股骨近端骨折髓内钉固定是最常用的治疗方法,但钉子长度的选择仍然是一个有争议的问题,它受到许多因素的影响,包括骨折类型、骨质量和外科医生的偏好等等。
最常用的钉长是短钉(170~200mm)和长钉(300~480mm),(下图a短钉、c长钉)
短髓内钉手术时间短,远端锁定相对容易被广泛使用,短钉的缺点包括在髓腔宽或股骨近外侧皮质完整的患者中,可能发生钉子错位和随后的内翻塌陷,以及股骨近端骨干应力增加等。
长髓内钉更适合股骨髓腔宽、骨质疏松、病理性骨折、多次跌倒患者骨折、骨折伴近侧皮质缺损、转子间骨折延伸至小转子远端超过3cm。缺点,包括远端锁定困难、手术时间增加、扩孔需要增加、失血增加等。
。为了平衡短钉和长钉的优缺点,开发了中等长度的髓内钉(235和240mm):使用与短钉相同的远端锁定螺钉位置,但在锁定螺钉远端提供额外的钉子长度。
病例:
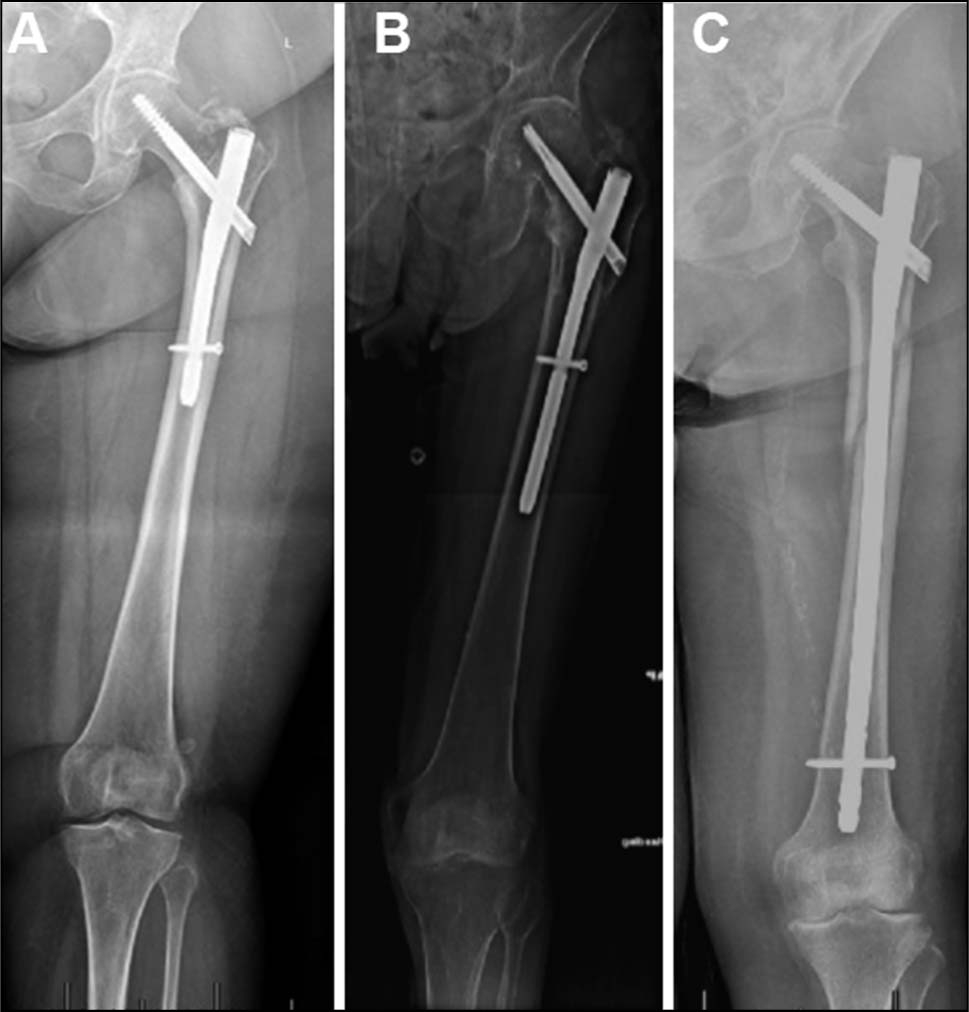
