众所周知,冠心病诊断的核心方法是冠状动脉造影术,然而,这项技术仅限于展现血管内部血流的视觉图像,并且其成像效果易受造影视角的限制,难以评估血管壁上斑块的发展状况。
20世纪晚期问世的血管内超声(IVUS)技术,通过在心脏导管尖端装备微型超声传感器,实现了血管横截面的即时可视化,不仅能精确描绘血管壁厚度、管腔尺寸与形态,还能准确量测血管腔的直径与横截面积。
此外,IVUS技术能辨识诸如钙化沉积、纤维化区域及脂质蓄积等病理特征,揭示冠状动脉造影难以捕捉的早期血管病变。作为冠状动脉造影的有效辅助工具,IVUS显著提升了疾病诊断的精确度,对制定冠状动脉介入治疗的方案、选取合适的支架类型以及评估治疗成效具有不可或缺的指导价值。
本文将梳理常见IVUS图像及其临床应用,以饕读者。
1
IVUS原理
IVUS技术通过导管技术将微型超声探头送入血管腔内,利用高频超声波信号对血管内部结构进行扫描和成像。这一技术的基础在于超声波在不同组织界面上的反射、透射和散射现象,通过检测这些反射信号,可以重建出血管内部结构的图像。
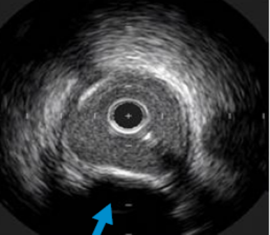
如图1所示:
1: 外膜是由胶原蛋白组成,超声反射信号强烈(显示为白色)
2: 中膜是由平滑肌细胞组成,无超声回波信号(显示为灰色)
3: 内膜致密,介于中膜和血流之间,显示为白色;
4. 管腔:血液;
5. 衰荡区:“光晕”;
6. 盲区:导管。



图1 血管在超声下的图像
2
IVUS的临床应用范围
-
确定病变性质:如冠状动脉斑块是否稳定、血管的闭塞(狭窄)原因等; -
定量分析病变:精准判定狭窄部位的冠状动脉血管斑块负荷程度,帮助医生判断该狭窄病变是否需要介入治疗。特别是在冠状动脉造影检查提示狭窄程度为临界病变时,IVUS可以提供更准确的诊断信息,帮助医生做出正确的决断; -
在最窄的地方测量最小管腔面积:在冠脉血管的近端2/3 段:<4.0 mm2 一般认为是明显血流限制;在左主干:<6.0 mm2 一般认为是明显血流限制; -
寻找支架内狭窄原因:对于既往植入支架的患者,IVUS可以帮助寻找再次出现支架内狭窄的可能原因,并指导制定合适的治疗方案。
-
支架置入指导:IVUS可以帮助医生更准确地选择支架的尺寸、类型以及确定最佳植入位置。通过实时观察支架的扩张情况和贴壁程度,确保支架充分扩张和贴壁良好,从而降低手术风险并提高治疗效果。 -
病变预处理:对于复杂的冠脉病变,如钙化病变、分叉病变等,IVUS可以辅助医生进行病变预处理。例如,在钙化病变中,IVUS可以帮助医生判断钙化的部位和严重程度,从而决定是否需要采用旋磨等技术进行预处理,以提高支架植入的成功率。
-
支架效果评价:术后,IVUS可以对支架的大小、位置、形状、贴壁程度、对称性和展开满意度进行系统的评价。这有助于医生及时发现支架植入后可能存在的问题,如支架贴壁不良、支架内再狭窄等,并采取相应的处理措施。 -
预测并发症风险:通过IVUS检查,医生可以评估支架植入后患者发生并发症的风险,如血栓形成等。这有助于医生制定更加合理的术后治疗方案,降低并发症的发生率。
3
IVUS常见图谱
1.正常血管&病变血管(图2)



图2 左:正常血管;右:病变血管
-
富脂质斑块:在管腔/内皮与外弹性膜(EEL)“之间”,比血管外膜颜色深; -
纤维化(低脂质)斑块:在管腔/内皮与外弹性膜(EEL)“之间”,颜色与血管外膜一样浅或比血管外膜还浅; -
钙化斑块:回波信号强(比外膜明亮)、超声无法穿透钙化组织(声波消失)、只能检测边缘,无法判断厚度。


图3 左:富脂质斑块;右:纤维化(低脂质)斑块

图4 钙化斑块

图5 常见斑块性质与病理结果比较
-
内膜夹层:发生在血管内膜层,通常是由于内膜的撕裂或分离导致的。在IVUS图像上,内膜夹层可能表现为内膜的连续性中断,形成一个薄而透亮的线状影,该线状影可平行、斜行于管腔或呈螺旋形。 -
中膜夹层:发生在血管中膜层,可能是由于中膜的撕裂或分离引起的。在IVUS图像上,中膜夹层通常表现为中膜的无回声或低回声区域,这些区域可能由于中膜的撕裂而呈现环形撕裂状。

图6 内膜夹层和中膜夹层比较
-
壁内血肿时,血液聚集在裂开的中层中,IVUS表现为均质、新月形的强回声。这种回声模式有助于医生快速识别壁内血肿。

图7 壁内血肿:血液在血管壁中层的聚集


图8 壁内血肿:血液在血管壁中层的聚集
-
斑块破裂时,IVUS图像上可见内膜的连续性中断,形成一个或多个破口。这些破口通常与血管腔相通,形成一个空腔。斑块破裂通常伴随着纤维帽的断裂。在IVUS图像上,可以观察到纤维帽的不连续性,这是斑块破裂的重要标志。

图9:斑块破裂
-
回声特点:新鲜血栓在IVUS上通常表现为低回声,回声强度不超过外膜回声强度的一半,且呈略松散的棉絮状、层片状结构。此外,新鲜血栓还可能出现点状闪烁样回声,这些回声随血流做局部移动。陈旧血栓或机化的血栓在IVUS上的回声可能增强,且难以与纤维斑块区分。此时,应结合冠状动脉造影图像进行鉴别。
-
形态特点:血栓在IVUS上常表现为突入管腔的不规则团块,这些团块可能分层、分叶,且回声不均匀。血栓组织与原有的斑块组织在IVUS上可呈分层现象,两者的回声强度可能有明显的差异。
-
动态特点:血栓在IVUS图像上可能表现出一定的柔软性。当超声导管从包绕的血栓中穿过后,可能会留下明显的线样痕迹,而软斑块则不会。

图10 血栓形成:腔内团块,伴有斑点或闪烁,层状/分叶/带蒂
-
支架小梁与血管壁之间存在明显的间隙。这些间隙可能呈现为点状、线状或面状,且通常与血管腔相通。在支架贴壁不良的区域,IVUS图像上往往可以看到血流信号。这些血流信号表现为支架后方或间隙内的彩色血流成像,进一步证实了支架与血管壁之间的分离。


图11 支架贴壁不良
-
支架内再狭窄时,IVUS图像上通常表现为管腔面积的减少。这种减少可能是由于内膜增生、斑块进展或支架内血栓形成等原因造成的。内膜增生通常表现为支架内低回声的组织增生。这种增生可能均匀或不均匀,且可能伴随管腔的狭窄。

图12 支架内再狭窄:内膜增生
-END-
声明:本文为原创内容,作者小熊,以上仅代表作者本人观点,仅用于学习交流,版权归原作者所有。









