗 仔细检查并去除破坏骨腔内和黏膜骨膜瓣内面残留的病变组织,用等渗盐水彻底冲洗术区。10.搔刮骨面 拭干骨腔,用挖匙轻刮骨面,使新鲜血液充满骨腔。11.缝合将黏膜骨膜瓣复位,对齐切口防止内卷,缝合。
图11 将黏膜骨膜瓣复位缝合

图12 术后X片显示12.术后处理(1)在术区相应的面部加压包扎2~3d,也可在口腔内用牙周保护剂覆盖切口创面,直至拆线。(2)局部做冷敷24h,术后3d给消炎止痛药。(3)搔刮的病变组织送病理检查。(4)告知患者正常的术后反应。3d内术区轻度肿痛、体温低于38℃时可不必处理。(5)术后5~7d拆线。(6)术后3个月复查,X线检查手术效果。【注意事项】 1.切口深达骨面,下方应有骨组织支持,注意避开龈乳头和唇、颊系带。2.手术过程中注意保护黏膜骨膜瓣,切勿过分牵拉和压迫。3.根尖切除的长度不超过根长的1/3。4.搔刮出的病变组织置入盛有甲醛溶液的容器内,送病理检查。5.为避免充填材料碎屑粘入骨腔,可先将生理盐水纱布填满骨腔,充填后取出。
声明:本文转载于<牙医营地>,仅用于学习交流,如有违规侵权,请立即联系我们。内容仅代表作者个人观点,望大家理性判断及应用。