将锁定螺钉放置在动态位置(动态孔的中间),其在负重时允许骨折动态化。术后十二周的X射线图,显示骨折愈合进展和复位得以保持。
适应症:
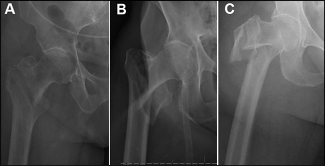
在任何粗隆间骨折类型中,中长度钉都可以作为短钉的替代品。绝对指征:低转子间骨折,延伸超过3cm远端至小转子底部存在远端柄植入物,如柄膝关节置换术(图)。
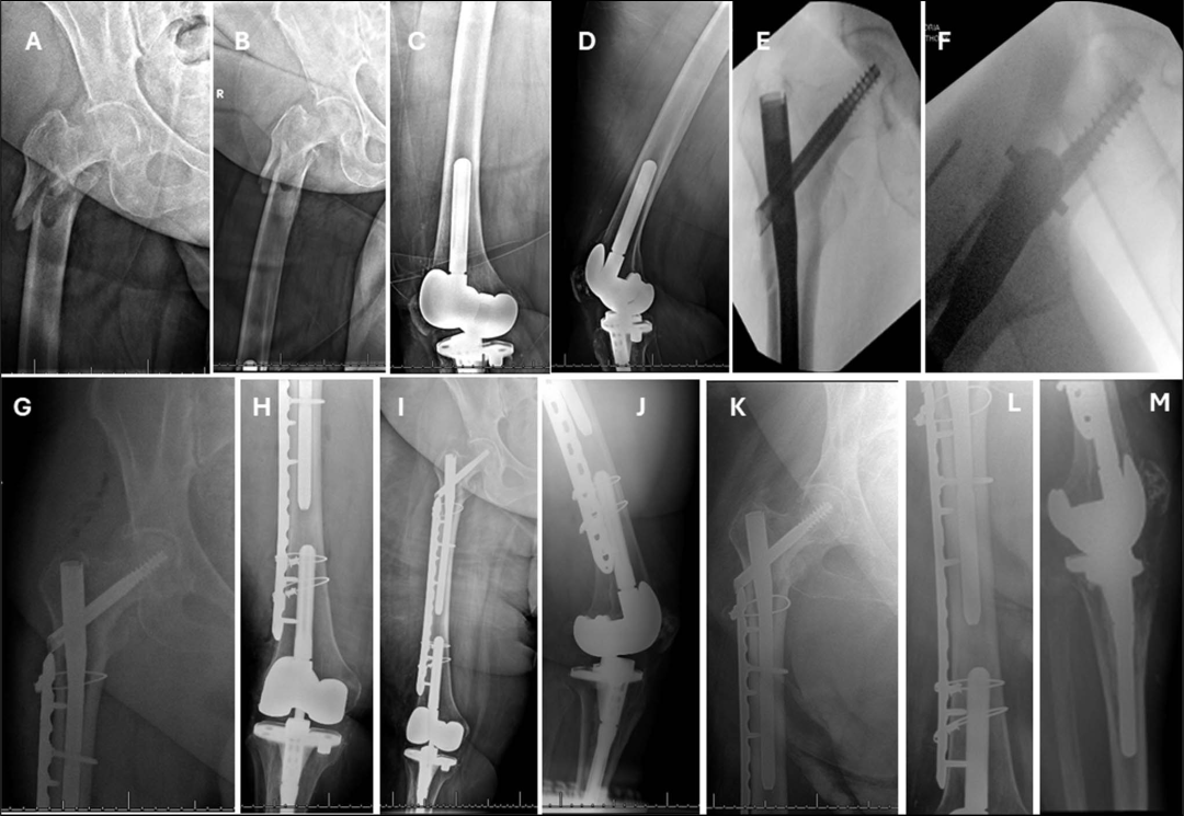
存在无法移除或不打算移除的远端股钢板(图)。
考虑到远端骨折延伸,使用短钉是不合适的,而由于远端髓内植入物的存在,不能使用长钉。
外侧壁骨折的存在是骨折内翻塌陷的潜在危险因素,特别是对于股骨髓腔较大的患者,在这些骨折中,较长的钉可能是首选(图)。
-END-
声明:本文转载自<骨科园地>,版权归原作者所有,仅用于学习交流,如有侵权请联系删除








 
 

 
 