Pilon骨折于1911年首次报道,常由高能量轴向暴力损伤所致,约占胫骨骨折的5%-7%,常合并腓骨骨折;典型表现为干骺端与胫骨远端关节面的粉碎,并伴有严重的软组织损伤。Pilon骨折治疗目的是恢复胫距关节面的正常匹配,避免创伤性关节炎的发生。
Pilon骨折手术难度大,严重粉碎性骨折缺少复位参考,且胫距关节面复位要求高,使得Pilon骨折被称为“最具挑战的骨折”。Rüedi和Allgöwer在1969年、1973的出版文章中总结出了Pilon骨折内固定的四大原则,即:
而在此原则指导下,依据腓骨骨折情况形成的Pilon骨折复位固定的递进式原则,目前在临床上依然是金标准。
|
根据腓骨骨折情况制定的胫骨Pilon骨折固定递进式原则
|
|
|
|
|
|
|
|
|
在处理腓骨骨折时,关键在于区分骨折类型是简单骨折还是复杂骨折。对于简单的腓骨骨折,优先采用钢板切开复位内固定术。按照 “先固定腓骨” 的原则,恢复并维持腓骨正常的长度、力线和旋转关系,对于后续胫骨关节面的复位至关重要。
如果腓骨是复杂的粉碎性骨折,难以实现解剖复位,那么建议先开始胫骨的复位固定。待胫骨Pilon骨折复位固定完成后,再采用桥接固定技术对腓骨进行固定,可选择切开复位内固定术或微创钢板内固定术,这是手术的最后一步。
要实现胫骨关节面的良好复位,首先需要精确分析关节面骨折区域的情况以及距骨的位置。对于多骨折块且存在嵌插的关节面骨折,可以将相对完整的距骨关节面作为参照和支撑。以距骨为模板,从中心向周边逐步对胫骨关节面进行复位。在进行这一步骤之前,务必确保距骨相对于已复位(或完整)的腓骨处于正确的长度位置,并且在胫骨骨干下方居中位置。否则,胫骨关节面很可能会出现复位不良。
对于C型骨折,需要根据具体的骨折形态制定个性化的关节面复位策略。总体而言,主要有以下两种手术策略可供选择:
如果存在一个较大的承重关节骨折块,且该骨折块能够直接、简单地延伸至完整的干骺端/骨干区域,那么对于C型骨折,最佳的处理方式是先将这个承重关节骨折块复位,并将其固定到完整的骨干上,从而将C型骨折转化为B型骨折。完成这一步后,再对剩余的关节面进行解剖复位,最后使用合适的内植物对整个骨折结构进行固定。
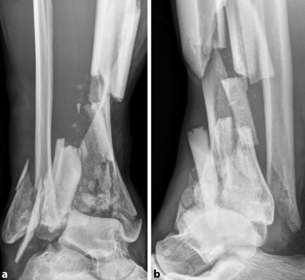
图a、b.术前X线显示Pilon骨折(AO 43-C3 型)。一个较大的后侧关节骨折块(黄色轮廓标注)可简单延伸至骨干区域;c、d. 通过前外侧入路(c,蓝色虚线标注),使用复位钳将后侧关节骨折块(d,黄色轮廓标注)解剖复位到骨干上,并用2枚螺钉固定。通过这一操作,将C型骨折转化为B型骨折。
如果上述将C型骨折转化为B型骨折的策略无法实施,可以通过复位并临时固定关节块,将C型骨折转化为A型骨折。在复位关节面时,应以距骨为模板,按照从中心到周边的顺序进行操作。关节面复位完成后,再处理干骺端骨折。将解剖复位后的关节块临时固定,然后根据正确的力线、长度和旋转关系,将其与骨干进行对齐,并使用合适的内植物进行固定。这种方法特别适用于干骺端存在复杂粉碎区域,且关节骨块与干骺端/骨干之间缺乏明确骨性参照的情况。
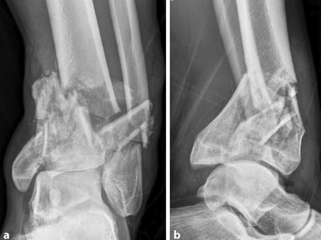
