髋部骨折是全球公共卫生面临的一项重大挑战,尤其在老龄化人口中发病率较高,对疾病负担和医疗系统造成严重影响。这与其他类型的骨折有所不同。髋部骨折的高发病率主要源于骨质疏松症,后者是老年人常见的骨骼疾病,其特点是骨矿物质密度低,导致骨骼脆弱,容易发生骨折。髋部骨折后,老年人常面临长期卧床、活动能力丧失以及严重并发症的风险,甚至致命,因此,髋部骨折被称为“人生的最后一次骨折”。
全球范围内,髋部骨折的负担呈上升趋势。2000年,全球约发生160万例髋部骨折,到2010年这一数字增加至270万。预计到2050年,髋部骨折的发生率将翻倍,其中超过一半发生在亚洲。据统计,我国每年新增髋部骨折病例超过 100 万,且呈逐年上升趋势。
解剖学
熟悉髋关节肌肉骨骼解剖对于理解正常关节反作用力如何影响骨折愈合至关重要,同时也凸显了恢复解剖结构的重要性。
骨学与肌肉附着
髋关节为滑膜关节,由股骨头和股骨颈构成。股骨头通过股骨颈斜向下外侧连接至股骨干,股骨颈位于大转子和股骨小转子之间。股骨颈与股骨干内侧所成角度约为127°,正常范围在120°至140°之间。股骨颈前倾角由股骨颈轴线与经股骨髁轴线夹角定义。股骨距是起自股骨颈后方、延伸至股骨近端后内侧骨干的致密松质骨支柱,它在提供结构支撑、将股骨头应力分散至股骨近端方面起关键作用。因此,股骨距的完整性是髋部骨折治疗中选择合适植入物的重要考量因素。
股骨颈内包含抗压与抗拉骨小梁,它们围成Ward三角。该三角上界为抗拉骨小梁,内下界为抗压骨小梁,是骨密度较低的区域(图1)。近期研究表明,骨小梁退化与股骨颈骨折发生密切相关,而Ward三角扩大则与股骨粗隆间骨折相关。
图1. (左)一位30岁女性患者的右髋X光片。(右)一位98岁男性患者的右髋X光片。注意右图中Ward三角(WT)的大小明显大于左图,并且与左图相比,右图中主要抗压骨小梁(A)和主要抗拉骨小梁(B)的退变更明显。
了解股骨近端肌肉解剖有助于理解骨折块的变形力及指导手术入路。臀小肌与臀中肌分别止于大转子前外侧和外侧,共同作为主要髋外展肌。髂腰肌腱止于股骨小转子,是主要髋屈肌。髋外旋肌群包括梨状肌、上孖肌、下孖肌、股方肌和闭孔外肌,它们大多止于大转子内侧;梨状肌和闭孔内肌例外,分别止于大转子上内侧和转子间嵴。
血管解剖
股骨头与股骨颈的血供解剖对评估股骨近端骨折后缺血性坏死风险至关重要(图2)。其主要血供来自旋股内侧动脉,近期研究也强调了臀下动脉的重要性。旋股内侧动脉起源于股深动脉和股总动脉,走行于梨状肌与髂腰肌之间,随后分为深支和降支。深支行经股方肌与闭孔外肌之间朝向股骨头,进入髋关节囊后部。进入关节内后,动脉分为后上滋养动脉,此为股骨头颈最重要的血供来源。近期对臀下动脉的研究显示,它为股骨头提供了重要血供,在某些解剖变异中甚至是优势血供来源。臀下动脉的远侧深支在进入髋关节囊后下部前与旋股内侧动脉吻合。其他血管如旋股外侧动脉、臀上动脉、闭孔动脉及位于股骨头圆韧带内的闭孔动脉髋臼支,对股骨头血供贡献较小。
图2. 股骨近端血管解剖。股骨头的主要血液供应来自旋股内侧动脉,该动脉在穿入关节囊形成其终末支持带分支前向后上方走行。
