儿童肱骨外髁骨折是继肱骨髁上骨折后儿童肘关节第二常见骨折,占儿童上肢骨折的12%-20%,高发于4-10岁,由手部伸展跌倒的牵拉机制或肘关节外翻损伤的撞击机制导致;诊断以正位、侧位、内斜位X线为基础,必要时结合关节造影、CT、MRI,治疗根据骨折移位程度选择,移位<2mm 行保守的臂掌石膏固定,移位>2mm 需手术治疗(2-4mm行闭合复位经皮固定,>4mm行切开复位内固定),术后需规范制动与随访,若治疗不当易出现骨不连、畸形愈合、鱼尾畸形等并发症,其中骨不连是最主要的并发症,发生率为1%-5%。
通过本文的学习,希望进一步提高临床医生对儿童肱骨外髁骨折的认识,避免漏诊、误诊。
一、疾病概述
儿童肱骨外髁骨折是儿童肘关节第二常见骨折,仅次于肱骨髁上骨折,占儿童上肢骨折的12%-20%。高发于4-10岁;因软骨成分比例高,X线片仅显示骨化部分,实际骨折块可能更大,易造成漏诊或误诊。属于Salter-Harris II或IV型骨骺损伤。
图1:Salter-Harris分类系统--累及生长板的骨折。
致伤机制:主要分两种,一是牵拉机制(手部伸展、前臂旋后、肘关节伸展时跌倒);二是撞击机制(肘关节遭受外翻损伤时跌倒)。
图2. 伸直内翻应力外侧髁骨折的病理机制示意图。外侧髁骨折块的位移量随着肘部内翻力的增大以及伸肌-旋后肌的收缩而增加。
二、解剖基础:肘部关键结构解析
肱骨外髁:前臂伸肌群的共同起点,强大的肌肉牵拉是导致骨折移位和愈合困难的重要原因。
图3 骨折线常累及未闭合的骺板,对儿童的生长发育至关重要,需精确复位。
骨折块血供主要来自后方,手术中需注意保护软组织,避免破坏血供导致骨不连。
图4:外侧组织的血液供应起源于桡侧副动脉在外侧髁和肱骨滑车之间分支变化的后方。
三、临床评估
1. 病史:
重点询问明确的外伤史,如摔倒时手部撑地。准确的受伤机制描述对判断伤情至关重要。
2. 典型症状与体征
① 局部肿胀瘀斑:肘关节外侧可见明显肿胀和瘀斑,多由肱桡肌腱膜撕裂引起。
② 剧烈压痛与骨擦感:骨折部位压痛显著,触诊时偶可感知骨擦感。
③ 活动受限:肘关节的主动和被动屈伸活动均受到严重限制。
④ 全面评估:需检查全上肢(肩、腕)排除合并骨折;完成受累肢体神经血管评估(手部运动/感觉、外周脉搏、毛细血管再充盈)。
图5:若肘部出现非常严重的软组织肿胀,往往提示骨折可能是不稳定的,需要高度警惕并及时处理。
3. 影像学检查
X线评估必须包含三个位置:肘关节正位、侧位和内斜位,缺一不可。内斜位能最大程度显示骨折线位置和移位,揭示其他体位遗漏的细节。
图6:A 左肘正位X线片,轻度移位,内外侧间隙宽度相同。B 同一肘部的内斜位X线片显示移位较大。
图7: 侧位片需关注Thurstan Holland征(后侧三角形骨片),这是诊断的有力证据。
CT不但可以更快地获取图像,而且可以更准确地判断骨折移位情况,患儿不需要镇静,是评估儿童外侧髁骨折的有效工具。
图8: X线上骨折移位情况不清晰;但CT检查能精准判断骨折块移位情况;
MRI和超声可评估软骨完整性。MRI因需镇静且费用较高,通常不作为常规首选。有许多文献报道在术中使用超声来更好地评估肱骨远端的关节面,但这种方法的确切作用目前也尚不统一。
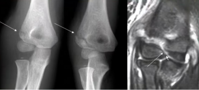
图9A 右肘关节前后位(正位)X 线片:显示外侧皮质 3 期骨折,外侧间隙极小,移位≤2 mm。B 内斜位 X 线片:显示骨折线贯穿肱骨外髁,延伸入关节内,骨折间隙外侧与内侧宽度一致。C 短 T1 加权反转恢复(STIR)磁共振成像:显示软骨完全断裂。
