
拔牙的步骤
站位还是坐位:关于拔牙时术者的体位究竟是站位好还是坐位好,因为牙科诊疗是坐位诊疗下进行的,习惯了这个姿势、这个位置,因此拔牙也要设法做到尽可能的在坐位下进行。站位易于取得平衡,因此也有书籍是建议使用站位的,但笔者基本上都是坐位进行操作的。
牙周韧带的切断:根据需要在插入挺子之前,使用手术刀、探针等切断附着在牙颈部周围的牙周韧带。笔者不一定会在所有的病例中都进行该操作。
挺子拔牙时手指的固定:使用挺子的所有操作都是手指固定在邻牙上,一边用手指只感受需要拔掉的牙齿的松动情况,一边进行操作。拔牙时,感知传递到邻牙上的细微压力,一边防止松动、脱臼,一边调整施加在挺子上的力的大小。手指也放在牙槽部以此感知挺子的力的传达方式。
挺子使用的诀窍:牙根脱臼的有效方法是,挺子插入近中角落部的牙周膜腔,稍稍旋转扩大牙周膜腔,挺子继续插入这个扩大后的空间,稍稍旋转估算牙周膜腔的扩大范围,重复进行如上操作,测定脱臼的情况(图6)。利用牙槽骨的粘弹性,以适度的力扩大牙周膜腔,使牙周膜纤维断裂,从而造成牙齿脱臼,进行拔牙。
即使进行了一系列的脱臼操作也没有松动,或者在挺子作用部位上
细小切割牙齿时、脱臼困难时,因为认为是牙龈黏连、弯曲等情况,为了避免周围组织的伤害考虑使用牙根分割等别的方法。
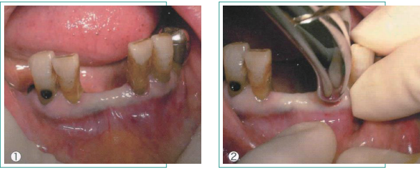
1松动的患有牙周病的牙齿
2使用挺子仍旧岿然不动,不能进行分割拔牙的下颌后磨牙
水平阻生牙中多为在拔牙时进行牙冠、牙根分割的病例。其他牙齿的牙根分割、半切等也以同样的方法进行。
毫不犹豫的牙根分割: 因为下颌的牙槽骨硬且有厚度,有复数根的后磨牙拔牙多为难拔牙。下颌后磨牙拔牙病例中,使用挺子、钳子等不能很好拔牙时,毫不犹豫的进行牙根分割为好。
拔牙是口腔门诊中风险最大的项目,希望所有口腔从业者认真去做,细致去拔!









