金属碎片不良反应(ARMD)是全髋关节置换术中罕见的并发症。历史上,髋金属化的患病率在所有MoM假体中最高可达5%,而当金属对金属假体更广泛使用时,其患病率更高。在当代实践中,金属对聚乙烯假体的主流显著减少了金属离子的释放,从而减少了临床上显著的金属化病例。ARMD的发生有多种报告的风险因素,包括股骨头大小、男性性别和炎症性疾病;然而,其病因仍不充分。
影像学表现
一名40岁女性,患有系统性退行性关节病史,双侧金属对金属THAs,左大腿上部出现进展性疼痛和肿胀,22年前首次植入假体。患者最初因感染性髂腰肌囊肿在血管外科就诊,该囊肿与她两年前接受过手术的髋部相连。症状再次出现,影像显示假体附近有大肿块和炎症指标升高。术中发现大量血清化脓液,促使对PJI进行诊断检查。所有培养结果均为阴性,组织病理显示巨噬细胞主导浸润,伴有金属碎片,符合ARMD症状。在感染被彻底排除后,进行了THA修复,并更换了所有组件。患者康复无并发症,六个月随访时,她展示出植入物稳定、功能恢复且无症状复发。

血管造影CT,轴面,髋部区域。以蓝色箭头标记的大型囊性病变与髋关节囊相连,并附有液体。血管造影CT,冠状平面,髋部区域。左侧半骨盆靠近髂骨内侧,标有红色箭头标记的积液。
左腿髋臼部分有骨溶解区,股骨头因聚乙烯磨损而在杯内位置偏心,柄无松动迹象。箭头指示左侧大转子区域出现较为明显的放射性增加区域,暗示软组织肿块,后来手术确认为液体积聚。
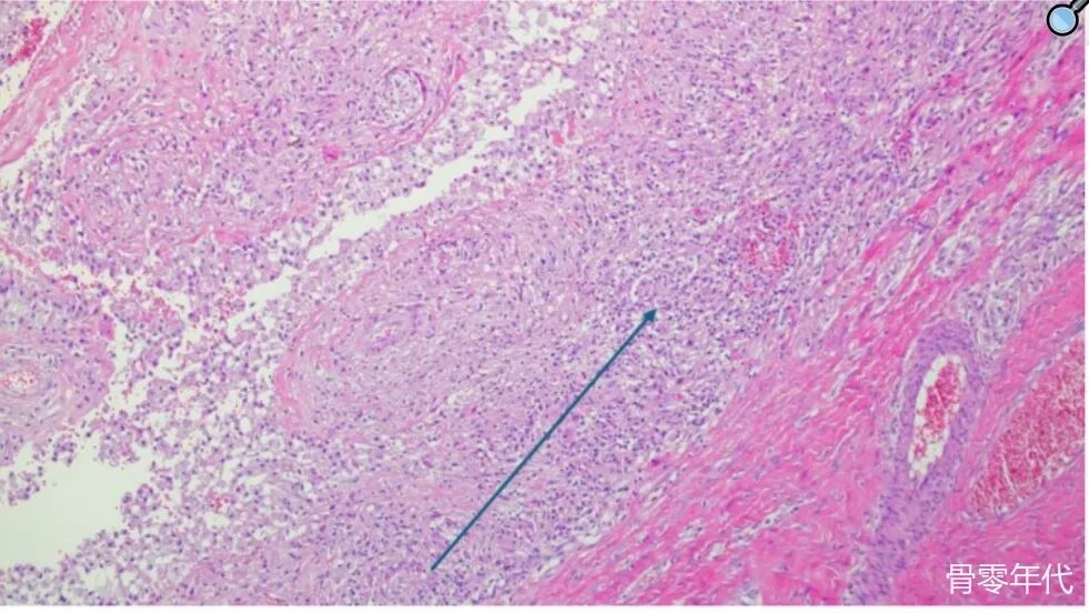
显微镜图像,带有H和E染色,描绘慢性炎症性组织巨噬细胞。箭头指向大量单核细胞的积累(×10倍放大)。
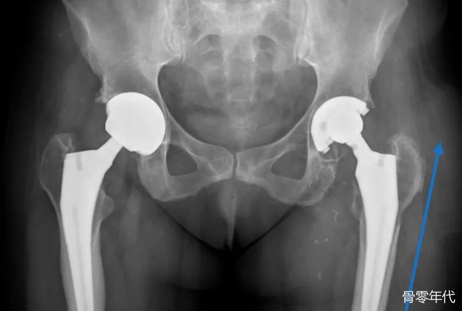
左侧骨盆X光片,翻修髋关节假体。
参考文献:Dan Vlad, Stanescu,Jenel Marian Jr, Patrascu,Ahmed, Abu-Awwad et al. Symptomatic Periarticular Fluid Collection After Total Hip Arthroplasty: Septic or Aseptic Complication? A Case Report and Literature Review.[J] .Reports (MDPI), 2025, 8.
-END-
声明:本文转载自<骨零年代>,版权归原作者所有,仅用于学习交流,如有侵权请联系删除。









