胫骨近端骨折透视成像的标准体位与观察要点,AO也有指南,尤其是最后,介绍了内、外侧胫骨平台的特殊透视技巧,一看就会。
1. 概述
采用以下体位可显著提升胫骨近端骨折解剖复位效果及内植物植入位置的透视显影清晰度:
标准体位包括:
●前后位(AP view)
●侧位(Lateral view)
●10°头倾前后位(AP with 10° cephalic tilt view)
●45°内外旋前后位(AP view with 45° external and internal rotation)
●评估内外侧平台的改良侧位(Modified lateral views to assess the medial and lateral plateau)
以下为患者仰卧位时的理想成像操作规范。
无论患者采取何种体位,胫骨近端与射线束的相对位置关系均保持不变,需相应调整C臂机的摆放角度。
2. 胫骨近端前后位
最佳体位摆放要求
获取胫骨近端标准前后位影像需满足:
●患侧下肢完全伸直并处于中立旋转位;
●射线束与胫骨长轴垂直。
膝关节屈曲30°时拍摄的前后位影像,与下肢完全伸直位的影像表现无显著差异;AP images obtained with the knee in 30° flexion will not be very different from those recorded with the leg in full extension.
膝关节屈曲90°时则无法获取标准前后位影像。
最佳影像的验证标准
满足以下条件即为胫骨近端最佳前后位影像:
●髌骨尖正对股骨髁间窝中心;
●腓骨头与胫骨近端外侧缘的重叠范围占腓骨头的1/4至1/3;
●射线束中心点对准胫骨平台。
可识别的解剖标志与线条
胫骨近端前后位影像中可清晰识别的解剖标志与线条包括:
1.外侧胫骨平台、
2.髌骨、
3.腓骨头、
4.内侧胫骨平台、
5.外侧胫骨棘、
6.内侧胫骨棘。
临床观察要点
该体位尤其适用于判断以下情况:
●关节内骨折复位不良(关节面台阶征);
●关节内植入物位置;
●内翻或外翻应力下关节间隙增宽(提示侧副韧带损伤);
●胫骨棘撕脱骨折(提示交叉韧带损伤);
●关节面与胫骨长轴的夹角是否正常(正常范围85°-90°)。
可拍摄健侧肢体影像作为对照参考。
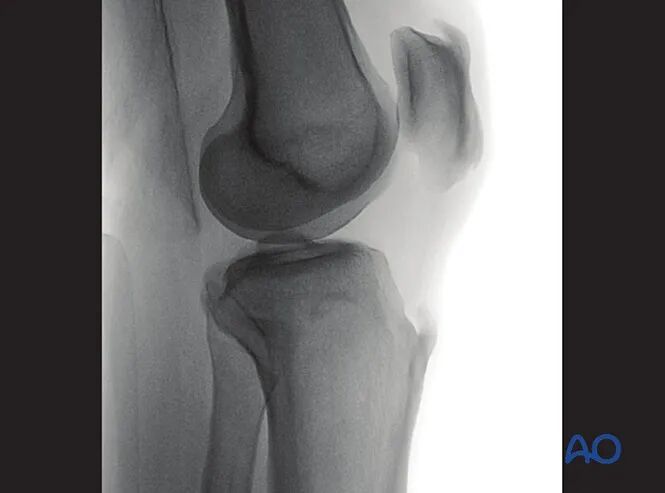
3. 胫骨近端侧位
最佳体位摆放要求
获取股骨远端标准侧位影像需满足:
●患侧下肢屈曲抬高膝关节;
●下肢保持中立旋转位。
最佳影像的验证标准
满足以下条件即为胫骨近端最佳侧位影像:
●射线束平行于胫骨关节面(或垂直于胫骨长轴);
●股骨内外髁的前、远端及后缘完全重叠;
●股骨内外髁居中显示于影像屏幕。
可识别的解剖标志与线条
胫骨近端侧位影像中可清晰识别的解剖标志与线条包括:
1.外侧胫骨平台(凸面线影)
2.内侧胫骨平台(凹面线影)
3.胫骨棘
4.胫骨结节
5.骨骺线瘢痕。
临床观察要点
该体位尤其适用于判断以下情况:
●内外侧胫骨平台复位不良;
●胫骨棘复位不良;
●胫骨平台相对于股骨的前后向半脱位(提示交叉韧带损伤);
●关节内植入物位置。
4. 胫骨近端10°头倾前后位
最佳体位摆放要求
以标准前后位为基础体位,
将C臂机向尾侧倾斜,直至清晰显示胫骨真实关节面,倾斜角度约为10°。
最佳影像的验证标准
满足以下条件即为胫骨真实关节面的最佳影像:
●胫骨关节面居中显示于影像屏幕;
●内侧与外侧关节面线影完全重合。
可识别的解剖标志与线条
该体位下可识别的解剖标志与线条包括:
1.外侧胫骨平台(凸面线影)
2.内侧胫骨平台(凹面线影)
3.内外侧胫骨棘
4.骨骺线瘢痕。
临床观察要点
该体位尤其适用于判断以下情况:
●关节面复位不良;
●关节内植入物位置;
●关节面与胫骨长轴的夹角是否正常(正常范围85°-90°)。
5. 评估外侧胫骨平台的改良侧位
最佳体位摆放要求
以标准侧位为基础体位,
将患侧下肢外展约10°-20°。
最佳影像的验证标准
满足以下条件即为评估外侧胫骨平台的最佳改良侧位影像:
●外侧胫骨平台的凸面轮廓在关节间隙内清晰显示,且位于内侧胫骨平台凹面的头侧;
●外侧胫骨平台居中显示于影像屏幕。
可识别的解剖标志与线条
该体位下可识别的解剖标志与线条为:
外侧胫骨平台。
临床观察要点
该体位尤其适用于判断以下情况:
●关节面不平整;
●植入物穿入关节腔。
6. 评估内侧胫骨平台的改良侧位
最佳体位摆放要求
以标准侧位为基础体位,
将患侧下肢内收约10°-20°。
最佳影像的验证标准
满足以下条件即为评估内侧胫骨平台的最佳改良侧位影像:
●内侧胫骨平台的凹面轮廓在关节间隙内清晰显示,且位于外侧胫骨平台凸面的头侧;
●内侧胫骨平台居中显示于影像屏幕。
可识别的解剖标志与线条
该体位下可识别的解剖标志与线条为:
内侧胫骨平台。
临床观察要点
该体位尤其适用于判断以下情况:
●关节面不平整;
●植入物穿入关节腔。
-END-
声明:本文转载自<骨创伤笔记>,版权归原作者所有,仅用于学习交流,如有侵权请联系删除。