肘关节造影:评估关节面复位的重要手段,取0.5~1.0ml造影剂稀释后注射,剂量超3~5ml影响显影质量。常用于闭合复位手术中,辅助判断复位。
图10:肘关节造影常用于闭合复位手术中,辅助判断复位。
关节造影操作要点:18G针经肘前外侧/后入路穿刺,造影剂用生理盐水50%稀释,确认关节内位置后注射2-3cc,屈伸肘关节使造影剂均匀分布,评估骨折间隙与关节台阶。
关节镜检查:通过摄像头直视关节内部,是观察关节面情况的“金标准”。但技术门槛高,目前尚未在所有医院普及。
图11 (C)关节镜检查显示明显的台阶样移位。(E)再次复位后,关节镜检查确认复位可接受(黑色箭头)。
四、骨折分类系统
多种分型方法用于描述肱骨外髁骨折。传统的包括 Milch、Jakob 分型,但目前临床上应用更加广泛的是 Song 和 Weiss 型,因为这些分型对骨折块移位的描述更加具体,并且能指导临床治疗决策。
图12:传统分型 (Milch & Jakob),虽经典,但存在可重复性差、对治疗决策的指导价值有限等问题,现代临床应用已逐渐减少,更多采用CT三维重建评估。
Song基于骨折的移位程度、骨折的形状及骨折的稳定性进行分型,也是对 Jakob 分型的细化,共分为 I~Ⅴ型。
图13:Song分型:Ⅰ型:位移≤2毫米,骨折线位于干骺端,骨折块稳定,Ⅱ型:位移≤2毫米,骨折线累及部分软骨,骨折线外宽、内窄,稳定性难以判断。Ⅲ型:移≤2毫米,骨折线累及全部软骨,关节面完整,骨折线内外一致;骨折不稳定。Ⅳ型:位移>2毫米,关节面不平整;但碎片无旋转,骨折不稳定。Ⅴ型:位移>2毫米,伴关节内骨折,碎片旋转,骨折不稳定。
Weiss 分型:基于骨折移位程度和关节软骨的⼀致性(需关节造影确认),将骨折分为三型:
图14 儿童肱骨外髁骨折 Weiss 分型:A Ⅰ型骨折:外侧干骺端移位<2 mm。B Ⅱ型骨折:外侧干骺端移位≥2 mm,但骨折呈铰链状,关节面完整。C、D Ⅲ型骨折:无论移位轻微或明显,关节面均不完整。
五、治疗方案
治疗核心依据为骨折移位程度与关节软骨一致性,分保守与手术两种方式:
图15 儿童LHC骨折的诊断和治疗流程
(一)保守治疗
核心适应症:适用于骨折移位<2mm且关节面平整者,即Weiss I型。
标准固定方案:采用长臂石膏固定,肘关节屈曲90°,前臂中立位,固定周期通常为4-6周。
注意:有文献指出:将前臂置于旋后位(supination)、腕部置于伸展位可能会降低移位风险。由于肱骨外髁是旋后肌 - 伸肌肌群的起点,以这种方式摆放手臂会降低肌肉 “扯脱” 肱骨外髁而导致关节对位不良的风险。
初次受伤 4~8 天,肿胀消退后复查 X 片,此后 2~3 周内每周复查 1 次,观察骨折有无进一步移位。根据干骺端骨痂生长情况及局部有无压痛决定石膏固定时间,通常需 4~6 周。
(二)手术治疗
手术治疗-闭合复位内固定
闭合复位经皮固定:适用于2-4mm移位,全麻下通过屈肘、前臂旋前、外髁直接加压复位,用1.6mm克氏针固定,理想为2-3根成角>60°的克氏针,实现双皮质固定,残留移位需<2mm。
适应症选择:适用于骨折移位>2mm,但关节面软骨铰链完整或无明显旋转的骨折(如Weiss II型、Song II-IV型)。
手术核心技巧:
复位:手法或细针撬拨,将移位骨块推回原位。
固定:经皮穿入2-3根克氏针,优选交叉固定以增强稳定性。
图16 使用克氏针作为杠杆以辅助复位,然后继续推进至肱骨小头,并交叉固定骨折断端。