神经解剖
需简要概述跨越髋关节区的神经。闭孔神经与股神经沿髋关节囊前内侧走行。臀上神经紧邻关节囊后部。坐骨神经于梨状肌下方走行,位于髋外旋肌群后方。需注意可能存在解剖变异,如坐骨神经腓总分支可能穿过或越过梨状肌。另一在髋关节开放手术入路中易损伤的神经是股外侧皮神经,其在髂前上棘内侧约2厘米处穿出,随后分为两支跨过阔筋膜张肌前缘。
骨质疏松与衰老在老年骨折中的作用
衰老伴随股骨颈结构改变,增加骨折风险。皮质骨孔隙率随年龄增长而增加,从年轻健康者的4%增至老年人的近50%。此外,皮质骨微裂纹逐渐积累并随高龄显著增多,女性积累速度通常快于男性。骨胶原的非酶促交联亦对骨骼产生不利影响。这些骨材料特性的变化降低了皮质骨的弹性(材料刚度)、强度(破坏载荷测试中的最大应力)及关键的断裂韧性(骨折所需能量),从而增加低能量骨折风险。同时,股骨颈皮质随年龄增长而扩张,骨内膜扩张甚于骨膜扩张,导致皮质变薄。特别是股骨颈上缘皮质变薄更为明显,因其承重较下缘区域少,故骨折风险更高。
髋部骨折的分类
髋部骨折可根据其与髋关节囊的关系分类。因此,骨折可分为囊内(如股骨颈骨折)和囊外(如股骨粗隆间骨折和转子下骨折)。本综述重点讨论股骨颈与股骨粗隆间骨折类型。
囊内髋部骨折 (股骨颈骨折)
股骨颈骨折可根据其在股骨颈内的位置进行描述性分类,或采用Garden、AO/OTA或Pauwels分类(图3)。位于股骨头与股骨颈交界处的骨折称为头下型骨折,经颈型骨折位于股骨颈中部,基底型骨折则位于股骨颈基底部。
图3. 髋部骨折根据Garden (A)、Pawels (B) 和 AO/OTA (C) 进行的分类。
Garden分类是老年髋部骨折最常用的分类方法,基于髋关节前后位X光片评估的骨折移位程度。传统Garden分为四型:Ⅰ型为不完全、外翻嵌插骨折;Ⅱ型为完全、无移位骨折;Ⅲ型为部分移位骨折;Ⅳ型为完全移位骨折。
其改良版简化为无移位与移位两类。一项评估研究发现,传统分类的κ系数(可靠性)为0.31(一般),而改良系统为0.52(中等),显示改良Garden分类具有更高的观察者间可靠性,应用更广。此分类对制定手术策略有指导意义,移位骨折通常考虑关节成形术。
Pauwels分类主要用于生理学上年轻患者的高能量股骨颈骨折。该分类基于Pauwels角,即骨折线与股骨头上缘切线之间的夹角。Ⅰ型骨折角小于30°,Ⅱ型介于30°至50°,Ⅲ型大于50°。理论上,骨折角度越大,骨折端剪切力越大,可预测骨不连或复位丢失风险。尽管其预测价值存在争议,但改良的Pauwels角测量法(定义为垂直于解剖轴线的假想线与骨折线之间的夹角)可能提高可靠性。回顾性研究显示,较高的改良Pauwels角是骨不连和缺血性坏死的风险因素。
AO/OTA分类系统用于所有骨折分类,虽被广泛认可,但主要用于科研。股骨颈骨折的31-B分型:31-B1为股骨颈头交界处骨折伴轻微移位;31-B2为股骨颈中部骨折;31-B3为股骨颈头交界处骨折伴移位。
囊外骨折(股骨粗隆间骨折)
