多年来,已有多种由Frosch和Lobenhoffer等作者提出的后外侧入路被描述;这些入路可分为两类:伴或不伴腓骨截骨。
这些技术的主要缺点包括:较大的皮肤切口、难以显露胫骨外侧表面、后外侧TP角损伤发生率高,以及在某些情况下需要行腓骨头截骨。
本期介绍的手术入路是对众所周知的Frosch入路的一项简单改进:皮肤切口长约12厘米,呈“S”形,中心位于腓骨头上方。它起于胫骨结节远端6厘米、胫骨嵴外侧2厘米处,向近端延伸,在腓骨头水平向后弯曲,并在最靠近端部分恢复直线;终止于股骨外侧髁后方4厘米处。
这种创新入路使创伤外科医生能够获得对后侧胫骨平台骨折的最佳显露和控制,其巨大优势是能够通过同一手术切口处理外侧胫骨平台。故分享供临床骨科医师参考:
手术技术
强烈建议在术前计划中进行CT扫描的3D重建。在手术前预先了解骨折块的数量和移位程度,将极大地帮助骨科医生尊重解剖形态、限制手术侵袭性并简化手术步骤。
在手术过程中,患者取1/4背外侧卧位。建议在患侧膝关节下方使用支撑垫,施加外翻应力,以便在手术过程中获得更宽的关节间隙。此体位也允许术中有更大的肢体移动和旋转可能性,并且在需要内侧胫骨手术入路时可轻松改变患者体位。
切口前必须识别解剖标志:腓骨头、髌骨、膝关节线、胫骨嵴和股骨外髁。
皮肤切口长约12厘米,呈“S”字形,中心位于腓骨头正上方。切口起自胫骨结节下方6厘米、距胫骨嵴外侧2厘米处,向近端延伸,在腓骨头水平向后弯曲,并在近端部分恢复直线;止于股骨外髁后方4厘米处。
打开皮下组织后,可识别筋膜层。建议在此区域避免使用电刀,以降低损伤腓总神经(Common Peroneal Nerve, CPN)的风险,改用外科双极电凝进行止血。
随后切开筋膜;接着必须识别腓总神经(CPN)。
将该神经分离并用血管带保护起来,并向前牵开。
接下来的步骤涉及在深层的肌腱肌肉结构之间打开一个窗口:近端前界为股二头肌肌腱(Biceps femoris tendon),近端后界为腓肠肌外侧头(Lateral gastrocnemius),远端靠近腓骨头处为腓骨长肌(Peroneus longus muscle)。在此过程中,这些肌肉均未被切断或损伤。
腓肠肌外侧头的后近端位置保护了腘动脉和腘静脉。
到达并显露比目鱼肌(Soleus muscle)的后表面。
必须解剖此肌肉并将其与胫骨后表面分离。在此阶段,识别膝下外侧动脉(lateral inferior genicular artery)并将其结扎以避免出血非常重要。经过仔细解剖后,可获得骨折胫骨平台和骨骺后表面的良好视野和控制。
在此手术阶段,可获得骨折块的良好视野和控制。若存在胫骨平台塌陷,可通过此窗口使用骨凿抬起塌陷的关节面,并酌情植入骨移植物填充骨缺损。
胫骨平台后部的固定使用3.5毫米T型接骨板完成。
一旦平台后部固定完成,同一手术入路允许外科医生继续进行外侧固定。将CPN向后移动,进行标准外侧入路:将伸肌装置从骨间膜前表面剥离,即可到达胫骨的前外侧面。
因此,可以继续进行传统的胫骨头外侧支撑锁定接骨板固定。
利用患者的体位和髋关节外旋,可以行标准内侧入路,通过内侧切开复位内固定(ORIF)来完成手术。
手术结束时,仅在筋膜和皮下组织进行缝合,注意避免卡压或损伤CPN。
手术缝合仅在筋膜和皮下组织进行,CPN必须复位到其腓骨沟中。
关键点总结
体位: 1/4背外侧卧位,患膝下垫支撑制造外翻应力,膝屈曲20°–40°。
切口: 12cm长“S”字形切口,以腓骨头为中心,精确起止点(胫骨结节下6cm、胫骨嵴外侧2cm起;股骨外髁后方4cm止)。
神经保护: 避免电刀,识别并游离腓总神经(CPN)约8cm,用血管带保护并向前牵开。
肌间窗: 利用自然间隙(股二头肌肌腱前、腓肠肌外侧头后近端、腓骨长肌后远端)进入,不切断肌肉。腓肠肌外侧头保护腘血管。
显露后柱: 解剖分离比目鱼肌与胫骨后表面,识别并结扎膝下外侧动脉,充分显露胫骨平台后部骨折。
后部固定: 复位后,使用3.5mm T型板固定后部骨折。
显露外侧柱(同一切口): 将CPN向后牵开,剥离伸肌装置显露胫骨前外侧面。
外侧固定: 使用传统外侧支撑锁定板固定。
内侧固定(如需): 利用体位和髋外旋,可行内侧入路。
关闭: 仅缝合筋膜和皮下组织,将CPN无张力地复位至腓骨沟内,避免固定以防粘连。
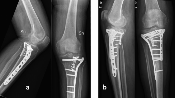
a 一名79岁男性的膝关节前后位(AP)和侧位X线片,他患有双柱(3型)TP骨折,术后5个月随访,显示最终结果以及外侧和后侧钢板的位置。b. 一名71岁男性的膝关节前后位(AP)和侧位X线片,他患有三柱(4型)TP骨折,术后1个月随访,显示最终结果以及内侧、外侧和后侧钢板的位置。
本平台所分享内容,部分为公开发行的期刊文献、出版书籍或网络平台资料,版权归原作者所有,平台仅进行翻译、整理、归纳并分享,供学习参考。如有侵权可联系删除。
-END-