确认:术中反复透视或关节造影,确保关节面解剖复位。
图17 关节造影证实关节面平整。
手术治疗-切开复位内固定
切开复位内固定:适用于>4mm移位,或2-4mm移位但闭合复位未达解剖复位者;采用肘外侧4-5cm切口,仅剥离骨折块前方肌肉止点(保护后方血供),清除血肿后复位,用克氏针经皮固定。
核心适应症:适用于Weiss III型骨折,或闭合复位失败者,特别是关节面软骨断裂或骨折块明显旋转情况。
常用手术入路:通常采用肘关节前外侧入路,或经典的后外侧Kocher入路,以获得最佳的骨折部位暴露视野。
精准复位与固定:直视下精确复位,使用克氏针或螺钉固定,确保关节面恢复平整,为功能恢复奠定基础。首选 3 枚光滑克氏针呈发散排列,稳定性优于平行排列。
图18示:克氏针固定示例(前后位与侧位)。可见多枚克氏针呈发散状穿过骨折块,提供稳定的力学支撑。
六、并发症
儿童肱骨外髁骨折若治疗不及时/不规范,易出现多种并发症,分主要、常见、罕见及延迟相关四类,核心要点如下:
骨不连
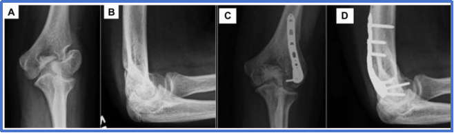
最主要并发症,定义为伤后12周骨折未愈合,发生率1%-5%;诱因包括漏诊、非手术治疗迟发移位、手术治疗再移位/固定后残留移位>1mm;临床表现为肘外侧压痛、外翻畸形、肘关节活动受限;治疗依移位程度选择,轻度移位可行经皮加压螺钉固定(伤后16周内手术效果佳),重度移位需切开复位+植骨,合并外翻畸形者需联合截骨矫正。
图19 一名 13 岁男性患者,7 年前左肘关节骨折曾行石膏固定治疗;A 正位 X 线片示肱骨外髁骨折不愈合;该患者肘关节活动度正常,但存在疼痛症状,且疼痛限制了其体育运动。B 侧位 X 线片示骨折块对位异常(呈屈曲位)。C 行原位钢板固定联合髂骨植骨术后的正位 X 线片。D 术后侧位 X 线片。
畸形愈合
骨折块以异常位置愈合,致肘关节内翻/外翻畸形,需行矫正截骨术恢复关节面对位。
鱼尾畸形
晚期并发症,因中央骨骺闭合致肱骨髁外侧端单独生长,表现为肘关节活动受限、疼痛、关节内游离体、外翻畸形;影像学表现重于临床功能影响,无症状者仅观察,有症状者可行游离体取出、骨骺融合、肱骨远端截骨。
继发问题
未矫正的外翻畸形可致肘关节不稳定、尺神经慢性神经病变,症状者需行尺神经前置术。
外侧骨赘
骨折愈合后,患儿常出现明显的外侧骨性隆起增生。作者强烈建议,临床医生应在启动治疗之初,即告知家属患儿术后可能出现外侧骨性隆起,而非待隆起形成、引发家长焦虑后再做解释。
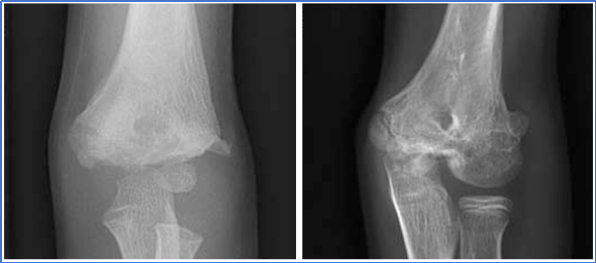
图20: 一名 9 岁 8 个月女童,1 年 9 个月前因肱骨外髁韦氏 Ⅲ 型骨折接受切开复位内固定术A 正位 X 线片可见肘部外侧形成明显骨性隆起(骨棘);B 侧位 X 线片显示该骨性隆起无明显向前、向后延伸;C 患儿指认肘部外侧骨性隆起的临床照片;D 医师指认该骨性隆起的临床特写照片;该骨性隆起仅予临床观察随访,未行手术干预。
缺血性坏死
罕见并发症,发生率1.4%,多与Weiss Ⅲ型骨折、切开复位相关,高能量损伤、过度剥离骨折块后方肌肉止点为诱因;多数患者无症状,长期关节活动度可基本恢复,部分可实现肱骨小头关节面完全重建。
图21. 一名4岁男孩外侧髁骨折切开复位内固定治疗之后出现了滑车缺血性坏死。术后6年发现其存在鱼尾状畸形,但活动范围接近对称且无疼痛。
-END-
声明:本文为原创文章,作者<Yanxc>,版权归原作者所有,仅用于学习交流,未经授权禁止转载!