股骨颈骨折定义为股骨颈与股骨较小粗隆之间的骨折。其Evans分类基于骨折位置、方向及稳定性。但对临床决策最关键的是判断骨折类型是否稳定,因其直接影响植入物选择。稳定性取决于股骨距或股骨近端后内侧皮质的完整性。此外,反斜形骨折(近端内侧至远端外侧成角)通常被视为不稳定,因股骨干有向内侧移位的趋势。横行转子或经转子骨折(骨折线穿出外侧皮质)也属不稳定类型。
股骨粗隆间骨折的AO/OTA分类为31-A:31-A1为稳定骨折;31-A2为不稳定骨折;31-A3为反斜形骨折或涉及外侧皮质的骨折。
髋部骨折的治疗
治疗主要目标是早期活动,以降低术后并发症风险并改善长期生存率。因此,除非患者合并症导致手术风险过高,通常建议手术治疗。
股骨颈骨折的手术治疗
无移位股骨颈骨折:内固定与关节成形术
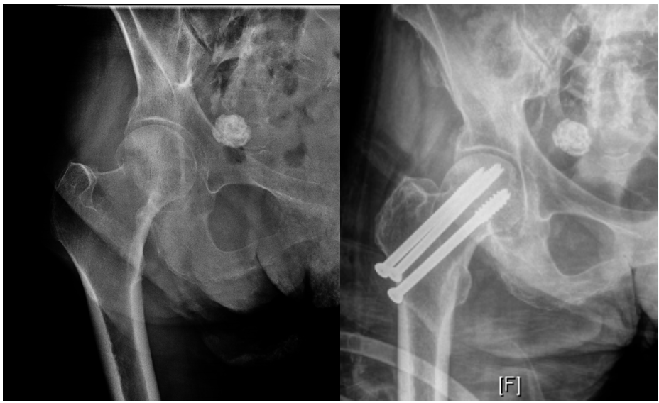
对于大多数患者,无移位的 Garden I 型和 II 型骨折通常采用内固定治疗(图2)。目前的固定技术主要包括空心螺钉系统和滑动髋螺钉装置。空心螺钉系统需经皮置入2-4枚螺钉跨越骨折线至股骨头;滑动髋螺钉装置则通过侧方钢板套筒内的拉力螺钉实现滑动加压。这两种技术均可微创操作,具有手术时间短、失血少、术后即刻并发症发生率低于关节成形术的优点。
图4. Garden I型骨折内固定术示例X线片(左:术前,右:术后)。
多项研究比较了空心螺钉与滑动髋螺钉治疗无移位股骨颈骨折的效果,普遍认为两者疗效相当。有大型荟萃分析指出,在骨折愈合并发症、再手术率或死亡率方面,未发现一种技术明确优于另一种。但需注意,滑动髋螺钉通常手术时间更长,失血量也更多。
近期一项大型国际多中心随机对照试验(FAITH试验)也得出了类似结论,在包括无移位和移位骨折的患者中,两种固定技术在24个月内因髋部问题再手术的主要终点上无显著差异,在骨不连、内固定失效、感染等方面亦无不同。
总体而言,顺利愈合的无移位骨折内固定术可获良好功能结果,多数患者能恢复伤前活动水平。但存在的问题常与股骨颈塌陷或短缩有关,这可能损害髋外展肌功能与步态。研究显示,即使仅5毫米的短缩也可能影响预后,超过10毫米时影响尤为显著,常导致再手术。其他需再手术的原因包括缺血性坏死(约6%)和骨不连(约7%)。无移位骨折的总体再手术率约为14%。
鉴于内固定术后可能发生愈合并发症,对于无移位骨折也可考虑直接行关节成形术。有研究比较了内固定与半髋关节置换术,发现内固定组再手术率更高,但一年死亡率更低,疼痛更轻,功能更好,且手术时间与住院时间更短。然而,这些比较是在无移位骨折(行内固定)与移位骨折(行半髋置换)患者间进行的,需谨慎解读。
另一项专门针对70岁以上无移位骨折患者的随机对照试验显示,在两年随访时,螺钉固定组与半髋置换组在髋关节功能或疼痛方面无显著差异。但半髋置换组活动能力更佳,且重大再手术风险显著更低。这表明,对于生理储备较差、可能无法耐受二次手术的特定老年群体,半髋置换术可能更具优势。
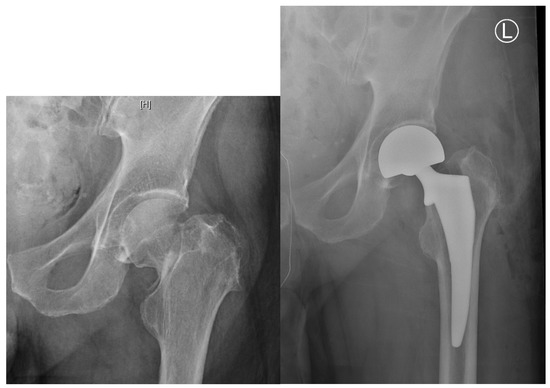
