Lauge-hansen分型是目前评估踝关节骨折的最实用分型,该分型在评估骨折损伤暴力、判断损伤机制及指导骨折治疗上均有重要意义。我们既往推送过相关内容,可参阅:
然而,在临床实际应用中,常规X线摄片仅能明确骨折情况,对下胫腓韧带损伤、外侧韧带、内侧三角韧带的损伤不能直接判断,需结合损伤机制推断,为避免漏诊韧带损伤,有学者提出了“损伤环”理念,旨在通过“环”的损伤顺序,推断合并的韧带损伤。
所有的踝关节骨折,损伤均在两个平面内进行:
-
冠状面:旋前外展、旋后内收型;在冠状面上的按次序损伤,形成损伤“冠状环”;冠状环由内踝、三角韧带、距骨、外踝、外侧韧带组成;
-
轴向面(横断面):旋前外旋、旋后外旋损伤,在轴向面上依次损伤各结构,形成“轴向环”,轴向环由下胫腓前韧带、外踝(外侧韧带)、下胫腓后韧带、内踝组成。
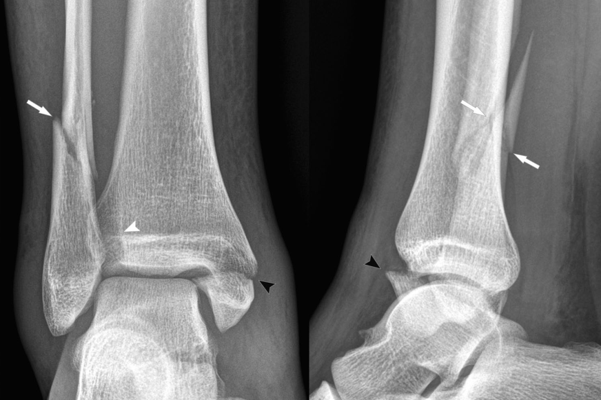
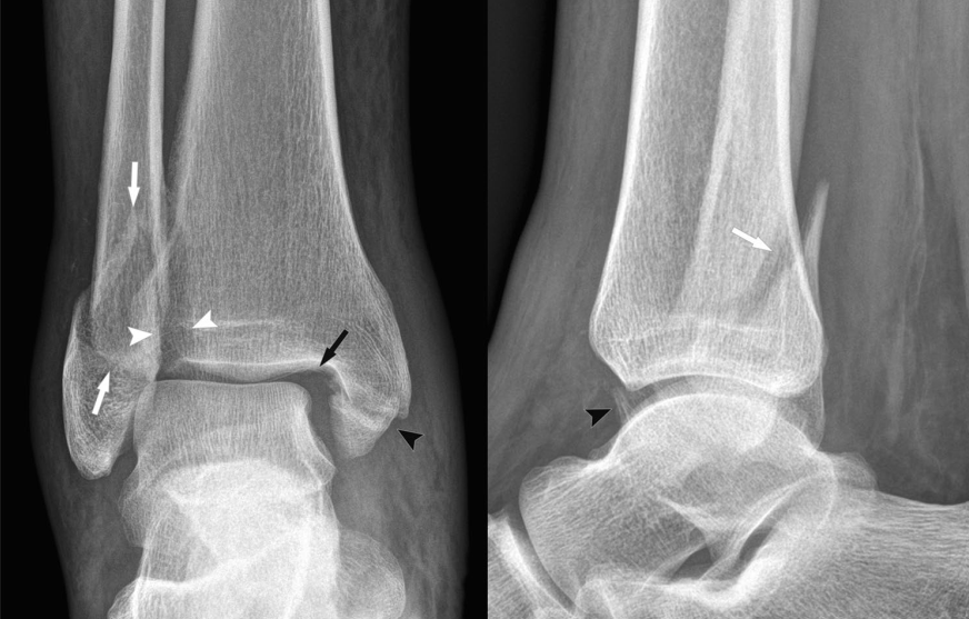
1. 旋后外旋损伤
对踝关节损伤机制的判断,首先观察外踝骨折线形态。对前低后高型外踝骨折线,提示旋前外旋损伤。依据“损伤环”理念,下胫腓前韧带、外踝、下胫腓后韧带、内踝组成的环依次损伤,分别标为“1-4”,后方损伤提示必定存在前结构的损伤。
-END-
声明:本文转载自<骨科青年>,版权归原作者所有,仅用于学习交流,如有侵权请联系删除









