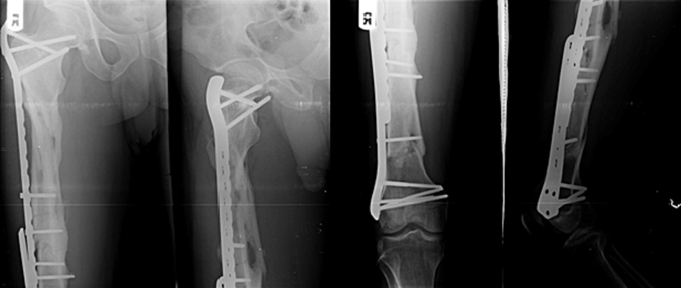
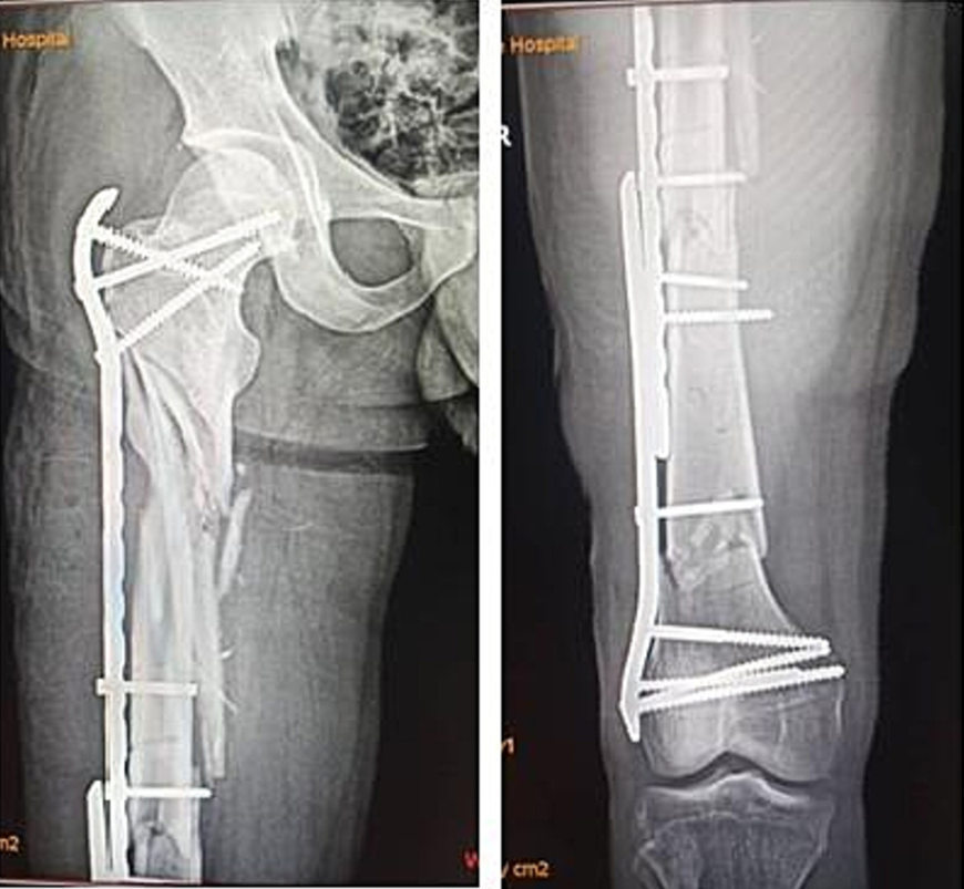
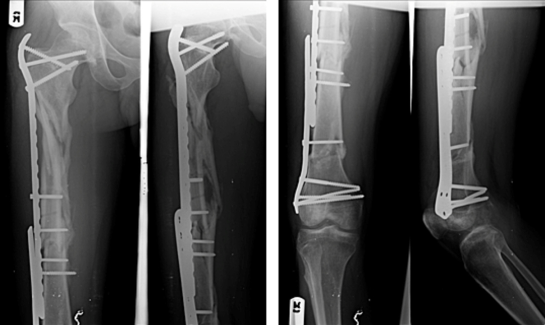
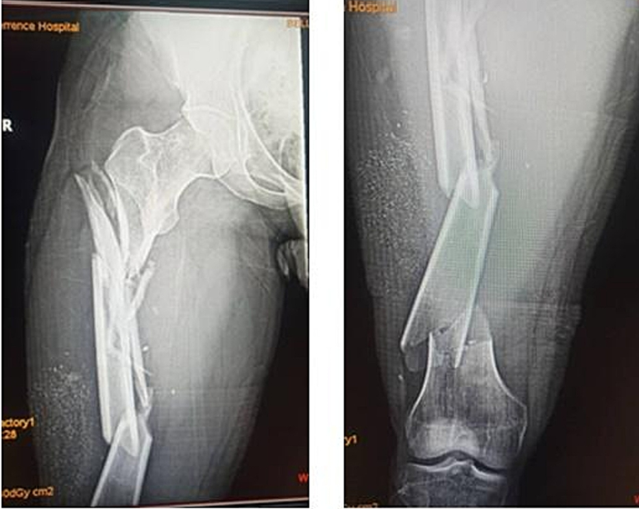
一,背景:复杂股骨骨折是指股骨干合并近端或远端骨折的复合型损伤,仅占所有股骨骨折的5%,治疗极具挑战性。单一内固定方案常难以实现有效固定,现有文献报道了多种治疗方式但疗效参差不齐。本病例报告展示了一例股骨近端严重粉碎性骨折合并远端节段性骨折的患者,其骨折极不稳定需手术治疗。据我们所知,此类复杂骨折类型在文献中极为罕见,关于其固定方式的报道几乎空白。本例采用微创双钢板重叠固定技术,分别于骨折区域上下方应用桥接型股骨近端锁定钢板与刚性股骨远端锁定钢板。二,案例:一名38岁男性患者因交通事故致右大腿闭合性损伤,表现为疼痛、畸形、肿胀及无法负重,至我院急诊就诊。患者为轿车后排乘客,车辆高速行驶时右侧遭受正面碰撞。查体见右大腿明显肿胀伴压痛。右大腿平片显示:右股骨近端节段性粉碎骨折合并远端两处横行骨折(图1)。采用微创钢板接骨术。经三个外侧切口显露股骨(图2)。