移位股骨颈骨折:内固定与关节成形术
移位性 Garden III 型和 IV 型骨折的治疗选择更多样。年轻患者(通常小于60岁)多倾向内固定,高龄患者(通常大于80岁)多选择关节成形术,而60-80岁患者则需个体化考量,可选择内固定、半髋或全髋关节置换术。
关节成形术避免了内固定可能出现的骨不连和缺血性坏死风险,但引入了手术时间延长、失血增多、脱位、假体松动、感染率增加及髋臼软骨磨损等风险。多项前瞻性随机对照试验表明,对于移位骨折,关节成形术在治疗失败率、再手术率及功能结果方面均优于内固定。
例如,一项瑞典的多中心研究显示,两年随访时内固定组失败率达43%,而关节成形术组仅6%,且在行走能力和疼痛方面关节成形术组优势显著。十年随访时,失败率的差异依然显著,但死亡率和患者报告结局(如行走疼痛、活动能力)无差异。其他大型试验也证实了关节成形术再手术率显著更低,且功能与生活质量更佳。
内固定失败后转行全髋关节置换术(挽救性手术)的效果,常不及初次即行全髋置换术。研究表明,挽救性全髋置换术的早期并发症(如感染、脱位)更多,功能结果也更差。这提示,对于可能无法耐受二次手术的老年衰弱患者,初次即行关节成形术可能是更佳选择。
移位股骨颈骨折:半髋与全髋关节置换术
尽管关节成形术优于内固定已成共识,但对老年患者选择半髋还是全髋置换仍存争议(图5)。传统观点认为,半髋置换适用于需求低、合并症多的患者;而全髋置换可能为活动能力强、独立的患者带来更好功能。但近期研究证据不一。
图5. Garden III型骨折全髋关节置换术示例X线片(左:术前,右:术后)。
有研究发现,对于伤前独立的患者,全髋置换在行走和功能评分上优于半髋置换,且这种优势在60-74岁患者中比75岁以上者更明显。其他研究也支持全髋置换在活动距离和功能评分上的优势。
然而,亦有研究得出不同结论。有大型随机对照试验在平均81岁的患者中发现,半髋与全髋置换在髋关节评分、翻修率及死亡率上无差异,但全髋置换手术时间更长、失血更多、脱位率更高,因此不建议70岁以上患者常规使用全髋置换。另一项针对八旬老人的试验也显示二者在疼痛、功能、生活质量及再手术率上无差异。大型国际多中心试验(HEALTH试验)同样报告,在两年内二次髋部手术率、死亡率及髋关节不稳定方面,两组无差异;全髋组功能虽有改善,但未达临床重要差异阈值。
脱位是全髋置换相较于半髋置换常被提及的风险。尽管早期荟萃分析显示全髋置换脱位风险是半髋的2.5倍,但近期分析指出,半髋置换的脱位发生时间较晚,在超过四年的随访后,二者脱位风险无显著差异。因此,若患者预期寿命较长,不应仅因顾虑脱位而选择半髋置换。
为降低脱位风险,双动杯全髋关节置换术被应用于股骨颈骨折治疗。其设计包含一个额外的活动聚乙烯衬垫,通过增加股骨头直径来提高稳定性。系统评价显示,双动杯用于初次全髋置换的脱位率极低,用于股骨颈骨折治疗时也显示出良好效果。尽管前景可观,但仍需更多长期随访的随机试验验证。