图a、b. 术前X线片显示Pilon骨折(AO 43-C3)。由于干骺端存在粉碎区域,关节骨折块与完整的骨干之间缺乏参照;c、d. 通过 “扩大外侧入路” 联合小的内侧入路,首先对关节骨块进行解剖复位,从而将C型骨折转化为A型骨折。随后,对骨折进行功能对位并固定到骨干上。
在高能量损伤导致的胫骨Pilon骨折中,即使关节面复位成功,干骺端往往仍会遗留较大的骨缺损区域。骨移植是一种有效的辅助治疗手段,它不仅能够为关节骨折块提供额外的支撑,还能有效防止骨折块在术后发生二次移位。在骨移植材料的选择上,优先考虑自体松质骨或自体骨粒,通常取自患者同侧的髂骨翼或同侧胫骨近端。选择自体骨移植,主要是因为自体骨具有最佳的骨诱导性和骨传导性,能够更好地促进骨愈合。
为了对抗胫Pilon骨折常见的内翻畸形,Rüedi和Allgöwer提出采用内侧支撑钢板进行固定。事实上,准确区分创伤机制中产生的拉力和压力至关重要。在过去几十年里,锁定加压钢板(locking compression plates, LCP)的出现使得许多骨科医生不再将内侧支撑钢板作为主要的固定支撑物。目前,市面上已有适用于内侧、前外侧和后侧骨柱的解剖预塑形角度稳定钢板。在当今的临床实践中,医生会根据软组织状况以及手术所需的骨性显露范围,灵活选择使用主要内植物和其他(较小的)辅助内植物。内侧钢板通常可以通过微创钢板内固定术(MIPO)进行皮下放置,这种放置方式一方面能够保护软组织,另一方面也能为可能需要的第二个更大范围的(前外侧或后侧)主要手术入路预留出足够的空间。通过合理选择和放置内植物,最终实现 “生物性内固定”,确保受损骨柱获得足够的稳定性。
常规Pilon骨折内固定需要大切口,广泛剥离软组织,且对关节面的复位无法良好把控。今年来,山西医科大学附属第二医院李栋教授团队提出的Pilon骨折“四步定基法”,旨在降低手术创伤前提下精准复位关节面,取得良好临床效果。文章最新发表于JOSR期刊,分享供骨科医生参考:
不同于经典的广泛使用的前内侧入路,该方法使用前外侧长切口,自腓骨前缘经外踝至第4跖骨基底,长约15cm。
恢复外踝长度与解剖位置,放置解剖钢板。距骨常向前上方移位,将其下压使其软骨面与外踝内侧平齐;以胫腓骨、距骨正常“奔驰三角”为参照,复位钳维持复位。用2.0mm克氏针临时固定外踝与距骨(避开钢板),以距骨为模板重建胫骨远端关节面。
-
方法1:窄骨剥自后踝后方翘拨,使后踝关节面与距骨关节面匹配;
-
踝内侧作2个辅助小切口,自远端切口,巾钳复位移位的内踝,评估内踝内侧关节面与距骨顶的匹配程度,克氏针临时固定后,采用预弯重建钢板固定。最远端螺钉斜向下45°角置入,上方2枚螺钉斜向上45°角置入。
如内踝软组织条件差,放置钢板感染风险高,可克氏针固定内踝。
遵循“由后向前、由外向内”的原则,以距骨关节面为模板复位,克氏针临时固定后,采用踝前方L型钢板固定。依据骨折粉碎程度及钢板固定情况,绝对是否移除克氏针。
常规单切口与多切口的Pilon骨折入路,均存在各自缺陷。单切口的显露问题,对软组织的牵拉问题;多切口的软组织覆盖问题以及切口间距等。该团队提出的经前外侧入路联合内侧微创入路的手术方式,在手术显露和复位固定上均较为便捷,对Rüedi–Allgöwer Ⅲ型Pilon骨折具有重大的临床指导意义。
-END-
声明:本文为转载自<骨科青年>,版权归原作者所有,仅用于学习交流,如有侵权请联系删除!