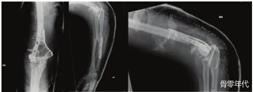
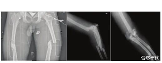
影像学表现
2
讨论
参考文献
Gianluca, Bisinella,Nicola, Bellon,Floating elbow in a polytrauma patient: timing and surgical strategy.[J] .Injury, 2016, 0: 0.
-END-
声明:本文转载自<骨零年代>,版权归原作者所有,仅用于学习交流,如有侵权请联系删除。
2026
作者
骨零年代
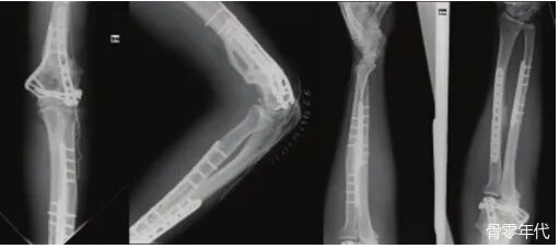
影像学表现
2
讨论
参考文献
Gianluca, Bisinella,Nicola, Bellon,Floating elbow in a polytrauma patient: timing and surgical strategy.[J] .Injury, 2016, 0: 0.
-END-