采用间接复位技术,实现近端骨块的相对对位,并在透视引导下置入两块锁定钢板:股骨近端锁定钢板(PFLP)采用顺行置入,股骨远端锁定钢板(DFLP)采用逆行置入。两钢板重叠区域通过两枚皮质骨螺钉经对应孔道实现骨固定(图3)。术后给予镇痛药物、深静脉血栓预防及抗生素预防治疗,患者恢复顺利。引流管于术后第2天拔除,指导患者使用腋拐行走,右下肢禁止负重。术后第5天出院,嘱2周后返院拆线。在物理治疗师指导下,分别于术后6周及12周开始部分负重及完全负重行走。术后即刻X线片显示内固定位置良好(图4)。桥接钢板固定的近端区域可见四皮质骨痂形成,术后6个月(图5)及9个月(图6)X线片。远端节段性骨折线呈渐进性消失,术后9个月X线片显示骨折线完全消失(图6)。三,总结:此类复杂性股骨骨折属于罕见的高能量创伤。本文报道了采用微创双钢板接骨术成功治疗复杂股骨骨折的案例,结果显示骨折及时愈合且临床疗效良好。文献来源:Kabiru Salisu, Ifeanyi Kene Aghadi,Minimally invasive dual plating of a complex femoral fracture; a case report,Trauma Case Reports,Volume 43,2023,100768,ISSN 2352-6440, https://doi.org/10.1016/j.tcr.2023.100768.