总体而言,选择半髋或全髋置换应个体化,综合考虑患者基线活动能力、生理储备及合并症。对于需求低、并发症风险高的患者,半髋置换是合理选择,其手术更简单、出血少、感染风险低,但需平衡稍高的脱位及远期翻修风险。对于活动能力强、预期寿命长的患者,全髋置换可能更有利,有望更好地恢复功能。双动杯全髋置换为传统全髋提供了脱位风险更低的替代选项。
移位股骨颈骨折可以选择骨水泥型或非骨水泥型半髋关节置换术。骨水泥型股骨柄可能会增加脂肪栓塞的风险,从而引发心肺并发症。然而,非骨水泥型柄则有更高的假体周围骨折风险。一项随机对照研究表明,非骨水泥型半髋关节置换术的骨折发生率显著高于骨水泥型,而且一年后的功能评分也较差。荟萃分析进一步显示,非骨水泥型柄的总体并发症率以及与植入物相关的并发症也显著增加。因此,考虑到较高的假体周围骨折发生率和较差的功能结果,移位股骨颈骨折患者应优先选择使用骨水泥型股骨柄。
股骨粗隆间骨折的手术治疗
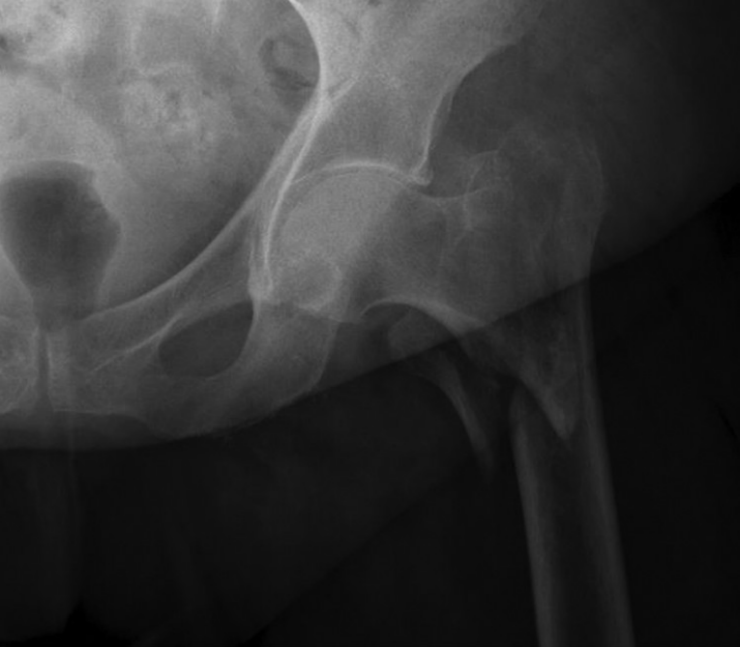
植入物的选择主要取决于骨折的稳定性和外侧皮质的完整性。稳定型股骨粗隆间骨折通常具有完整或复位良好的后内侧皮质支撑(图6),这样可以帮助股骨近端分布应力并承受内侧压力。与此不同,不稳定型骨折在使用髓外固定时往往难以保持股骨近端的复位。这类骨折通常包括:因粉碎或大块骨折块损伤的内侧股骨距,延伸至转子下区域的骨折,反斜形骨折,或是涉及外侧皮质的经转子骨折。(图7-10)
图6. 股骨粗隆间稳定型骨折X光片(AO/OTA分型 31-A1)。注意内侧股骨距区域无粉碎性骨块。
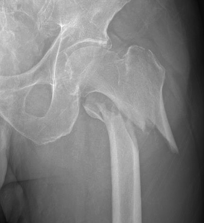
图7. 左髋X光片显示不稳定的股骨粗隆间伴有分离的后内侧骨折块(AO/OTA 31-A2)。
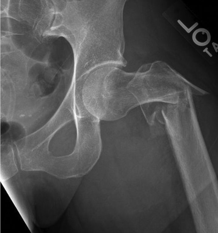
图8. 反斜行股骨粗隆间骨折(AO/OTA分型 31-A3型骨折)。
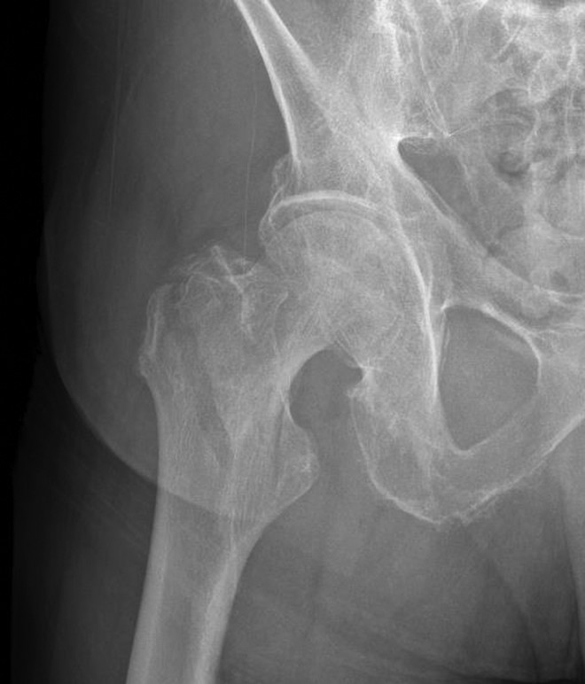
图9. 不稳定型股骨粗隆间骨折,除存在股骨转子下延伸外,还伴有后内侧骨块(AO/OTA分型 31-A2型骨折)。
图10. 不稳定型经粗隆骨折(AO/OTA分型 31-A3型骨折)。
髓内固定比滑动髋关节螺钉提供更强的生物力学稳定性,尤其对于不稳定型骨折至关重要。缺乏接触的后内侧骨块会导致更大的内侧压力,转移至植入物。髓内固定装置能够更接近股骨头中心的力线,并且力臂较短,因此在相同作用力下,髓内钉的弯矩更小,能承受更大的破坏载荷(图11)。研究表明,使用髓内钉装置能显著减少骨折移位的风险,且其破坏载荷与滑动髋关节螺钉相当。前瞻性研究也表明,髓内固定术后不稳定型骨折的影像学结局较滑动髋关节螺钉更优,且骨不连的发生率更低。
图11. 示意图显示,与滑动髋螺钉(B)相比,髓内装置(A)更靠近通过股骨头中心的力矢量作用线,且力臂更短。因此,在相同作用力下,髓内钉承受的弯矩更小,能够抵抗更高的载荷直至失效。
