在临床中毫无疑问越来越多的患者想保留自己的牙齿,如果根管系统经过充分的预备、大量的冲洗和严密的封填多数情况下是可以达到医患共同的愿望。
为了更好的达到我们的愿望,在临床中注意一些小的细节可能对于结果至关重要------细节决定成败。在临床中碰到问题要学会分析问题,评估问题,最终找出合理解决问题的方法。
一切围绕解决问题的核心去工作,但要解决自己能力范围内的问题,如果难度超出自己的能力范围,为了达到解决问题的核心目的就应该转诊,记住我们是解决现有问题的,不是制造新问题的。
为了更好的解决问题,为了达到预期的效果就根管治疗而言应该注意的细节总结如下:
1、简化难度
一个牙齿的根管治疗难易程度不单单是根管的弯曲、细小、牙位、是否再治疗决定的,开髓的直线进入和根管口的预先恰当处理可以简化很大的难度,开髓是根管成败的基础。
对于弯曲根管冠部的直线入口就显得尤为重要,冠部良好的直线入口可以避免侧穿、台阶、遗漏根管等问题的发生,冠部直线入口形成的良好情况,取决于医生的理念和合理的器械选择。开髓孔的大小不是由医生和患者的意愿决定的,而是由要治疗牙齿的髓腔大小决定的。





2、相信有更多的根管存在
相信根管的数目比我们想象的多,根管系统的复杂程度比我们想象的见到的要更复杂,我们只有用尽所有努力和办法才可能达到预期目标。
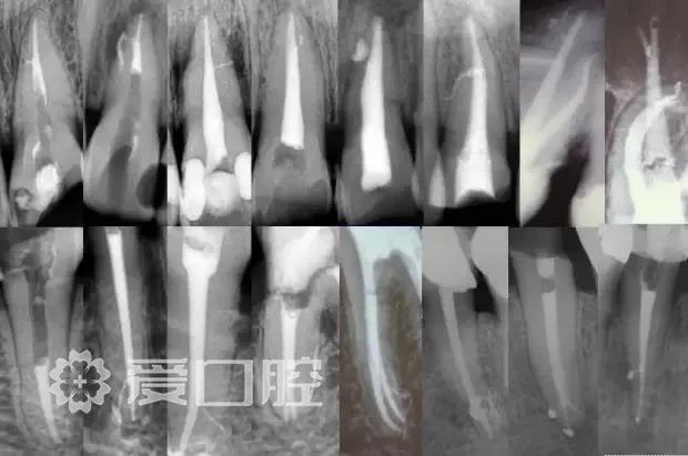
对于上颌第一磨牙的MB2来说过去是偶尔有,现在是偶尔没有,各种文献报道的比例也不一致,在离体牙中几乎还没有见到没有的,临床中也是一样。对于寻找的方法来说,我觉得相信有才是最重要的,首先相信一定有就会想各种办法,找到的几率就会更多。如果有条件在显微镜和超声的配合下效率会更高。


3、感染控制决定成败
根管治疗中感染控制的彻底程度直接决定根管治疗的成功率,对主根管、牙本质小管、侧支根管的控制同等重要。
完善根管治疗后的患牙失败主要原因是根管系统的顽固的感染或根尖周顽固的根管外细菌感染,当然也有可能是非细菌性因素,但根管内的感染占主要原因。
在高效率的机械预备根管时,一定要用专用的侧方开口针头的注射器大量多次的冲洗根管,次氯酸钠要加热后使用,并及时补充新鲜的液体到根管系统。
EDTA液体的使用可以很好去除根管预备中产生的玷污层,1%的CHX液体可以在30秒内杀灭粪肠球菌,并且有延缓作用,是优秀的终末冲洗液。
超声荡洗清理根管的效果要优于手工冲洗,很多医生考虑次氯酸钠的浓度,其实次氯酸钠冲洗液的浓度并不重要,重要的是冲洗的时间和次数,更换新鲜液体的频率和液体是否加热。




4、敢于否定自己
有些病例看上去似乎是完美的,但是患者就是感觉有明显的不适感,就应该考虑是否有未处理的根管内感染区域,分析是根管、峡部、分支、缝隙等原因后就要及时的采取措施。
失败病例的处理方法选择非手术再治疗还是手术再治疗,一般首选非手术再治疗,但要评估再治疗的预期结果,如(爱口腔)果非手术再治疗的对患牙的创伤太大或预期效果不确定就考虑手术再治疗,全面考虑分析后决定方法。要及时的决定下一步的处理方法,长期的反复的复诊观察是没有意义的,最后的结果是流失患者。


5、预备到多少号结束
根管预备理想的情况应该预备到多大锥度,多少号,预备后根管空间是金字塔还是埃菲尔铁塔。专家经过离体牙根尖切片研究发现根尖狭窄部远比想象的要大,如果根管预备太小就会残留感染物,根管的部分空间就不会预备到,残留的感染物就会造成治疗效果达不到预期目标。只有做到了充分的预备,尽可能的多冲洗才会有好的结果。


根管治疗要做到看清楚,去干净,充恰满,封严密,就会达到期望的结果。2200年前的病例只充填了冠1/3可以理解、可以接受;今天我们有先进的设备和材料,就要充填出大锥度高密度的完美结果。理念决定技术,标准决定技术的提高和进步。
-END-
声明:本文转载自<爱口腔>,仅用于学习交流,如有侵权,请立即联系我们处理。内容仅代表作者个人观点,望大家理性判断及应用。