-
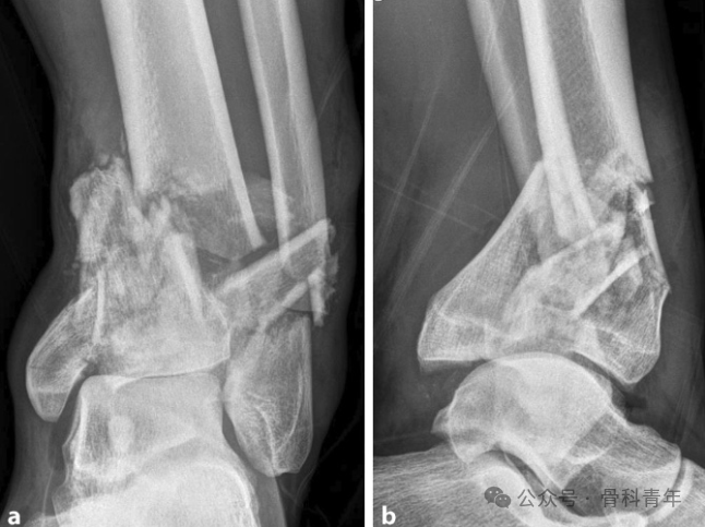
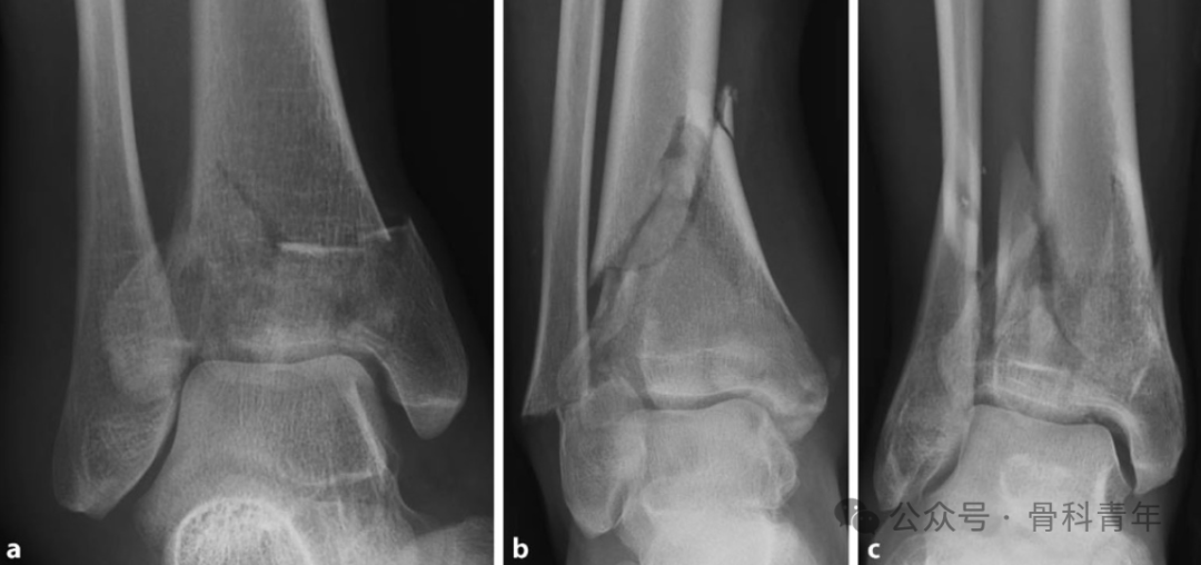
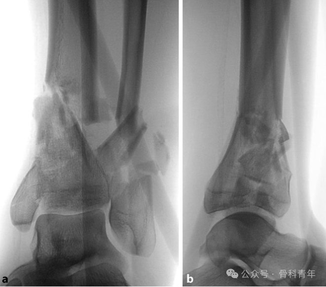
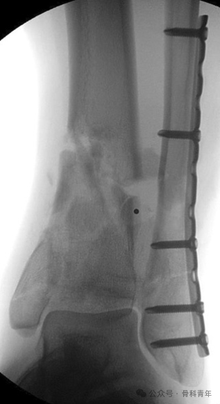
恢复腓骨长度; -
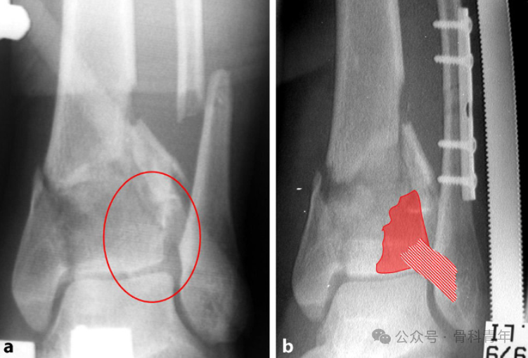
恢复胫骨远端关节面平整; -
胫骨干骺端植骨; -
胫骨内侧钢板固定。
-
腓骨完整时,胫骨承受轴向压力而发生的骨折(a); -
胫骨内翻畸形,外侧受牵拉力,内侧受压力(b); -
胫骨外翻畸形,外侧受压力(c);
-
固定(Span):实施跨关节外固定架固定术;
-
扫描(Scan):进行 CT 检查,包括三维重建;
-
规划(Plan):制定确定性骨折内固定手术方案,包括患者体位、手术入路、复位方法、手术器械和内植物的选择等
|
|
||
|
|
|
|
|
|
|
|
6.1
腓骨骨折的固定
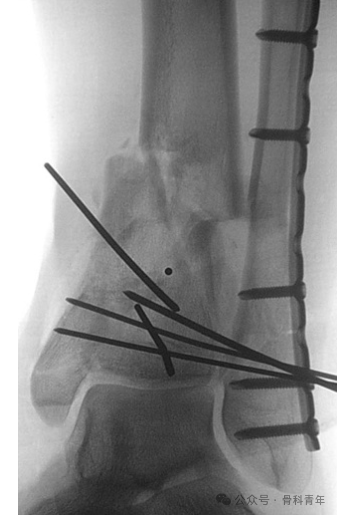
6.2 胫骨关节面复位固定
6.3
植骨
6.4
内侧支持钢板固定
-END-
声明:本文转载自<骨科青年>,版权归原作者所有,仅用于学习交流,如有侵权请联系删除。