反斜形和经转子骨折中的外侧壁骨折会影响骨折的稳定性,通常需要使用髓内固定。研究发现,使用滑动髋螺钉时,外侧皮质壁骨折是导致治疗失败的一个重要预测因素。从生物力学角度来看,外侧皮质壁提供外侧支撑,一旦发生骨折,使用滑动髋螺钉可能导致股骨干内移和股骨近端组件外移,从而丧失复位。此外,反斜形骨折的骨折面与滑动拉力螺钉的方向接近,使用这种植入物可能导致股骨颈塌陷,复位失败。回顾性研究显示,滑动髋螺钉治疗反斜形或经转子骨折的失败率高于95°角钢板,而髓内固定的失败率则低于95°角钢板。因此,对于这类骨折,尤其是伴有外侧壁骨折的股骨粗隆间骨折,髓内钉更为适合,它可以替代外侧壁,防止股骨干内移和股骨近端组件外移。
滑动髋螺钉固定的常见失败机制是股骨颈内翻塌陷,导致拉力螺钉切出。为了解决这一问题,设计上引入了带侧方钢板的螺旋刀片,通过增强骨质疏松股骨颈部的锚固力来降低失败风险。生物力学研究表明,螺旋刀片的抗拔出力和旋转稳定性明显优于标准拉力螺钉。一项临床研究比较了在稳定和不稳定骨折中使用螺旋刀片与拉力螺钉的滑动髋关节螺钉,结果显示,螺旋刀片组的固定失败率显著低于拉力螺钉组,且植入物向股骨头内迁移的比例较低,尽管两组的再手术率和切出率相似。因此,带螺旋刀片的侧方钢板提供了更好的生物力学和临床优势。
股骨粗隆间骨折髓内固定中,螺旋刀片与拉力螺钉在切出率和失败率上有所不同。一项回顾性研究涉及350多名患者,结果显示螺旋刀片的切出率是拉力螺钉的两倍。切出主要发生在股骨头外侧,导致股骨头内侧切出,而非上方切出,且未发现尖顶距与切出风险相关。另一项研究在126例低能量髋部骨折患者中比较了两种螺钉类型,结果显示切出率为5%,且仅出现在螺旋刀片组。切出主要为内侧切出,同样与尖顶距无关。尽管早期研究认为两者差异不大,近期数据更支持拉力螺钉的优势。未来需要更多高质量研究以确定最佳方案。
结论
髋部骨折是一项重大的全球性医疗问题,随着老龄化加剧,其患病率可能进一步上升。老年髋部骨折的手术治疗目标是实现早期活动和负重。移位股骨颈骨折通常采用关节成形术,而无移位或轻微移位骨折可采用松质骨螺钉或滑动髋关节螺钉固定,近期证据支持对部分患者优选滑动髋关节螺钉。股骨粗隆间骨折选择滑动髋关节螺钉抑或髓内钉固定,取决于骨折整体稳定性及外侧皮质壁是否受累。总体而言,仍需进一步研究以明确并确定能为老年髋部骨折患者提供最佳成本效益护理的治疗策略。
参考文献:
1.Young Lu, MD and Harmeeth S. Uppal, MD, MS, FACS.Hip Fractures: Relevant Anatomy, Classification, and Biomechanics of Fracture and Fixation.
2.Ellen Lutnick , Jeansol Kang and David M. Freccero, Surgical Treatment of Femoral Neck Fractures: A Brief Review.
-END-
声明:本文为原创内容,作者<perry>,版权归原作者所有,仅用于学习交流,未经授权禁止转载!









