近日有文献报道了一例合并严重外周血管疾病的股骨粗隆间骨折术后出现急性肢体缺血导致截肢的病例报告。
股骨转子间(IT)骨折是骨科实践中最常见的损伤之一,通常通过使用髓内装置进行内固定来成功处理。
此类手术后的血管并发症较为罕见,通常局限于局部动脉损伤或假性动脉瘤形成。进展为急性肢体缺血并最终导致肢体丧失的情况极为罕见,尤其是在常规骨折固定的情况下。然而,严重的周围血管疾病(PVD)的存在可能会显著改变这一原本可预测的临床过程。
一例50岁男性患者的病例,该患者患有晚期PVD,并在家摔倒后发生右股骨转子间骨折。
经过全面的医疗优化和多学科评估后,患者接受了闭合复位和近端股骨钉内固定手术。
尽管术中过程顺利,但在术后期间,患者出现了急慢性肢体缺血,表现为远端灌注和组织活力逐渐丧失。尽管迅速进行了抗凝治疗、筋膜切开术等等,仍无法挽救肢体。
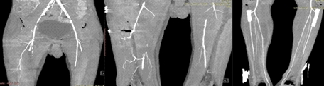
血管造影显示:右侧髂外动脉及股总动脉存在多灶性狭窄,其中髂外动脉狭窄程度至近乎完全闭塞,伴股浅动脉长段完全性狭窄;左侧髂外动脉及股总动脉亦存在多灶性狭窄,其中髂外动脉狭窄程度重度狭窄。
术中出血量极少,血流动力学全程稳定。 术后远端脉搏持续未触及,足趾脉搏血氧饱和度无法记录,患肢进行性变冷、感觉丧失。
CT血管造影显示双侧下肢动脉弥漫性狭窄、管径减小,符合重度外周血管疾病(PVD)表现。尽管予以抗凝治疗并请血管外科会诊,患肢仍出现进行性斑纹及恶臭味,需行截肢术。
股骨转子间(IT)骨折固定术后血管并发症少见但潜在致命,报道发生率为0.2%~0.5%。多数累及股深动脉(DFA)或其穿支,病因包括内侧皮质过度穿透、远端锁定螺钉位置不当或骨折碎片(如小转子)移位。但本例患者进展为不可逆缺血及截肢,此类结局鲜有报道。
-END-
声明:本文转载自<骨科园地>,版权归原作者所有,仅用于学习交流,如有侵权请联系删除!









